跳转至内容
Merck
CN

ZRB2135

Anti-Pyk2/PTK2B Antibody, clone 3B7 ZooMAb® Rabbit Monoclonal

greener alternative

recombinant, expressed in HEK 293 cells

别名:

Protein-tyrosine kinase 2-beta;EC:2.7.10.2;Calcium-dependent tyrosine kinase;CADTK;Calcium-regulated non-receptor proline-rich tyrosine kinase;Cell adhesion kinase beta;CAK-beta;CAKB;Focal adhesion kinase 2;FADK 2;Proline-rich tyrosine kinase 2;Related ad

登录 查看组织和合同定价。

选择尺寸


关于此项目

NACRES:
NA.43
UNSPSC Code:
12352203
Conjugate:
unconjugated
Clone:
3B7, recombinant monoclonal
Application:
ICC, IHC, WB, affinity binding assay
Citations:
-
技术服务
需要帮助?我们经验丰富的科学家团队随时乐意为您服务。
让我们为您提供帮助
技术服务
需要帮助?我们经验丰富的科学家团队随时乐意为您服务。
让我们为您提供帮助

biological source

rabbit

recombinant

expressed in HEK 293 cells

conjugate

unconjugated

antibody form

purified antibody

antibody product type

primary antibodies

clone

3B7, recombinant monoclonal

description

3B7 Clone

product line

ZooMAb® learn more

form

lyophilized

mol wt

calculated mol wt 115.88 kDa, observed mol wt ~115 kDa

purified by

using Protein A

species reactivity

mouse, rat, human

packaging

antibody small pack of 25 μL

greener alternative product characteristics

Waste Prevention
Designing Safer Chemicals
Design for Energy Efficiency
Learn more about the Principles of Green Chemistry.

enhanced validation

recombinant expression
Learn more about Antibody Enhanced Validation

sustainability

Greener Alternative Product

technique(s)

affinity binding assay: suitable, immunocytochemistry: suitable, immunohistochemistry: suitable, western blot: suitable

isotype

IgG

epitope sequence

N-terminal

Protein ID accession no.

UniProt accession no.

greener alternative category

shipped in

ambient

storage temp.

2-8°C

target post-translational modification

unmodified

Quality Level

Gene Information

human ... PTK2B(2185)

General description

Protein-tyrosine kinase 2-beta (UniProt: Q14289; also known as EC:2.7.10.2, Calcium-dependent tyrosine kinase, CADTK, Calcium-regulated non-receptor proline-rich tyrosine kinase, Cell adhesion kinase beta, CAK-beta, CAKB, Focal adhesion kinase 2, FADK 2, Proline-rich tyrosine kinase 2, Related adhesion focal tyrosine kinase, RAFTK) is encoded by the PTK2B (also known as FAK2, PYK2, RAFTK) gene (Gene ID: 2185) in human. Pyk2 is a non-receptor protein-tyrosine kinase that regulates reorganization of the actin cytoskeleton, cell polarization, cell migration, adhesion, spreading and bone remodeling. Its protein kinase domain is localized in amino acids 425-683. It regulates cytoskeleton rearrangement and cell spreading in T-cells and contributes to the regulation of T-cell responses. It is also reported to promote osteoclastic bone resorption and may inhibit differentiation and activity of osteoprogenitor cells. It forms multi-subunit signaling complexes with Src and Src family members upon activation, which leads to the phosphorylation of additional tyrosine residues, creating binding sites for scaffold proteins, effectors, and substrates. It is also reported to activate PI 3-kinase and the Akt1 signaling cascade. Pyk2 is phosphorylated on tyrosine residues in response to various stimuli that elevate the intracellular calcium levels. Tyrosine 402 is considered as the major autophosphorylation site. This phosphorylation promotes interaction with Src and SRC family members, leading to phosphorylation at tyrosine 579, 580, and 881. Aberrant expression of Pyk2 is reported in many cancers where it may play a role in cancer cell proliferation, migration, and invasion, in tumor formation and metastasis. Elevated levels of Pyk2 are observed in gliomas, hepatocellular carcinoma, lung cancer, and breast cancer. This ZooMAb® recombinant monoclonal antibody, generated by our propriety technology, offers significantly enhanced specificity, affinity, reproducibility, and stability over conventional monoclonals. (Ref.: Allen JG., et al.(2009). Bioorg. Med. Chem. Lett. 19(17); 4924-4928; Sun, CK., et al. (2008). Carcinogenesis. 29(11); 2096-2105; Park, SY., et al. (2004). J. Biol. Chem. 279(32); 33315-33322).
We are committed to bringing you greener alternative products, which adhere to one or more of The 12 Principles of Green Chemistry.This antibody is Preservative-free, produced without the harm or sacrifice of animals and exceptionally stable to allow for ambient shipping and storage if needed and thus aligns with "Waste Prevention", "Designing Safer Chemicals" and "Design for Energy Efficiency". Click here for more information.
ZooMAb® antibodies represent an entirely new generation of recombinant monoclonal antibodies.Each ZooMAb® antibody is manufactured using our proprietary recombinant expression system, purified to homogeneity, and precisely dispensed to produce robust and highly reproducible lot-to-lot consistency. Only top-performing clones are released for use by researchers. Each antibody is validated for high specificity and affinity across multiple applications, including its most commonly used application. ZooMAb® antibodies are reliably available and ready to ship when you need them.

Immunogen

KLH-conjugated linear peptide corresponding to 21 amino acids from the N-terminal region of Human Pyk2/PTK2B.

Application

Quality Control Testing

Evaluated by Western Blotting in RAW264.7 cell lysate.

Western Blotting Analysis: A 1:1,000 dilution of this antibody detected Pyk2/PTK2B in RAW264.7 cell lysate.

Tested Applications

Western Blotting Analysis: A 1:1,000 dilution from a representative lot detected Pyk2/PTK2B in lysates from Jurkat cells and Rat brain tissue.

Affinity Binding Assay: A representative lot of this antibody bound PYK2/PTK2B peptide with a KD of 6.5 x 10-9 in an affinity binding assay.

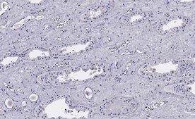
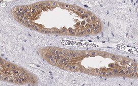
Immunohistochemistry (Paraffin) Analysis: A 1:100 dilution from a representative lot detected Pyk2/PTK2B in human kidney tissue sections.

Immunocytochemistry Analysis: A 1:100 dilution from a representative lot detected Pyk2/PTK2B in A431 cells.

Note: Actual optimal working dilutions must be determined by end user as specimens, and experimental conditions may vary with the end user.

Biochem/physiol Actions

Clone 3B7 is a ZooMAb® Rabbit recombinant monoclonal antibody that specifically detects Pyk2/PTK2B. It targets an epitope within 21 amino acids from the N-terminal region.

Physical form

Purified recombinant rabbit monoclonal antibody IgG, lyophilized in PBS, 5% Trehalose, normal appearance a coarse or translucent resin. The PBS/trehalose components in the ZooMAb formulation can have the appearance of a semi-solid (bead like gel) after lyophilization. This is a normal phenomenon. Please follow the recommended reconstitution procedure in the data sheet to dissolve the semi-solid, bead-like, gel-appearing material. The resulting antibody solution is completely stable and functional as proven by full functional testing. Contains no biocide or preservatives, such as azide, or any animal by-products. Larger pack sizes provided as multiples of 25 μL.

Preparation Note

Recommend storage of lyophilized product at 2-8°C; Before reconstitution, micro-centrifuge vials briefly to spin down material to bottom of the vial; Reconstitute each vial by adding 25 μL of filtered lab grade water or PBS; Reconstituted antibodies can be stored at 2-8°C, or -20°C for long term storage. Avoid repeated freeze-thaws.
Reconstitute lyophilized antibody pellet with 25μL of ultrapure water or Phosphate Buffered Saline (PBS). Please refer to our reconstitution protocol and the specific application guidance on the suggested starting dilutions and sample type.

Legal Information

ZooMAb is a registered trademark of Merck KGaA, Darmstadt, Germany

Disclaimer

Unless otherwise stated in our catalog or other company documentation accompanying the product(s), our products are intended for research use only and are not to be used for any other purpose, which includes but is not limited to, unauthorized commercial uses, in vitro diagnostic uses, ex vivo or in vivo therapeutic uses or any type of consumption or application to humans or animals.

未找到合适的产品?  

试试我们的产品选型工具.

存储类别

11 - Combustible Solids

wgk

WGK 1

flash_point_f

Not applicable

flash_point_c

Not applicable

法规信息

常规特殊物品
此项目有

历史批次信息供参考:

分析证书(COA)

Lot/Batch Number

没有发现合适的版本?

如果您需要特殊版本,可通过批号或批次号查找具体证书。

已有该产品?

在文件库中查找您最近购买产品的文档。

访问文档库

我们的科学家团队拥有各种研究领域经验,包括生命科学、材料科学、化学合成、色谱、分析及许多其他领域.

联系客户支持