跳转至内容
Merck
CN

SAB4503789

Anti-phospho-Tyrosine Hydroxylase (pSer40) antibody produced in rabbit

affinity isolated antibody

登录 查看组织和合同定价。

选择尺寸


关于此项目

NACRES:
NA.41
UNSPSC Code:
12352203
Conjugate:
unconjugated
Clone:
polyclonal
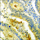
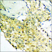
Application:
ELISA, IHC, WB
Citations:
7
技术服务
需要帮助?我们经验丰富的科学家团队随时乐意为您服务。
让我们为您提供帮助
技术服务
需要帮助?我们经验丰富的科学家团队随时乐意为您服务。
让我们为您提供帮助

form

buffered aqueous solution

biological source

rabbit

conjugate

unconjugated

antibody form

affinity isolated antibody

antibody product type

primary antibodies

clone

polyclonal

mol wt

antigen 58 kDa

species reactivity

human, mouse, rat

concentration

~1 mg/mL

technique(s)

ELISA: 1:40000, immunohistochemistry: 1:50-1:100, western blot: 1:500-1:1000

NCBI accession no.

UniProt accession no.

shipped in

wet ice

storage temp.

−20°C

target post-translational modification

phosphorylation (pSer40)

Quality Level

Gene Information

human ... TH(7054)

正在寻找类似产品? 访问 产品对比指南

General description

Tyrosine Hydroxylase (TH) is encoded by the gene mapped to human chromosome 11p15.5, close to the insulin (INS) and Harvey-ras-1 (HRAS) genes. The N-terminal end of the protein plays a vital role in maintaining intracellular stability of the enzyme. tyrosine hydroxylase is expressed in various tissues such as brain, adrenal medulla and sympathetically innervated tissues. The enzyme is characterized with a regulatory domain (R), a catalytic domain (C) at N-terminal end, and a coiled-coil domain at the C-terminal end.

Immunogen

The antiserum was produced against synthesized peptide derived from human Tyrosine Hydroxylase around the phosphorylation site of Ser40.

Immunogen Range: 41-90

Biochem/physiol Actions

Tyrosine Hydroxylase (TH) specifically catalyzes the hydroxylation of the amino acid L-tyrosine to 3, 4-dihydroxy-L-phenylalanine (L-DOPA). TH is a rate-limiting enzyme involved in the synthesis of catecholamine, involved in several brain functions, such as attention, memory, cognition, and emotion. Phosphorylation of the N-terminal portion of tyrosine hydroxylase controls the degradation of this enzyme by the ubiquitin-proteasome pathway. Alteration in the expression of the gene results in the pathogenesis of Parkinson′s disease (PD). Point mutation in the gene coding for TH leads to Segawa′s syndrome.

Features and Benefits

Evaluate our antibodies with complete peace of mind. If the antibody does not perform in your application, we will issue a full credit or replacement antibody. Learn more.

Physical form

Rabbit IgG in phosphate buffered saline (without Mg2+ and Ca2+), pH 7.4, 150mM NaCl, 0.02% sodium azide and 50% glycerol.

Disclaimer

Unless otherwise stated in our catalog or other company documentation accompanying the product(s), our products are intended for research use only and are not to be used for any other purpose, which includes but is not limited to, unauthorized commercial uses, in vitro diagnostic uses, ex vivo or in vivo therapeutic uses or any type of consumption or application to humans or animals.

未找到合适的产品?  

试试我们的产品选型工具.

存储类别

10 - Combustible liquids

wgk

WGK 1

flash_point_f

Not applicable

flash_point_c

Not applicable

法规信息

低风险生物材料
常规特殊物品
此项目有

历史批次信息供参考:

分析证书(COA)

Lot/Batch Number

没有发现合适的版本?

如果您需要特殊版本,可通过批号或批次号查找具体证书。

已有该产品?

在文件库中查找您最近购买产品的文档。

访问文档库

K L O'Malley et al.
Nucleic acids research, 16(10), 4437-4446 (1988-05-25)
The gene for the catecholamine biosynthetic enzyme, tyrosine hydroxylase (TH), has been previously mapped to human chromosome 11 p15.5 in the vicinity of the loci for insulin (INS) and for the oncogene Harvey Ras 1 (HRAS). Here we show that
Christopher Tolleson et al.
CNS & neurological disorders drug targets, 11(4), 381-386 (2012-04-10)
Tyrosine hydroxylase (TH) is the rate limiting step in the biosynthesis of dopamine and other catecholamines. Differences have been noted in concentration and availability of this enzyme and its cofactors in disease states such as Parkinson's disease (PD) which are
B Lüdecke et al.
Human genetics, 95(1), 123-125 (1995-01-01)
We have examined the molecular basis of Segawa's syndrome in six families with seven affected children. In one family two siblings with this disease carried a point mutation in exon 11 of the tyrosine hydroxylase gene, resulting in an amino
Akira Nakashima et al.
Biochemical and biophysical research communications, 407(2), 343-347 (2011-03-12)
Tyrosine hydroxylase (TH) is the rate-limiting enzyme in catecholamine biosynthesis, and its N-terminus plays a critical role in the intracellular stability of the enzyme. In the present study, we investigated the mechanism by which the N-terminal region of TH affects
S Colette Daubner et al.
Archives of biochemistry and biophysics, 508(1), 1-12 (2010-12-24)
Tyrosine hydroxylase is the rate-limiting enzyme of catecholamine biosynthesis; it uses tetrahydrobiopterin and molecular oxygen to convert tyrosine to DOPA. Its amino terminal 150 amino acids comprise a domain whose structure is involved in regulating the enzyme's activity. Modes of

我们的科学家团队拥有各种研究领域经验,包括生命科学、材料科学、化学合成、色谱、分析及许多其他领域.

联系客户支持