biological source
mouse
Quality Level
antibody form
ascites fluid
antibody product type
primary antibodies
clone
3F6, monoclonal
species reactivity
mouse, monkey, human, rat
technique(s)
immunofluorescence: suitable, immunohistochemistry: suitable, western blot: suitable
isotype
IgG1
shipped in
wet ice
target post-translational modification
unmodified
Gene Information
human ... BMPR2(659)
General description
BMPR2 a member of the bone morphogenetic protein (BMP) receptor family of transmembrane serine/threonine kinases. The ligands of this receptor are BMPs, which are members of the TGF-β superfamily. BMPs are involved in endochondral bone formation and embryogenesis. These proteins transduce their signals through the formation of heteromeric complexes of two different types of serine (threonine) kinase receptors: type I receptors of about 50-55 kD and type II receptors of about 70-80 kD. Type II receptors bind ligands in the absence of type I receptors, but they require their respective type I receptors for signaling, whereas type I receptors require their respective type II receptors for ligand binding. Mutations in this gene have been associated with primary pulmonary hypertension, both familial and fenfluramine-associated, and with pulmonary venoocclusive disease.
~115 kDa observed. Uncharacterized bands may appear in some lysate(s).
Immunogen
Purified recombinant fragment of human BMR2 expressed in E. Coli.
Application
Anti-BMR2 Antibody, clone 3F6 is a mouse monoclonal antibody, validated for use in western blotting, Immunofluorescence & IHC.
Immunofluorescence Analysis: A 1:200-1,000 dilution from a representative lot detected BMPR2 in Eca109 cells.
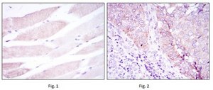
Immunohistochemistry Analysis: A 1:200-1,000 dilution from a representative lot detected BMPR2 in muscle tissue and kidney cancer tissue.
Optimal working dilutions must be determined by end user.
Immunohistochemistry Analysis: A 1:200-1,000 dilution from a representative lot detected BMPR2 in muscle tissue and kidney cancer tissue.
Optimal working dilutions must be determined by end user.
Research Category
Stem Cell Research
Stem Cell Research
Research Sub Category
Pluripotent & Early Differentiation
Pluripotent & Early Differentiation
Physical form
Mouse monoclonal IgG1 ascitic fluid containing up to 0.1% sodium azide.
Unpurified
Preparation Note
Stable for 1 year at -20°C from date of receipt.
Handling Recommendations: Upon receipt and prior to removing the cap, centrifuge the vial and gently mix the solution. Aliquot into microcentrifuge tubes and store at -20°C. Avoid repeated freeze/thaw cycles, which may damage IgG and affect product performance.
Handling Recommendations: Upon receipt and prior to removing the cap, centrifuge the vial and gently mix the solution. Aliquot into microcentrifuge tubes and store at -20°C. Avoid repeated freeze/thaw cycles, which may damage IgG and affect product performance.
Analysis Note
Control
HeLa, A431, NIH/3T3, Cos7 and PC-12 cell lysates
HeLa, A431, NIH/3T3, Cos7 and PC-12 cell lysates
Evaluated by Western Blot in HeLa, A431, NIH/3T3, Cos7 and PC-12 cell lysates.
Western Blot Analysis: A 1:500-2,000 dilution of this antibody detected BMPR2 in HeLa, A431, NIH/3T3, Cos7 and PC-12 cell lysates.
Western Blot Analysis: A 1:500-2,000 dilution of this antibody detected BMPR2 in HeLa, A431, NIH/3T3, Cos7 and PC-12 cell lysates.
Disclaimer
Unless otherwise stated in our catalog or other company documentation accompanying the product(s), our products are intended for research use only and are not to be used for any other purpose, which includes but is not limited to, unauthorized commercial uses, in vitro diagnostic uses, ex vivo or in vivo therapeutic uses or any type of consumption or application to humans or animals.
Still not finding the right product?
试用我们的 产品选型工具 工具缩小选择范围
存储类别
12 - Non Combustible Liquids
wgk
nwg
flash_point_f
Not applicable
flash_point_c
Not applicable
Jia Liu et al.
Scientific reports, 6, 23670-23670 (2016-04-01)
Bone morphogenetic proteins (BMPs) regulate hard tissue formation, including bone and tooth. Growth differentiation factor 5 (GDF5), a known BMP, is expressed in cartilage and regulates chondrogenesis, and mutations have been shown to cause osteoarthritis. Notably, GDF5 is also expressed
Xiaowei Nie et al.
Biomolecules, 11(12) (2021-12-25)
Pulmonary hypertension (PH) is characterized by vascular remodeling caused by marked proliferation of pulmonary artery smooth muscle cells (PASMCs). Andrographolide (ANDRO) is a potent anti-inflammatory agent which possesses antioxidant, and has anticarcinogenic activity. The present study examined potential therapeutic effects
Crosstalk between TGF-?/Smad3 and BMP/BMPR2 signaling pathways via miR-17-92 cluster in carotid artery restenosis.
Luo, T; Cui, S; Bian, C; Yu, X
Molecular and Cellular Biochemistry null
全球贸易项目编号
| 货号 | GTIN |
|---|---|
| MABD171 | 04053252918162 |