跳转至内容
Merck
CN

ZRB2901

Anti-LDLRAD3 Antibody, clone 2N16 ZooMAb® Rabbit Monoclonal

greener alternative

recombinant, expressed in HEK 293 cells

别名:

LDLR class A domain-containing protein 3, Low-density lipoprotein receptor class A domain-containing protein 3

登录 查看组织和合同定价。

选择尺寸


关于此项目

UNSPSC Code:
12352203
NACRES:
NA.41
Conjugate:
unconjugated
Clone:
2N16, recombinant monoclonal
Application:
IF, IHC, WB, affinity binding assay
Citations:
-
技术服务
需要帮助?我们经验丰富的科学家团队随时乐意为您服务。
让我们为您提供帮助
技术服务
需要帮助?我们经验丰富的科学家团队随时乐意为您服务。
让我们为您提供帮助

biological source

rabbit

recombinant

expressed in HEK 293 cells

conjugate

unconjugated

antibody form

purified antibody

antibody product type

primary antibodies

clone

2N16, recombinant monoclonal

description

recombinant, expressed in HEK 293 cells

product line

ZooMAb® learn more

form

lyophilized

mol wt

calculated mol wt 37.41 kDa, observed mol wt ~37 kDa

purified by

using Protein A

species reactivity

rat, human

species reactivity (predicted by homology)

bovine

packaging

antibody small pack of 25

greener alternative product characteristics

Waste Prevention
Designing Safer Chemicals
Design for Energy Efficiency
Learn more about the Principles of Green Chemistry.

enhanced validation

recombinant expression
Learn more about Antibody Enhanced Validation

sustainability

Greener Alternative Product

technique(s)

affinity binding assay: suitable, immunofluorescence: suitable, immunohistochemistry: suitable, western blot: suitable

isotype

IgG

epitope sequence

C-terminal cytoplasmic domain

Protein ID accession no.

UniProt accession no.

greener alternative category

shipped in

ambient

storage temp.

2-8°C

Quality Level

Gene Information

human ... LDLRAD3(143458)

General description

ZooMAb® antibodies represent an entirely new generation of recombinant monoclonal antibodies. Each ZooMAb® antibody is manufactured using our proprietary recombinant expression system, purified to homogeneity, and precisely dispensed to produce robust and highly reproducible lot-to-lot consistency. Only top-performing clones are released for use by researchers. Each antibody is validated for high specificity and affinity across multiple applications, including its most commonly used application. ZooMAb® antibodies are reliably available and ready to ship when you need them.
Low-density lipoprotein receptor class A domain-containing protein 3 (UniProt: Q86YD5; also known as LDLR class A domain-containing protein 3) is encoded by the LDLRAD3 (also known as LRAD3 ) gene (Gene ID: 143458) in human. LDLRAD3 is a protein-coding gene and is located on the 11p13 chromosome. It is known to be associated with amyloid-beta binding. The encoded protein is a member of the LDL receptor family and is involved in lipid metabolism, cellular signaling, and may also interact with other receptors and proteins, influencing various signaling cascades. It is a single-pass type I membrane protein that is synthesized with a signal peptide (aa 1-17), which is subsequently cleaved off to produce the mature protein that contains an extracellular domain (aa 18-173), a transmembrane domain (aa 174-194), and a cytoplasmic tail (aa 195-345). LDLRAD3 is expressed in various tissues, with higher levels noted in brain, lung, skeletal muscle, and pancreas. It is also found in moderate levels in heart, placenta, and kidney but not detected in the liver. LDLRAD3 is involved in several processes, may regulate ITCH and NEDD4 E3 ligase activity and degradation. Studies have established LDLRAD3 as a potent activator of ITCH and NEDD4, as evidenced by their increased auto-ubiquitination when bound to LRAD3. It has also been suggested that circular RNA circ-LDLRAD3 may also be a potential biomarker in the diagnosis of pancreatic cancer. LDLRAD3 is mainly associated with microbial infection and acts as a entry receptor for Venezuelan equine encephalitis virus (VEEV), which is a New World alphavirus that causes severe neurological disease in humans. This ZooMAb® recombinant monoclonal antibody, generated by our proprietary technology, offers significantly enhanced specificity, affinity, reproducibility, and stability over conventional monoclonals. (Ref.: Basore, K., et al. (2021). Nature. 598:672-676; Noyes, NC., et al. (2016). Biochemistry. 55(8):1204-13; Yang, F., et al. (2017). World J Gastroenterology. 23(47):8345-8354).
We are committed to bringing you greener alternative products, which adhere to one or more of the 12 Principles of Green Chemistry. This antibody is preservative-free, produced without the harm or sacrifice of animals and exceptionally stable to allow for ambient shipping and storage if needed, and thus aligns with "Waste Prevention", "Designing Safer Chemicals" and "Design for Energy Efficiency". Click here for more information.

Immunogen

KLH-conjugated linear peptide corresponding to 22 amino acids from the C-terminal cytoplasmic domain of human LDLRAD3.

Application

Quality Control Testing

Evaluated by Western Blotting in A549 cell lysate.

Western Blotting Analysis: A 1:1,000 dilution of this antibody detected LDLRAD3 in A549 cell lysate.

Tested Applications

Western Blotting Analysis: A 1:1,000 dilution from a representative lot detected LDLRAD3 in lysates from SK-MEL-28 cells, human lung tissue, human stomach tissue, and rat lung tissue.

Immunofluorescence Analysis: A 1:1,000 dilution from a representative lot detected LDLRAD3 in human fallopian tube tissue sections.

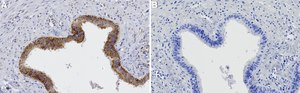
Immunohistochemistry (Paraffin) Analysis: A 1:1,000 dilution from a representative lot detected LDLRAD3 in human fallopian tube tissue sections.

Affinity Binding Assay: A representative lot of this antibody bound LDLRAD3 peptide with at least ten thousand-fold (10,000X) higher affinity than with non-specific control peptide.

Note: Actual optimal working dilutions must be determined by end user as specimens, and experimental conditions may vary with the end user.

Biochem/physiol Actions

Clone 2N16 is a ZooMAb® recombinant rabbit monoclonal antibody that specifically detects LDLRAD3. It targets an epitope within 22 amino acids from the C-terminal cytoplasmic domain.

Physical form

Purified recombinant rabbit monoclonal antibody IgG, lyophilized in PBS with 5% Trehalose, normal appearance a coarse or translucent resin. The PBS/trehalose components in the ZooMAb formulation can have the appearance of a semi-solid (bead like gel) after lyophilization. This is a normal phenomenon. Please follow the recommended reconstitution procedure in the data sheet to dissolve the semi-solid, bead-like, gel-appearing material. The resulting antibody solution is completely stable and functional as proven by full functional testing. Contains no biocide or preservatives, such as azide, or any animal by-products. Larger pack sizes provided as multiples of 25 µL.

Preparation Note

300 µg/mL after reconstitution at 25 µL per vial. Please refer to guidance on suggested starting dilutions and/or titers per application and sample type.
Recommend storage of lyophilized product at 2-8°C; Before reconstitution, micro-centrifuge vials briefly to spin down material to bottom of the vial; Reconstitute each vial by adding 25 µL of filtered lab grade water or PBS; Reconstituted antibodies can be stored at 2-8°C, or -20°C for long term storage. Avoid repeated freeze-thaws.

Legal Information

ZooMAb is a registered trademark of Merck KGaA, Darmstadt, Germany

Disclaimer

Unless otherwise stated in our catalog or other company documentation accompanying the product(s), our products are intended for research use only and are not to be used for any other purpose, which includes but is not limited to, unauthorized commercial uses, in vitro diagnostic uses, ex vivo or in vivo therapeutic uses or any type of consumption or application to humans or animals.

未找到合适的产品?  

试试我们的产品选型工具.

存储类别

11 - Combustible Solids

wgk

WGK 2

法规信息

常规特殊物品
此项目有

历史批次信息供参考:

分析证书(COA)

Lot/Batch Number

没有发现合适的版本?

如果您需要特殊版本,可通过批号或批次号查找具体证书。

已有该产品?

在文件库中查找您最近购买产品的文档。

访问文档库

我们的科学家团队拥有各种研究领域经验,包括生命科学、材料科学、化学合成、色谱、分析及许多其他领域.

联系客户支持