生物来源
rabbit
质量水平
重组
expressed in HEK 293 cells
偶联物
unconjugated
抗体形式
purified antibody
抗体产品类型
primary antibodies
克隆
2N7, recombinant monoclonal
描述
recombinant, expressed in HEK 293 cells
产品线
ZooMAb® learn more
表单
lyophilized
分子量
calculated mol wt 19.17 kDa
observed mol wt ~17 kDa
纯化方式
using Protein A
种属反应性
mouse, human
种属反应性(根据同源性预测)
sheep, bovine, rat, monkey
包装
antibody small pack of 25
增强验证
recombinant expression
Learn more about Antibody Enhanced Validation
技术
affinity binding assay: suitable
immunocytochemistry: suitable
immunohistochemistry: suitable
western blot: suitable
同位素/亚型
IgG
表位序列
C-terminal half
Protein ID登记号
UniProt登记号
运输
ambient
储存温度
2-8°C
基因信息
human ... VIP(7432)
一般描述
ZooMAb® antibodies represent an entirely new generation of recombinant monoclonal antibodies. Each ZooMAb® antibody is manufactured using our proprietary recombinant expression system, purified to homogeneity, and precisely dispensed to produce robust and highly reproducible lot-to-lot consistency. Only top-performing clones are released for use by researchers. Each antibody is validated for high specificity and affinity across multiple applications, including its most commonly used application. ZooMAb® antibodies are reliably available and ready to ship when you need them.
免疫原
KLH-conjugated linear peptide corresponding to 18 amino acids from the Vasoactive intestinal peptide, C-terminal half of human VIP.
应用
Quality Control Testing
Evaluated by Western Blotting in SH-SY5Y cell lysate.
Western Blotting Analysis: A 1:1,000 dilution of this antibody detected VIP in SH-SY5Y cell lysate.
Tested Applications
Immunocytochemistry Analysis: A 1:1,000 dilution from a representative lot detected VIP in SH-SY5Y cells.
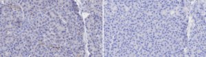
Immunohistochemistry (Paraffin) Analysis: A 1:1,000 dilution from a representative lot detected VIP in human pancreas tissue sections.
Affinity Binding Assay: A representative lot of this antibody bound VIP peptide with at least ten thousand-fold (10,000X) higher affinity than with non-specific control peptide.
Note: Actual optimal working dilutions must be determined by end user as specimens, and experimental conditions may vary with the end user.
Evaluated by Western Blotting in SH-SY5Y cell lysate.
Western Blotting Analysis: A 1:1,000 dilution of this antibody detected VIP in SH-SY5Y cell lysate.
Tested Applications
Immunocytochemistry Analysis: A 1:1,000 dilution from a representative lot detected VIP in SH-SY5Y cells.
Immunohistochemistry (Paraffin) Analysis: A 1:1,000 dilution from a representative lot detected VIP in human pancreas tissue sections.
Affinity Binding Assay: A representative lot of this antibody bound VIP peptide with at least ten thousand-fold (10,000X) higher affinity than with non-specific control peptide.
Note: Actual optimal working dilutions must be determined by end user as specimens, and experimental conditions may vary with the end user.
外形
Purified recombinant rabbit monoclonal antibody IgG, lyophilized in PBS with 5% Trehalose, normal appearance a coarse or translucent resin. The PBS/trehalose components in the ZooMAb formulation can have the appearance of a semi-solid (bead like gel) after lyophilization. This is a normal phenomenon. Please follow the recommended reconstitution procedure in the data sheet to dissolve the semi-solid, bead-like, gel-appearing material. The resulting antibody solution is completely stable and functional as proven by full functional testing. Contains no biocide or preservatives, such as azide, or any animal by-products. Larger pack sizes provided as multiples of 25 µL.
制备说明
300 µg/mL after reconstitution at 25 µL per vial. Please refer to guidance on suggested starting dilutions and/or titers per application and sample type.
Recommend storage of lyophilized product at 2-8°C; Before reconstitution, micro-centrifuge vials briefly to spin down material to bottom of the vial; Reconstitute each vial by adding 25 µL of filtered lab grade water or PBS; Reconstituted antibodies can be stored at 2-8°C, or -20°C for long term storage. Avoid repeated freeze-thaws.
分析说明
Vasoactive intestinal peptide (UniProt: P01282; also known as Vasoactive intestinal polypeptide) is encoded by the VIP gene (Gene ID: 7432) in human. VIP gene is mapped to human chromosome 6q25.2. Vasoactive intestinal peptide is a neuropeptide involved in a diverse array of physiological processes. It is a 28-amino acid peptide expressed in gastrointestinal tissues and neural tissues. It is abundantly expressed throughout the CNS and peripheral nervous systems where they primarily exert neuroprotective and immune modulatory roles. It is involved in the VIP biosynthetic pathways and also acts as a neurotransmitter in neural tissues. It works in the relaxation of smooth muscle, stimulation of intestinal water and electrolyte secretion and release of insulin, glucagon and several anterior pituitary hormones. VIP participates in vasodilation and acts as a potent agonist of the calcitonin receptor CALCR, with similar efficacy as calcitonin. Studies have shown that VIP signaling is crucial for maintaining gut homeostasis and has implications in diseases such as inflammatory bowel disease (IBD). Recent research suggested that VIP also plays a key role in microbial-neuroimmune control of intestinal motility. Functional role of VIP in various pulmonary diseases has also been extensively studied and although, VIP is known to have a protective effect in pulmonary hypertension and asthma, it has been suggested to promote tumor growth in lung cancer. This ZooMAb® recombinant monoclonal antibody, generated by our proprietary technology, offers significantly enhanced specificity, affinity, reproducibility, and stability over conventional monoclonals. (Ref.: Bai, X., et al. (2024). Cell Mol Gastroenterol Hepatol. 17(3); 383-398; Zhong, HL., et al. (2023). Life Sciences. 332; 122121).
其他说明
Clone 2N7 is a ZooMAb® recombinant rabbit monoclonal antibody that specifically detects VIP. It targets an epitope within 18 amino acids from the Vasoactive intestinal peptide.
法律信息
ZooMAb is a registered trademark of Merck KGaA, Darmstadt, Germany
免责声明
Unless otherwise stated in our catalog or other company documentation accompanying the product(s), our products are intended for research use only and are not to be used for any other purpose, which includes but is not limited to, unauthorized commercial uses, in vitro diagnostic uses, ex vivo or in vivo therapeutic uses or any type of consumption or application to humans or animals.
未找到合适的产品?
试试我们的产品选型工具.
法规信息
新产品
此项目有
我们的科学家团队拥有各种研究领域经验,包括生命科学、材料科学、化学合成、色谱、分析及许多其他领域.
联系客户支持
