跳转至内容
Merck
CN

ZRB2173

Anti-ACSL3 Antibody, clone 1I18 ZooMAb® Rabbit Monoclonal

greener alternative

recombinant, expressed in HEK 293 cells

别名:

Fatty acid CoA ligase Acsl3;Arachidonate--CoA ligase;EC:6.2.1.15;Long-chain acyl-CoA synthetase 3;LACS 3;Long-chain-fatty-acid--CoA ligase 3;Medium-chain acyl-CoA ligase Acsl3

登录 查看组织和合同定价。

选择尺寸


关于此项目

NACRES:
NA.43
UNSPSC Code:
12352203
Conjugate:
unconjugated
Clone:
1I18, recombinant monoclonal
Application:
ICC, IHC, WB, affinity binding assay
Citations:
-
技术服务
需要帮助?我们经验丰富的科学家团队随时乐意为您服务。
让我们为您提供帮助
技术服务
需要帮助?我们经验丰富的科学家团队随时乐意为您服务。
让我们为您提供帮助

biological source

rabbit

recombinant

expressed in HEK 293 cells

conjugate

unconjugated

antibody form

purified antibody

antibody product type

primary antibodies

clone

1I18, recombinant monoclonal

description

1I18 Clone

product line

ZooMAb® learn more

form

lyophilized

mol wt

calculated mol wt 80.42 kDa, observed mol wt ~75 kDa

purified by

using Protein A

species reactivity

rat, human, mouse

species reactivity (predicted by homology)

porcine, monkey, bovine

packaging

antibody small pack of 25 μL

greener alternative product characteristics

Waste Prevention
Designing Safer Chemicals
Design for Energy Efficiency
Learn more about the Principles of Green Chemistry.

enhanced validation

recombinant expression
Learn more about Antibody Enhanced Validation

sustainability

Greener Alternative Product

technique(s)

affinity binding assay: suitable, immunocytochemistry: suitable, immunohistochemistry: suitable, western blot: suitable

isotype

IgG

epitope sequence

C-terminal half

Protein ID accession no.

UniProt accession no.

greener alternative category

shipped in

ambient

storage temp.

2-8°C

target post-translational modification

unmodified

Quality Level

Gene Information

human ... ACSL3(2181)

General description

Fatty acid CoA ligase Acsl3 (UniProt: O95573; also known as Arachidonate--CoA ligase, EC:6.2.1.15, Long-chain acyl-CoA synthetase 3, LACS 3, Long-chain-fatty-acid--CoA ligase 3, Medium-chain acyl-CoA ligase Acsl3) is encoded by the ACSL3 (also known as ACS3, FACL3, LACS3) gene (Gene ID: 2181) in human. In mammals, Acyl-CoA synthetase (ACSL) enzymes are essential for de novo lipid synthesis, fatty acid catabolism, and remodeling of membranes. These ACSLs are divided into five sub-families based on the chain length of their preferred acyl groups. Activation of fatty acids requires a two-step reaction scheme catalyzed by ACSLs. In the first step, an acyl-AMP intermediate is formed from ATP. AMP is then exchanged with CoA to produce the activated acyl-CoA. ACSL3 is a single-pass type III membrane protein with a transmembrane domain (aa 21-41) and a long cytoplasmic domain )aa 42-720). It is mainly detected in the endoplasmic reticulum and peroxisomes. It is required for the incorporation of fatty acids into phosphatidylcholine, the major phospholipid located on the surface of very low-density lipoproteins (VLDL). It preferentially uses myristate, laurate, arachidonate and eicosapentaenoate as substrates. Overexpression of ACSL3 is shown in human lung cancer and is essential for mutant KRAS lung cancer tumorigenesis. Its suppression is linked to depletion of cellular ATP and death of lung cancer cells. This ZooMAb® recombinant monoclonal antibody, generated by our propriety technology, offers significantly enhanced specificity, affinity, reproducibility, and stability over conventional monoclonals. (Ref.: Padanad, MS., et al. (2016). Cell Reports 16(6); 1614-1628; Soupene, E., and Kuypers, FA. (2008). Exp. Biol. Med. (Maywood). 233(5): 507-521).
We are committed to bringing you greener alternative products, which adhere to one or more of The 12 Principles of Green Chemistry.This antibody is Preservative-free, produced without the harm or sacrifice of animals and exceptionally stable to allow for ambient shipping and storage if needed and thus aligns with "Waste Prevention", "Designing Safer Chemicals" and "Design for Energy Efficiency". Click here for more information.
ZooMAb® antibodies represent an entirely new generation of recombinant monoclonal antibodies.Each ZooMAb® antibody is manufactured using our proprietary recombinant expression system, purified to homogeneity, and precisely dispensed to produce robust and highly reproducible lot-to-lot consistency. Only top-performing clones are released for use by researchers. Each antibody is validated for high specificity and affinity across multiple applications, including its most commonly used application. ZooMAb® antibodies are reliably available and ready to ship when you need them.

Immunogen

KLH-conjugated linear peptide corresponding to 20 amino acids from the C-terminal half of human Fatty acid CoA ligase Acsl3 (ACSL3).

Application

Quality Control Testing

Evaluated by Western Blotting in HeLa cell lysate.

Western Blotting Analysis (WB): A 1:10,000 dilution of this antibody detected ACSL3 in HeLa cell lysate.

Tested Applications

Western Blotting Analysis: A 1:10,000 dilution from a representative lot detected ACSL3 in A431 cell lysate and 1:1,000 dilution detected ACSL3 in C2C12, and C6 cell lysates.

Affinity Binding Assay: A representative lot of this antibody bound ACSL3 with a KD of 2.7 x 10-7 in an affinity binding assay.

Immunocytochemistry Analysis: A 1:100 dilution from a representative lot detected ACSL3 in HeLa cells.

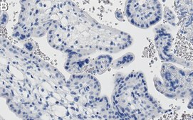
Immunohistochemistry (Paraffin) Analysis: A 1:100 dilution from a representative lot detected ACSL3 in human placenta tissue sections.

Note: Actual optimal working dilutions must be determined by end user as specimens, and experimental conditions may vary with the end user

Biochem/physiol Actions

Clone 1I18 is a ZooMAb® Rabbit recombinant monoclonal antibody that specifically detects Fatty acid CoA ligase Acsl3 (ACSL3). It targets an epitope within 20 amino acids from the C-terminal half.

Physical form

Purified recombinant rabbit monoclonal antibody IgG, lyophilized in PBS, 5% Trehalose, normal appearance a coarse or translucent resin. The PBS/trehalose components in the ZooMAb formulation can have the appearance of a semi-solid (bead like gel) after lyophilization. This is a normal phenomenon. Please follow the recommended reconstitution procedure in the data sheet to dissolve the semi-solid, bead-like, gel-appearing material. The resulting antibody solution is completely stable and functional as proven by full functional testing. Contains no biocide or preservatives, such as azide, or any animal by-products. Larger pack sizes provided as multiples of 25 μL.

Preparation Note

Recommend storage of lyophilized product at 2-8°C; Before reconstitution, micro-centrifuge vials briefly to spin down material to bottom of the vial; Reconstitute each vial by adding 25 μL of filtered lab grade water or PBS; Reconstituted antibodies can be stored at 2-8°C, or -20°C for long term storage. Avoid repeated freeze-thaws.
Reconstitute lyophilized antibody pellet with 25μL of ultrapure water or Phosphate Buffered Saline (PBS). Please refer to our reconstitution protocol and the specific application guidance on the suggested starting dilutions and sample type.

Legal Information

ZooMAb is a registered trademark of Merck KGaA, Darmstadt, Germany

Disclaimer

Unless otherwise stated in our catalog or other company documentation accompanying the product(s), our products are intended for research use only and are not to be used for any other purpose, which includes but is not limited to, unauthorized commercial uses, in vitro diagnostic uses, ex vivo or in vivo therapeutic uses or any type of consumption or application to humans or animals.

未找到合适的产品?  

试试我们的产品选型工具.

存储类别

11 - Combustible Solids

wgk

WGK 1

法规信息

常规特殊物品
常规特殊物品
此项目有

历史批次信息供参考:

分析证书(COA)

Lot/Batch Number

没有发现合适的版本?

如果您需要特殊版本,可通过批号或批次号查找具体证书。

已有该产品?

在文件库中查找您最近购买产品的文档。

访问文档库

我们的科学家团队拥有各种研究领域经验,包括生命科学、材料科学、化学合成、色谱、分析及许多其他领域.

联系客户支持