跳转至内容
Merck
CN

ZRB1816

Anti-Geminin Antibody, clone 1K11 ZooMAb® Rabbit Monoclonal

greener alternative

recombinant, expressed in HEK 293 cells

登录 查看组织和合同定价。

选择尺寸


关于此项目

NACRES:
NA.43
UNSPSC Code:
12352203
Conjugate:
unconjugated
Clone:
1K11, recombinant monoclonal
Application:
ICC, IHC (p), WB, affinity binding assay
Citations:
-
技术服务
需要帮助?我们经验丰富的科学家团队随时乐意为您服务。
让我们为您提供帮助
技术服务
需要帮助?我们经验丰富的科学家团队随时乐意为您服务。
让我们为您提供帮助

biological source

rabbit

recombinant

expressed in HEK 293 cells

conjugate

unconjugated

antibody form

purified antibody

antibody product type

primary antibodies

clone

1K11, recombinant monoclonal

description

1K11 Clone

product line

ZooMAb® learn more

form

lyophilized

mol wt

calculated mol wt 23.57 kDa, observed mol wt ~32 kDa

purified by

using Protein A

species reactivity

human

packaging

antibody small pack of 25 μL

greener alternative product characteristics

Waste Prevention
Designing Safer Chemicals
Design for Energy Efficiency
Learn more about the Principles of Green Chemistry.

enhanced validation

recombinant expression
Learn more about Antibody Enhanced Validation

sustainability

Greener Alternative Product

technique(s)

affinity binding assay: suitable, immunocytochemistry: suitable, immunohistochemistry (formalin-fixed, paraffin-embedded sections): suitable, western blot: suitable

isotype

IgG

epitope sequence

Unknown

Protein ID accession no.

UniProt accession no.

greener alternative category

shipped in

ambient

storage temp.

2-8°C

target post-translational modification

unmodified

Quality Level

Gene Information

human ... GMNN(51053)

General description

ZooMAb® antibodies represent an entirely new generation of recombinant monoclonal antibodies.Each ZooMAb® antibody is manufactured using our proprietary recombinant expression system, purified to homogeneity, and precisely dispensed to produce robust and highly reproducible lot-to-lot consistency. Only top-performing clones are released for use by researchers. Each antibody is validated for high specificity and affinity across multiple applications, including its most commonly used application. ZooMAb® antibodies are reliably available and ready to ship when you need them.
Geminin (UniProt: O75496; also known as Gem) encoded by the GMNN gene (Gene ID: 51053) in human. Geminin is a homotetrameric protein that is mainly localized in the cytoplasm but can also be found in the nucleus. Geminin is an important regulator of proliferation and differentiation in metazoans, which predominantly inhibits the DNA replication licensing factor Cdt1, thereby preventing genome over-replication. It inhibits DNA replication by preventing the incorporation of mini-chromosome maintenance complex (MCM) complex into pre-replication complex. It is not detected during the G1 phase, but accumulates during S, G2, and M phases, and disappears at the time of the metaphase-anaphase transition. Its destruction at the metaphase-anaphase transition permits replication in the succeeding cell cycle. Geminin is reported to inhibit histone acetyltransferase activity of KAT7/HBO1 in a Cdt1-dependent manner and also inhibits transcriptional activity of a subset of Hox protein, enrolling them in cell proliferative control. Geminin undergoes phosphorylation at serine 184 by casein kinase 2 during mitosis, which results in enhanced binding to Hox proteins and more potent inhibitory effect on Hox transcriptional activity. Geminin is reported to interact with IDAS via its coiled-coil domain (aa 94-144), which targets it to the nucleus. It is shown that in contrast to IDAS-Geminin heterodimers, IDAS homodimers are thermodynamically unstable and are unlikely to exist as a stable macromolecule under physiological conditions. Mutations in GMNN gene are known to cause Meier-Gorlin syndrome 6, which is characterized by bilateral microtia and severe intrauterine and postnatal growth retardation. This ZooMAbZooMAb® recombinant monoclonal antibody, generated by our propriety technology, offers significantly enhanced specificity, affinity, reproducibility, and stability over conventional monoclonals. (Ref.: Caillat , C., et al. (2013). J. Biol. Chem. 288(44); 31624-31634; Zhou, B., et al. (2012). Proc. Natl. Acad. Sci. USA. 109(23); 8931-8936; McGarry, TJ., and Kirschner, MW. (1998). Cell. 93(6); 1043-53).
We are committed to bringing you greener alternative products, which adhere to one or more of The 12 Principles of Green Chemistry.This antibody is Preservative-free, produced without the harm or sacrifice of animals and exceptionally stable to allow for ambient shipping and storage if needed and thus aligns with "Waste Prevention", "Designing Safer Chemicals" and "Design for Energy Efficiency". Click here for more information.

Immunogen

His-tagged full-length recombinant human Geminin.

Application

Quality Control Testing

Evaluated by Western Blotting in U2OS cell lysate.

Western Blotting Analysis: A 1:1,000 dilution of this antibody detected Geminin in U2OS cell lysate.

Tested applications

Western Blotting Analysis: A 1:1,000 dilution from a representative lot detected Geminin in HeLa cell lysate.

Affinity Binding Assay: A representative lot of this antibody bound Geminin with a KD of 4.6 x 10-6 in an affinity binding assay.

Immunocytochemistry Analysis: A 1:1,000 dilution from a representative lot detected Geminin in Caco-2 cells.

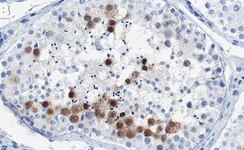
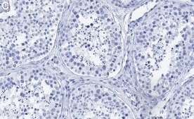
Immunohistochemistry (Paraffin) Analysis: A 1:1,000 dilution from a representative lot detected Geminin in human testis tissue sections.

Note: Actual optimal working dilutions must be determined by end user as specimens, and experimental conditions may vary with the end user

Biochem/physiol Actions

Clone 1K11 is a ZooMAb® Rabbit recombinant monoclonal antibody that specifically detects Geminin.

Physical form

Purified recombinant rabbit monoclonal antibody IgG, lyophilized in PBS, 5% Trehalose, normal appearance a coarse or translucent resin. The PBS/trehalose components in the ZooMAb formulation can have the appearance of a semi-solid (bead like gel) after lyophilization. This is a normal phenomenon. Please follow the recommended reconstitution procedure in the data sheet to dissolve the semi-solid, bead-like, gel-appearing material. The resulting antibody solution is completely stable and functional as proven by full functional testing. Contains no biocide or preservatives, such as azide, or any animal by-products. Larger pack sizes provided as multiples of 25 μL.

Preparation Note

Recommend storage of lyophilized product at 2-8°C; Before reconstitution, micro-centrifuge vials briefly to spin down material to bottom of the vial; Reconstitute each vial by adding 25 μL of filtered lab grade water or PBS; Reconstituted antibodies can be stored at 2-8°C, or -20°C for long term storage. Avoid repeated freeze-thaws.
Reconstitute lyophilized antibody pellet with 25μL of ultrapure water or Phosphate Buffered Saline (PBS). Please refer to our reconstitution protocol and the specific application guidance on the suggested starting dilutions and sample type.

Legal Information

ZooMAb is a registered trademark of Merck KGaA, Darmstadt, Germany

Disclaimer

Unless otherwise stated in our catalog or other company documentation accompanying the product(s), our products are intended for research use only and are not to be used for any other purpose, which includes but is not limited to, unauthorized commercial uses, in vitro diagnostic uses, ex vivo or in vivo therapeutic uses or any type of consumption or application to humans or animals.

未找到合适的产品?  

试试我们的产品选型工具.

存储类别

11 - Combustible Solids

wgk

WGK 1

flash_point_f

Not applicable

flash_point_c

Not applicable

法规信息

常规特殊物品
此项目有

历史批次信息供参考:

分析证书(COA)

Lot/Batch Number

It looks like we've run into a problem, but you can still download Certificates of Analysis from our 文件 section.

如需帮助,请联系 客户支持

已有该产品?

在文件库中查找您最近购买产品的文档。

访问文档库

我们的科学家团队拥有各种研究领域经验,包括生命科学、材料科学、化学合成、色谱、分析及许多其他领域.

联系客户支持