跳转至内容
Merck
CN

ZRB1653

Anti-MIF Antibody, clone 1K16 ZooMAb® Rabbit Monoclonal

greener alternative

recombinant, expressed in HEK 293 cells

别名:

Macrophage migration inhibitory factor;EC:5.3.2.1;Glycosylation-inhibiting factor;GIF;L-dopachrome isomerase;L-dopachrome tautomerase;Phenylpyruvate tautomerase

登录 查看组织和合同定价。

选择尺寸


关于此项目

NACRES:
NA.41
UNSPSC Code:
12352203
Conjugate:
unconjugated
Clone:
1K16, recombinant monoclonal
Application:
ICC, IHC (p), WB, affinity binding assay
Citations:
-
技术服务
需要帮助?我们经验丰富的科学家团队随时乐意为您服务。
让我们为您提供帮助
技术服务
需要帮助?我们经验丰富的科学家团队随时乐意为您服务。
让我们为您提供帮助

biological source

rabbit

recombinant

expressed in HEK 293 cells

conjugate

unconjugated

antibody form

purified antibody

antibody product type

primary antibodies

clone

1K16, recombinant monoclonal

description

recombinant, expressed in HEK 293 cells

product line

ZooMAb® learn more

form

lyophilized

mol wt

calculated mol wt 12.48 kDa, observed mol wt ~12 kDa

purified by

using Protein A

species reactivity

mouse, rat, human

packaging

antibody small pack of 25 μL

greener alternative product characteristics

Waste Prevention
Designing Safer Chemicals
Design for Energy Efficiency
Learn more about the Principles of Green Chemistry.

enhanced validation

recombinant expression
Learn more about Antibody Enhanced Validation

sustainability

Greener Alternative Product

technique(s)

affinity binding assay: suitable, immunocytochemistry: suitable, immunohistochemistry (formalin-fixed, paraffin-embedded sections): suitable, western blot: suitable

isotype

IgG

epitope sequence

Unknown

Protein ID accession no.

UniProt accession no.

greener alternative category

shipped in

ambient

storage temp.

2-8°C

target post-translational modification

glycosylation

Quality Level

General description

ZooMAb® antibodies represent an entirely new generation of recombinant monoclonal antibodies.Each ZooMAb® antibody is manufactured using our proprietary recombinant expression system, purified to homogeneity, and precisely dispensed to produce robust and highly reproducible lot-to-lot consistency. Only top-performing clones are released for use by researchers. Each antibody is validated for high specificity and affinity across multiple applications, including its most commonly used application. ZooMAb® antibodies are reliably available and ready to ship when you need them.
We are committed to bringing you greener alternative products, which adhere to one or more of The 12 Principles of Green Chemistry.This antibody is Preservative-free, produced without the harm or sacrifice of animals and exceptionally stable to allow for ambient shipping and storage if needed and thus aligns with "Waste Prevention", "Designing Safer Chemicals" and "Design for Energy Efficiency". Click here for more information.
Macrophage migration inhibitory factor (UniProt: P14174; also known as EC:5.3.2.1, MIF, Glycosylation-inhibiting factor, GIF, L-dopachrome isomerase, L-dopachrome tautomerase, Phenylpyruvate tautomerase) is encoded by the MIF (also known as GLIF, MMIF) gene (Gene ID: 4282) in human. MIF is a pro-inflammatory cytokine that is constitutively expressed by a broad spectrum of cells and tissues, including monocytes and macrophages. It is rapidly released after exposure to microbial products, such as LPS, and pro-inflammatory mediators. It lacks a cleavable signal sequence and is secreted via a specialized, non-classical pathway. Following its release, it induces pro-inflammatory and immune responses. MIF is involved in the innate immune response to bacterial pathogens and serves as a mediator in regulating the function of macrophages in host defense and counteracts the anti-inflammatory activity of glucocorticoids. Serum levels of MIF are significantly elevated in subjects with severe sepsis or septic shock and high levels of MIF are correlated with low survival rate. Multiple mechanisms of action have been attributed to MIF. It can bind to CD74 and phosphorylate and activate ERK1/ERK2 mitogen-activated protein kinase pathway. It also binds to JUN activation domain-binding protein 1 (JAB1) and prevents JAB-1-induced activation of Jun and JAB-1 induced degradation of Kip1, which leads to cell cycle arrest and apoptosis. Mutations in MIF gene are known to cause systemic juvenile Rheumatoid arthritis, an inflammatory articular disorder that begins before the age of 16 and cause severs extraarticular features and fatal complications. This ZooMAb® recombinant monoclonal antibody, generated by our propriety technology, offers significantly enhanced specificity, affinity, reproducibility, and stability over conventional monoclonals. (Ref.: Emonts, M., et al. (2007). Clin. Infect. Dis. 44(10); 1321-1328; Shi, X., et al. (2006); Immunity. 25(4); 595-606; Calandra, T., and Roger, T. (2003). Nat. Rev. Immunol. 3(10); 791-800).

Immunogen

His-tagged full-length recombinant human Macrophage migration inhibitory factor (MIF).

Application

Quality Control Testing

Evaluated by Western Blotting in PC12 cell lysate.

Western Blotting Analysis: A 1:1,000 dilution of this antibody detected MIF in PC12 cell lysate.

Tested applications

Western Blotting Analysis: A 1:1,000 dilution from a representative lot detected MIF in lysates from THP-1 cells and Human Kidney tissue.

Affinity Binding Assay: A representative lot of this antibody bound MIF with a KD of 1.0 x 10-12 in an affinity binding assay.

Immunocytochemistry Analysis: A 1:100 dilution from a representative lot detected MIF in Jurkat and RAW264.7 cells.

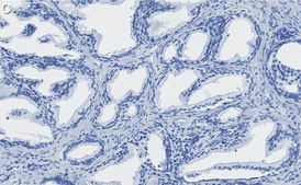
Immunohistochemistry (Paraffin) Analysis: A 1:100 dilution from a representative lot detected MIF in human prostate tissue sections.

Note: Actual optimal working dilutions must be determined by end user as specimens, and experimental conditions may vary with the end user

Biochem/physiol Actions

Clone 1K16 is a Rabbit recombinant monoclonal antibody that specifically detects Macrophage migration inhibitory factor (MIF).

Physical form

Purified recombinant rabbit monoclonal antibody IgG, lyophilized in PBS, 5% Trehalose, normal appearance a coarse or translucent resin. The PBS/trehalose components in the ZooMAb formulation can have the appearance of a semi-solid (bead like gel) after lyophilization. This is a normal phenomenon. Please follow the recommended reconstitution procedure in the data sheet to dissolve the semi-solid, bead-like, gel-appearing material. The resulting antibody solution is completely stable and functional as proven by full functional testing. Contains no biocide or preservatives, such as azide, or any animal by-products. Larger pack sizes provided as multiples of 25 μL.

Preparation Note

Recommend storage of lyophilized product at 2-8°C; Before reconstitution, micro-centrifuge vials briefly to spin down material to bottom of the vial; Reconstitute each vial by adding 25 μL of filtered lab grade water or PBS; Reconstituted antibodies can be stored at 2-8°C, or -20°C for long term storage. Avoid repeated freeze-thaws.
Reconstitute lyophilized antibody pellet with 25μL of ultrapure water or Phosphate Buffered Saline (PBS). Please refer to our reconstitution protocol and the specific application guidance on the suggested starting dilutions and sample type.

Legal Information

ZooMAb is a registered trademark of Merck KGaA, Darmstadt, Germany

Disclaimer

Unless otherwise stated in our catalog or other company documentation accompanying the product(s), our products are intended for research use only and are not to be used for any other purpose, which includes but is not limited to, unauthorized commercial uses, in vitro diagnostic uses, ex vivo or in vivo therapeutic uses or any type of consumption or application to humans or animals.

未找到合适的产品?  

试试我们的产品选型工具.

存储类别

13 - Non Combustible Solids

wgk

WGK 1

flash_point_f

Not applicable

flash_point_c

Not applicable

法规信息

常规特殊物品
此项目有

历史批次信息供参考:

分析证书(COA)

Lot/Batch Number

没有发现合适的版本?

如果您需要特殊版本,可通过批号或批次号查找具体证书。

已有该产品?

在文件库中查找您最近购买产品的文档。

访问文档库

我们的科学家团队拥有各种研究领域经验,包括生命科学、材料科学、化学合成、色谱、分析及许多其他领域.

联系客户支持