跳转至内容
Merck
CN

ZRB1586

Anti-Calmodulin Antibody, clone 1G3 ZooMAb® Rabbit Monoclonal

greener alternative

recombinant, expressed in HEK 293 cells

别名:

CaM;Calmodulin 1

登录 查看组织和合同定价。

选择尺寸

变更视图

关于此项目

NACRES:
NA.41
UNSPSC Code:
12352203
Conjugate:
unconjugated
Clone:
1G3, recombinant monoclonal
Application:
ICC, IHC (p), WB, affinity binding assay
Citations:
-
技术服务
需要帮助?我们经验丰富的科学家团队随时乐意为您服务。
让我们为您提供帮助


biological source

rabbit

Quality Level

recombinant

expressed in HEK 293 cells

conjugate

unconjugated

antibody form

purified antibody

antibody product type

primary antibodies

clone

1G3, recombinant monoclonal

description

recombinant, expressed in HEK 293 cells

product line

ZooMAb® learn more

form

lyophilized

mol wt

calculated mol wt 16.84 kDa, observed mol wt ~17 kDa

purified by

using Protein A

species reactivity

human, rat, mouse

species reactivity (predicted by homology)

canine, monkey, bovine

packaging

antibody small pack of 25 μL

greener alternative product characteristics

Waste Prevention
Designing Safer Chemicals
Design for Energy Efficiency
Learn more about the Principles of Green Chemistry.

enhanced validation

recombinant expression
Learn more about Antibody Enhanced Validation

sustainability

Greener Alternative Product

technique(s)

affinity binding assay: suitable, immunocytochemistry: suitable, immunohistochemistry (formalin-fixed, paraffin-embedded sections): suitable, western blot: suitable

isotype

IgG

epitope sequence

C-terminal

Protein ID accession no.

UniProt accession no.

greener alternative category

shipped in

ambient

storage temp.

2-8°C

target post-translational modification

unmodified

General description

Calmodulin (UniProt: P0DP23; also known as CaM, Calmodulin 1) is encoded by the CALM1 (also known as CALM, CAM, CAM1) gene (Gene ID: 801, 805, 808) in human. Calmodulin (CaM), a small 17 kDa ubiquitous Ca2+-binding protein that serves as a major physiological effector for a wide range of cellular responses. It acts as an intracellular Ca2+ receptor and transduces Ca2+ transients, usually in response to growth factors. It mediates the activity of a number of Ca2+ regulating enzymes, including protein kinases, phosphatases, nitric oxide synthases, and phosphodiesterase. CaM is a dumb-bell shaped molecule with two globular domains at the amino and carboxyl termini that are connected by a long central eight-turn -helix. CaM can bind four molecules of Ca2+ with high affinity. The Ca2+binding sites are arranged in pairs, with each pair located in a globular domain. In vertebrates, the Ca2+binding sites in the carboxy-terminal lobe are reported to have a slightly higher affinity for Ca2+ than the pair of Ca2+binding sites at the amino-terminal lobe. Upon binding of Ca2+, CaM undergoes a conformational change, exposing a hydrophobic region on the molecule, which is rich in methionine. This hydrophobic region is believed to be involved in the binding of CaM to protein receptor molecules. The high methionine content of two hydrophobic regions on the globular domains creates a flexible, yet sticky interaction surface. It allows CaM to interact with a variety of proteins, without placing high demands on the specificity of the interaction. Therefore, Ca2+/CaM can bind effectively to the CaM-binding domains of all its target proteins, in spite of their lack of amino acid sequence homology. CaM′s ability to recognize CaM-binding domains is further improved by the intrinsic flexibility of the central linker region, which allows the two domains of CaM to slide over the surface of the a-helical bound peptide to find the most favorable binding orientation. This ZooMAb® recombinant monoclonal antibody, generated by our propriety technology, offers significantly enhanced specificity, affinity, reproducibility, and stability over conventional monoclonals.
We are committed to bringing you greener alternative products, which adhere to one or more of The 12 Principles of Green Chemistry.This antibody is Preservative-free, produced without the harm or sacrifice of animals and exceptionally stable to allow for ambient shipping and storage if needed and thus aligns with "Waste Prevention", "Designing Safer Chemicals" and "Design for Energy Efficiency". Click here for more information.
ZooMAb® antibodies represent an entirely new generation of recombinant monoclonal antibodies.Each ZooMAb® antibody is manufactured using our proprietary recombinant expression system, purified to homogeneity, and precisely dispensed to produce robust and highly reproducible lot-to-lot consistency. Only top-performing clones are released for use by researchers. Each antibody is validated for high specificity and affinity across multiple applications, including its most commonly used application. ZooMAb® antibodies are reliably available and ready to ship when you need them.

Immunogen

KLH-conjugated linear peptide corresponding to 22 amino acids from the C-terminal region of human Calmodulin.

Application

Quality Control Testing

Evaluated by Western Blotting in RT4 cell lysate.

Western Blotting Analysis: A 1:10,000 dilution of this antibody detected Calmodulin in RT4 cell lysate.

Tested applications

Western Blotting Analysis: A 1:10,000 dilution from a representative lot detected Calmodulin in A431 cell lysate.

Affinity Binding Assay: A representative lot of this antibody bound Calmodulin peptide with a KD of 6.8 x 10-8 in an affinity binding assay.

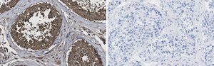
Immunohistochemistry (Paraffin) Analysis: A 1:1,000 dilution from a representative lot detected Calmodulin in human testis tissue sections.

Immunocytochemistry Analysis: A 1:1,000 dilution from a representative lot detected Calmodulin in A431 and NIH3T3 cells.

Note: Actual optimal working dilutions must be determined by end user as specimens, and experimental conditions may vary with the end user

Biochem/physiol Actions

Clone 1G3 is a Rabbit recombinant monoclonal antibody that specifically detects calmodulin. It targets an epitope within 22 amino acids from the C-terminal region.

Physical form

Purified recombinant rabbit monoclonal antibody IgG, lyophilized in PBS, 5% Trehalose, normal appearance a coarse or translucent resin. The PBS/trehalose components in the ZooMAb formulation can have the appearance of a semi-solid (bead like gel) after lyophilization. This is a normal phenomenon. Please follow the recommended reconstitution procedure in the data sheet to dissolve the semi-solid, bead-like, gel-appearing material. The resulting antibody solution is completely stable and functional as proven by full functional testing. Contains no biocide or preservatives, such as azide, or any animal by-products. Larger pack sizes provided as multiples of 25 μL.

Preparation Note

Recommend storage of lyophilized product at 2-8°C; Before reconstitution, micro-centrifuge vials briefly to spin down material to bottom of the vial; Reconstitute each vial by adding 25 μL of filtered lab grade water or PBS; Reconstituted antibodies can be stored at 2-8°C, or -20°C for long term storage. Avoid repeated freeze-thaws.
Reconstitute lyophilized antibody pellet with 25μL of ultrapure water or Phosphate Buffered Saline (PBS). Please refer to our reconstitution protocol and the specific application guidance on the suggested starting dilutions and sample type.

Legal Information

ZooMAb is a registered trademark of Merck KGaA, Darmstadt, Germany

Disclaimer

Unless otherwise stated in our catalog or other company documentation accompanying the product(s), our products are intended for research use only and are not to be used for any other purpose, which includes but is not limited to, unauthorized commercial uses, in vitro diagnostic uses, ex vivo or in vivo therapeutic uses or any type of consumption or application to humans or animals.


Still not finding the right product?

试用我们的 产品选型工具 工具缩小选择范围


存储类别

13 - Non Combustible Solids

wgk

WGK 1

flash_point_f

Not applicable

flash_point_c

Not applicable

法规信息

常规特殊物品

此项目有



历史批次信息供参考:

分析证书(COA)

Lot/Batch Number

没有发现合适的版本?

如果您需要特殊版本,可通过批号或批次号查找具体证书。

已有该产品?

在文件库中查找您最近购买产品的文档。

访问文档库



全球贸易项目编号

货号GTIN
ZRB1586-4X25UL04065267290621
ZRB1586-25UL04065267290614