跳转至内容
Merck
CN

ZRB1470

Anti-ULK2 Antibody, clone 3E19 ZooMAb® Rabbit Monoclonal

greener alternative

recombinant, expressed in HEK 293 cells

别名:

Serine/threonine-protein kinase ULK2;EC:2.7.11.1;Unc-51-like kinase 2

登录 查看组织和合同定价。

选择尺寸


关于此项目

NACRES:
NA.41
UNSPSC Code:
12352203
Conjugate:
unconjugated
Clone:
3E19, recombinant monoclonal
Application:
ICC, IHC (p), WB, affinity binding assay
Citations:
-
技术服务
需要帮助?我们经验丰富的科学家团队随时乐意为您服务。
让我们为您提供帮助
技术服务
需要帮助?我们经验丰富的科学家团队随时乐意为您服务。
让我们为您提供帮助

biological source

rabbit

recombinant

expressed in HEK 293 cells

conjugate

unconjugated

antibody form

purified antibody

antibody product type

primary antibodies

clone

3E19, recombinant monoclonal

description

recombinant, expressed in HEK 293 cells

product line

ZooMAb® learn more

form

lyophilized

mol wt

calculated mol wt 112.69 kDa, observed mol wt ~112 kDa

purified by

using Protein A

species reactivity

human

species reactivity (predicted by homology)

monkey

packaging

antibody small pack of 25 μL

greener alternative product characteristics

Waste Prevention
Designing Safer Chemicals
Design for Energy Efficiency
Learn more about the Principles of Green Chemistry.

enhanced validation

recombinant expression
Learn more about Antibody Enhanced Validation

sustainability

Greener Alternative Product

technique(s)

affinity binding assay: suitable, immunocytochemistry: suitable, immunohistochemistry (formalin-fixed, paraffin-embedded sections): suitable, western blot: suitable

isotype

IgG

epitope sequence

Internal

Protein ID accession no.

UniProt accession no.

greener alternative category

shipped in

ambient

storage temp.

2-8°C

target post-translational modification

unmodified

Quality Level

General description

Serine/threonine-protein kinase ULK2 (UniProt: Q8IYT8; also known as EC:2.7.11.1, Unc-51-like kinase 2) is encoded by the ULK2 (also known as KIAA0623) gene (Gene ID: 9706) in human. ULK2 is a peripheral membrane protein that localizes to pre-autophagosomal membrane. ULK2 is a serine/threonine kinase that is ubiquitously expressed and is involved in autophagy in response to starvation in mammalian cells. Its protein kinase domain is localized in amino acids 9-271. Its C-terminal domain (aa 812-1036) mediates its membrane-binding and incorporation into large protein complexes. It acts upstream of PI3-kinase (PIK3C3) to regulate the formation of autophagophores. It acts both as a downstream effector and a negative regulator of mTORC1 via interaction with Raptor. It is activated via phosphorylation by AMPK and also acts as a negative regulator of AMPK through phosphorylation of the AMPK subunits PRKAA1, PRKAB2 and PRKAG1. Despite its similarity with ULK1 in its enzymatic domain, there are major differences in their autophagy-related interactors and their post-translational and transcriptional regulators. It has been shown that following amino acid starvation, in contrast to ULK1, binding of ULK2 to membranes is increased. Although ULK2 does not have any recognizable short, basic, classic import or export sequences, it contains PY-NLS sequences that contribute to its nuclear localization. ULK2 can also undergo phosphorylation on serine 507 and 750 that promote its nuclear localization and autophagy activity. In case of activation of SGK1 by insulin, ULK2 autophagy is inhibited through serine 507 and 750 phosphorylation. This ZooMAb® recombinant monoclonal antibody, generated by our propriety technology, offers significantly enhanced specificity, affinity, reproducibility, and stability over conventional monoclonals. (Ref.: Demeter, A., et al. (2020). Sci. Rep.10; Article 10940; Shin, SH., et al. (2020). Am. J. Mol. Biol. 10(1); 12-28).
We are committed to bringing you greener alternative products, which adhere to one or more of The 12 Principles of Green Chemistry.This antibody is Preservative-free, produced without the harm or sacrifice of animals and exceptionally stable to allow for ambient shipping and storage if needed and thus aligns with "Waste Prevention", "Designing Safer Chemicals" and "Design for Energy Efficiency". Click here for more information.
ZooMAb® antibodies represent an entirely new generation of recombinant monoclonal antibodies.Each ZooMAb® antibody is manufactured using our proprietary recombinant expression system, purified to homogeneity, and precisely dispensed to produce robust and highly reproducible lot-to-lot consistency. Only top-performing clones are released for use by researchers. Each antibody is validated for high specificity and affinity across multiple applications, including its most commonly used application. ZooMAb® antibodies are reliably available and ready to ship when you need them.

Immunogen

KLH-conjugated linear peptide corresponding to 18 amino acids from the Internal region of human ULK2.

Application

Quality Control Testing

Evaluated by Western Blotting in L6 cell lysate.

Western Blotting Analysis: A 1:1,000 dilution of this antibody detected ULK2 in L6 cell lysate.

Tested applications

Western Blotting Analysis: A 1:1,000 dilution from a representative lot detected ULK2 in lysates from human kidney tissue and SH-SY5Y cells.

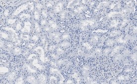
Immunohistochemistry (Paraffin) Analysis: A 1:100 dilution from a representative lot detected ULK2 in human kidney tissue sections.

Immunocytochemistry Analysis: A 1:100 dilution from a representative lot detected ULK2 in A431, HeLa, and HepG2 cells.

Affinity Binding Assay: A representative lot of this antibody bound ULK2 with a KD of 1.6 x 10-8 in an affinity binding assay.

Note: Actual optimal working dilutions must be determined by end user as specimens, and experimental conditions may vary with the end user

Biochem/physiol Actions

Clone 3E19 is a Rabbit recombinant monoclonal antibody that specifically detects ULK2. It targets an epitope within 18 amino acids from the internal region.

Physical form

Purified recombinant rabbit monoclonal antibody IgG, lyophilized in PBS, 5% Trehalose, normal appearance a coarse or translucent resin. The PBS/trehalose components in the ZooMAb formulation can have the appearance of a semi-solid (bead like gel) after lyophilization. This is a normal phenomenon. Please follow the recommended reconstitution procedure in the data sheet to dissolve the semi-solid, bead-like, gel-appearing material. The resulting antibody solution is completely stable and functional as proven by full functional testing. Contains no biocide or preservatives, such as azide, or any animal by-products. Larger pack sizes provided as multiples of 25 μL.

Preparation Note

Reconstitute lyophilized antibody pellet with 25μL of ultrapure water or Phosphate Buffered Saline (PBS). Please refer to our reconstitution protocol and the specific application guidance on the suggested starting dilutions and sample type.
Recommend storage of lyophilized product at 2-8°C; Before reconstitution, micro-centrifuge vials briefly to spin down material to bottom of the vial; Reconstitute each vial by adding 25 μL of filtered lab grade water or PBS; Reconstituted antibodies can be stored at 2-8°C, or -20°C for long term storage. Avoid repeated freeze-thaws.

Legal Information

ZooMAb is a registered trademark of Merck KGaA, Darmstadt, Germany

Disclaimer

Unless otherwise stated in our catalog or other company documentation accompanying the product(s), our products are intended for research use only and are not to be used for any other purpose, which includes but is not limited to, unauthorized commercial uses, in vitro diagnostic uses, ex vivo or in vivo therapeutic uses or any type of consumption or application to humans or animals.

未找到合适的产品?  

试试我们的产品选型工具.

存储类别

13 - Non Combustible Solids

wgk

WGK 1

flash_point_f

Not applicable

flash_point_c

Not applicable

法规信息

常规特殊物品
此项目有

历史批次信息供参考:

分析证书(COA)

Lot/Batch Number

没有发现合适的版本?

如果您需要特殊版本,可通过批号或批次号查找具体证书。

已有该产品?

在文件库中查找您最近购买产品的文档。

访问文档库

我们的科学家团队拥有各种研究领域经验,包括生命科学、材料科学、化学合成、色谱、分析及许多其他领域.

联系客户支持