登录 查看组织和合同定价。
选择尺寸
变更视图
关于此项目
NACRES:
NA.41
UNSPSC Code:
12352203
Technique(s):
immunohistochemistry: suitable, affinity binding assay: suitable, immunofluorescence: suitable, western blot: suitable
Conjugate:
unconjugated
Application:
IF, IHC, WB, affinity binding assay
Citations:
-
biological source
rabbit (recombinant)
Quality Level
recombinant
expressed in HEK 293 cells
conjugate
unconjugated
antibody form
purified antibody
antibody product type
primary antibodies
clone
1J4, monoclonal, recombinant monoclonal
product line
ZooMAb® learn more
form
lyophilized
mol wt
calculated mol wt 61.68 kDa, observed mol wt ~90 kDa
species reactivity
human
species reactivity (predicted by homology)
monkey
packaging
antibody small pack of 25 μL
greener alternative product characteristics
Waste Prevention
Designing Safer Chemicals
Design for Energy Efficiency
Learn more about the Principles of Green Chemistry.
enhanced validation
recombinant expression
Learn more about Antibody Enhanced Validation
sustainability
Greener Alternative Product
technique(s)
immunohistochemistry: suitable, affinity binding assay: suitable, immunofluorescence: suitable, western blot: suitable
isotype
IgG
UniProt accession no.
greener alternative category
shipped in
ambient
storage temp.
2-8°C
target post-translational modification
unmodified
Gene Information
human ... GPC1(2817)
rhesus monkey ... Gpc1(698326)
General description
Glypican-1 (UniProt: P35052; also known as GPC1) is encoded y the GPC1 gene (Gene ID: 2817) in human. Glypican-1 is a cell-surface glycoprotein that attaches to the plasma membrane via via glycosylphosphatidylinositol (GPI) anchors. It is synthesized with a signal peptide (aa 1-23) and a propeptide (aa 531-538) that are subsequently cleaved off to produce mature protein. Glypican-1 undergoes N- and O-glycosylations. N-glycosylation is mainly of the complex type containing sialic acid whereas O-glycosylation is with heparan sulfate Heparan sulfate chains are cleaved either by heparinase or are degraded by deaminative process that uses nitric oxide released from the S-nitrosylated cysteines. Glypican-1 is shown to be essential for proper skeletal muscle differentiation. It can act as a catalyst in increasing the rate of conversion of prion protein PRPN(C) to PRNP(Sc) via associating with both forms of PRPN, targeting them to lipid rafts and facilitating their interaction. It can also sequester FGF2 in lipid rafts and blocks its binding to FGF receptors. Glypican-1 is specifically enriched on cancer-cell-derived exosomes and levels of glypican-1 positive exosomes correlate with tumor burden and the survival of pre- and post-surgical patients. It is also over-expressed in human gliomas and in pancreatic cancer cells. This ZooMAb recombinant monoclonal antibody, generated by our propriety technology, offers significantly enhanced specificity, affinity, reproducibility, and stability over conventional monoclonals. (Ref.: Melo, SA et al. 2015. Nature. 523(7559):177-82; Kleeff, J., et al. 1998. J. Clin. Invest. 102(9), 1662-1673).
We are committed to bringing you greener alternative products, which adhere to one or more of The 12 Principles of Green Chemistry.This antibody is Preservative-free, produced without the harm or sacrifice of animals and exceptionally stable to allow for ambient shipping and storage if needed and thus aligns with "Waste Prevention", "Designing Safer Chemicals" and "Design for Energy Efficiency". Click here for more information.
ZooMAb antibodies represent an entirely new generation of recombinant monoclonal antibodies.
Each ZooMAb antibody is manufactured using our proprietary recombinant expression system, purified to homogeneity, and precisely dispensed to produce robust and highly reproducible lot-to-lot consistency. Only top-performing clones are released for use by researchers. Each antibody is validated for high specificity and affinity across multiple applications, including its most commonly used application. ZooMAb antibodies are reliably available and ready to ship when you need them.
Learn more about ZooMAb here.
Each ZooMAb antibody is manufactured using our proprietary recombinant expression system, purified to homogeneity, and precisely dispensed to produce robust and highly reproducible lot-to-lot consistency. Only top-performing clones are released for use by researchers. Each antibody is validated for high specificity and affinity across multiple applications, including its most commonly used application. ZooMAb antibodies are reliably available and ready to ship when you need them.
Learn more about ZooMAb here.
Immunogen
KLH-conjugated liner peptide corresponding to 24 amino acids from the C-terminal half of human Glypican-1, isoform 1.
Application
Anti-Glypican-1, clone 1J4 ZooMAb, Cat. No. ZRB1374, a recombinant Rabbit monoclonal antibody that targets Glypican-1 and is tested in Affinity Binding, Immunofluorescence, and Immunohistochemistry, and Western Blotting.
Western Blotting Analysis: A 1:10,000 dilution from a representative lot detected Glypican-1 in MDA-MB-231 cell lysate.
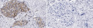
Immunohistochemistry (Paraffin) Analysis: A 1:1,000 dilution from a representative lot detected Glypican-1 in human pancreatic cancer tissue sections.
Immunofluorescence Analysis: A 1:1,000 dilution from a representative lot detected Glypican-1 in human pancreatic cancer tissue sections.
Affinity Binding Assay: A representative lot of this antibody bound Glypican-1 peptide with a KD of 4.3 x 10-7 in an affinity binding assay.
Note: Actual optimal working dilutions must be determined by end user as specimens, and experimental conditions may vary with the end user.
Immunohistochemistry (Paraffin) Analysis: A 1:1,000 dilution from a representative lot detected Glypican-1 in human pancreatic cancer tissue sections.
Immunofluorescence Analysis: A 1:1,000 dilution from a representative lot detected Glypican-1 in human pancreatic cancer tissue sections.
Affinity Binding Assay: A representative lot of this antibody bound Glypican-1 peptide with a KD of 4.3 x 10-7 in an affinity binding assay.
Note: Actual optimal working dilutions must be determined by end user as specimens, and experimental conditions may vary with the end user.
Biochem/physiol Actions
Clone 1J4 is a ZooMAb rabbit recombinant monoclonal antibody that specifically detects Glypican-1. It targets an epitope within 24 amino acids from the C-terminal half.
Physical form
Purified recombinant rabbit monoclonal antibody IgG, lyophilized in PBS with 5% Trehalose, normal appearance a coarse or translucent resin. Contains no biocide or preservatives, such as azide, or any animal by-products. Larger pack sizes provided as multiples of 25 μL.
Preparation Note
Recommend storage of lyophilized product at 2-8°C; Before reconstitution, micro-centrifuge vials briefly to spin down material to bottom of the vial; Reconstitute each vial by adding 25 μL of filtered lab grade water or PBS; Reconstituted antibodies can be stored at 2-8°C, or -20°C for long term storage. Avoid repeated freeze-thaws.
Reconstitute lyophilized antibody pellet with 25μL of ultrapure water or Phosphate Buffered Saline (PBS). Please refer to our reconstitution protocol and the specific application guidance on the suggested starting dilutions and sample type.
Legal Information
ZooMAb is a registered trademark of Merck KGaA, Darmstadt, Germany
Disclaimer
Unless otherwise stated in our catalog or other company documentation accompanying the product(s), our products are intended for research use only and are not to be used for any other purpose, which includes but is not limited to, unauthorized commercial uses, in vitro diagnostic uses, ex vivo or in vivo therapeutic uses or any type of consumption or application to humans or animals.
Still not finding the right product?
试用我们的 产品选型工具 工具缩小选择范围
存储类别
11 - Combustible Solids
wgk
WGK 2
法规信息
常规特殊物品
此项目有