跳转至内容
Merck
CN

ZRB1046

Anti-MOSPD2 Antibody, clone 3C20 ZooMAb® Rabbit Monoclonal

greener alternative

recombinant, expressed in HEK 293 cells

登录 查看组织和合同定价。

选择尺寸


关于此项目

NACRES:
NA.43
UNSPSC Code:
12352203
Conjugate:
unconjugated
Clone:
3C20, recombinant monoclonal, monoclonal
Application:
ICC, IHC (p), WB, affinity binding assay
Citations:
-
技术服务
需要帮助?我们经验丰富的科学家团队随时乐意为您服务。
让我们为您提供帮助
技术服务
需要帮助?我们经验丰富的科学家团队随时乐意为您服务。
让我们为您提供帮助

biological source

rabbit

recombinant

expressed in HEK 293 cells

conjugate

unconjugated

antibody form

purified antibody

antibody product type

primary antibodies

clone

3C20, recombinant monoclonal, monoclonal

product line

ZooMAb® learn more

form

lyophilized

mol wt

calculated mol wt ~59.75 kDa, observed mol wt ~58 kDa

species reactivity

mouse, human

species reactivity (predicted by homology)

monkey

packaging

antibody small pack of 25 μL

greener alternative product characteristics

Waste Prevention
Designing Safer Chemicals
Design for Energy Efficiency
Learn more about the Principles of Green Chemistry.

enhanced validation

recombinant expression
Learn more about Antibody Enhanced Validation

sustainability

Greener Alternative Product

technique(s)

affinity binding assay: suitable, immunocytochemistry: suitable, immunohistochemistry (formalin-fixed, paraffin-embedded sections): suitable, western blot: suitable

isotype

IgG

UniProt accession no.

greener alternative category

shipped in

ambient

storage temp.

2-8°C

target post-translational modification

unmodified

Quality Level

General description

Motile sperm domain-containing protein 2 (UniProt: Q8NHP6; also known as MOSPD2) is encoded by the MOSPD2 gene (Gene ID: 158747) in human. MOSPD2 is as single-pass membrane protein that promotes migration of primary monocytes and neutrophils, in response to various chemokines. Its transmembrane domain resides in amino acids 497-517. It is highly expressed in plasma membrane of CD14+ monocytes, and at lower levels in neutrophils. It does not display any significant expression in B-cells or T-cells. MOSPD2 expression is reported to be highly elevated in invasive and metastatic breast cancer while it is absent or residual in normal tissue and in primary in situ tumors. It is shown to play a key role in the migration and metastasis of breast cancer cells. Silencing of gene expression in different breast cancer cell lines significantly inhibits migration and invasion and downstream EGFR signaling cascades an MDA‐231 cells with silenced MOSPD2 display impaired ability to spread to the lungs. This ZooMAb® recombinant monoclonal antibody, generated by our propriety technology, offers significantly enhanced specificity, affinity, reproducibility, and stability over conventional monoclonals. (Ref.: Mendel, I., et al. (2017). J. Immunol. 198(5); 2125-2132; Salem, Y., et al. (2019). Int. J. Cancer. 144(1);125-135).
We are committed to bringing you greener alternative products, which adhere to one or more of The 12 Principles of Green Chemistry.This antibody is Preservative-free, produced without the harm or sacrifice of animals and exceptionally stable to allow for ambient shipping and storage if needed and thus aligns with "Waste Prevention", "Designing Safer Chemicals" and "Design for Energy Efficiency". Click here for more information.
ZooMAb antibodies represent an entirely new generation of recombinant monoclonal antibodies.

Each ZooMAb antibody is manufactured using our proprietary recombinant expression system, purified to homogeneity, and precisely dispensed to produce robust and highly reproducible lot-to-lot consistency. Only top-performing clones are released for use by researchers. Each antibody is validated for high specificity and affinity across multiple applications, including its most commonly used application. ZooMAb antibodies are reliably available and ready to ship when you need them.

Immunogen

KLH-conjugated linear peptide corresponding to 24 amino acids from the N-terminal region of human Motile sperm domain-containing protein 2 (MOSPD2).

Application

Quality Control Testing

Evaluated by Western Blotting in PC3 cell lysate.

Western Blotting Analysis: A 1:1,000 dilution of this antibody detected MOSPD2 in PC3 cell lysate.

Tested Applications

Western Blotting Analysis: A 1:1,000 dilution from a representative lot detected MOSPD2 in RAW264.7 cell lysate.

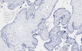
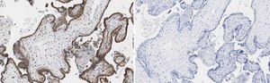
Immunohistochemistry (Paraffin) Analysis: A 1:1,000 dilution from a representative lot detected MOSPD2 in human placenta tissue sections.

Affinity Binding Assay: A representative lot of this antibody bound MOSPD2 peptides with a KD of 2.9 x 10-8 in an affinity binding assay.

Immunocytochemistry Analysis: A 1:100 dilution from a representative lot detected MOSPD2 in PC3 cells.

Note: Actual optimal working dilutions must be determined by end user as specimens, and experimental conditions may vary with the end user
Anti-MOSPD2, clone 3C20 ZooMAb®, Cat. No. ZRB1046, is a recombinant Rabbit monoclonal antibody that specifically targets MOSPD2 and is tested for use in Affinity Binding Assay, Immunocytochemistry, Immunohistochemistry (Paraffin), and Western Blotting.

Biochem/physiol Actions

Clone 3C20 is a ZooMAb® rabbit recombinant monoclonal antibody that specifically detects Motile sperm domain-containing protein-2 (MOSPD2). It targets an epitope within 24 amino acids from the N-terminal region.

Physical form

Purified recombinant mouse monoclonal antibody IgG, lyophilized in PBS, 5% Trehalose, normal appearance a coarse or translucent resin. Contains no biocide or preservatives, such as azide, or any animal by-products. Larger pack sizes provided as multiples of 25 μL.

Preparation Note

Recommend storage of lyophilized product at 2-8°C; Before reconstitution, micro-centrifuge vials briefly to spin down material to bottom of the vial; Reconstitute each vial by adding 25 μL of filtered lab grade water or PBS; Reconstituted antibodies can be stored at 2-8°C, or -20°C for long term storage. Avoid repeated freeze-thaws.
Reconstitute lyophilized antibody pellet with 25μL of ultrapure water or Phosphate Buffered Saline (PBS). Please refer to our reconstitution protocol and the specific application guidance on the suggested starting dilutions and sample type.

Legal Information

ZooMAb is a registered trademark of Merck KGaA, Darmstadt, Germany

Disclaimer

Unless otherwise stated in our catalog or other company documentation accompanying the product(s), our products are intended for research use only and are not to be used for any other purpose, which includes but is not limited to, unauthorized commercial uses, in vitro diagnostic uses, ex vivo or in vivo therapeutic uses or any type of consumption or application to humans or animals.

未找到合适的产品?  

试试我们的产品选型工具.

存储类别

11 - Combustible Solids

wgk

WGK 1

flash_point_f

Not applicable

flash_point_c

Not applicable

法规信息

常规特殊物品
常规特殊物品
此项目有

历史批次信息供参考:

分析证书(COA)

Lot/Batch Number

没有发现合适的版本?

如果您需要特殊版本,可通过批号或批次号查找具体证书。

已有该产品?

在文件库中查找您最近购买产品的文档。

访问文档库

我们的科学家团队拥有各种研究领域经验,包括生命科学、材料科学、化学合成、色谱、分析及许多其他领域.

联系客户支持