跳转至内容
Merck
CN

ZMS1059

Anti-Laminin-5 γ2 Antibody, clone D4B5 ZooMAb® Mouse Monoclonal

greener alternative

recombinant, expressed in HEK 293 cells

登录 查看组织和合同定价。

选择尺寸


关于此项目

NACRES:
NA.43
UNSPSC Code:
12352203
Conjugate:
unconjugated
Clone:
D4B5, recombinant monoclonal
Application:
ELISA, ICC, IHC (p), WB
Citations:
-
技术服务
需要帮助?我们经验丰富的科学家团队随时乐意为您服务。
让我们为您提供帮助
技术服务
需要帮助?我们经验丰富的科学家团队随时乐意为您服务。
让我们为您提供帮助

biological source

mouse

recombinant

expressed in HEK 293 cells

conjugate

unconjugated

antibody form

purified antibody

antibody product type

primary antibodies

clone

D4B5, recombinant monoclonal

product line

ZooMAb® learn more

form

lyophilized

mol wt

calculated mol wt 130.98 kDa, observed mol wt ~130 kDa

purified by

using protein G

species reactivity

human

packaging

antibody small pack of 25 μL

greener alternative product characteristics

Waste Prevention
Designing Safer Chemicals
Design for Energy Efficiency
Learn more about the Principles of Green Chemistry.

enhanced validation

recombinant expression
Learn more about Antibody Enhanced Validation

sustainability

Greener Alternative Product

technique(s)

ELISA: suitable, immunocytochemistry: suitable, immunohistochemistry (formalin-fixed, paraffin-embedded sections): suitable, western blot: suitable

isotype

IgG1

epitope sequence

Internal

Protein ID accession no.

UniProt accession no.

greener alternative category

shipped in

ambient

storage temp.

2-8°C

target post-translational modification

unmodified

Quality Level

General description

Laminin subunit gamma-2 (UniProt: Q13753; also known as Cell-scattering factor 140 kDa subunit, CSF 140 kDa subunit, Epiligrin subunit gamma, Kalinin subunit gamma, Kalinin/nicein/epiligrin 100 kDa subunit, Ladsin 140 kDa subunit, Laminin B2t chain, Laminin-5 subunit gamma, Large adhesive scatter factor 140 kDa subunit, Nicein subunit gamma) is encoded by the LAMC2 (also known as LAMB2T, LAMNB2) gene (Gene ID: 3918) in human. Laminin is a major basement membrane glycoprotein consisting of a, b, g chains that are bound to each other by disulfide bonds. Over 15 different isoforms have been reported in the laminin family that are expressed in a tissue-specific manner and play different role in each tissue. g2, a subunit of Laminin-5 (also known as Laminin-332) is synthesized with a signal peptide (aa 1-21), which is subsequently cleaved off to generate the mature form. It is reported to be frequently over-expressed as a monomer or as the b3- g2 heterodimer in invasive cancers and is regarded as an invasion marker. It has 8 EGF-like domains. The cell adhesion and motility activities of Laminin-5 are reported to be regulated by the proteolytic cleavage of the short arm of Laminin g2 chain by BMP-1 or MT1-MMP. This cleavage releases a 45 kDa N-terminal proteolytic fragment (g2pf). The short arm and g2 pf can be further cleaved by serine proteases and by matrix metalloproteinases resulting in the release of small N-terminal fragments. g2pf‐like fragments have been reported to be present in conditioned media of cultured cancer cells and in sera from human cancer subjects. Laminin 5 synthesis in shown to be enhanced by inflammatory cytokines and growth factors that help in wound repair. This ZooMAb® recombinant monoclonal antibody, generated by our propriety technology, offers significantly enhanced specificity, affinity, reproducibility, and stability over conventional monoclonals. (Ref.: Miyazaki, K., et al. (2016). Cancer Sci. 107(12); 1909-1918; Sato, H., et al. (2014). Cancer Sci. 105(2); 168-175; Amano S., et al. (2004). Br. J. Dermatol. 151(5); 961-970).
We are committed to bringing you greener alternative products, which adhere to one or more of The 12 Principles of Green Chemistry.This antibody is Preservative-free, produced without the harm or sacrifice of animals and exceptionally stable to allow for ambient shipping and storage if needed and thus aligns with "Waste Prevention", "Designing Safer Chemicals" and "Design for Energy Efficiency". Click here for more information.
ZooMAb® antibodies represent an entirely new generation of recombinant monoclonal antibodies.Each ZooMAb® antibody is manufactured using our proprietary recombinant expression system, purified to homogeneity, and precisely dispensed to produce robust and highly reproducible lot-to-lot consistency. Only top-performing clones are released for use by researchers. Each antibody is validated for high specificity and affinity across multiple applications, including its most commonly used application. ZooMAb® antibodies are reliably available and ready to ship when you need them.

Immunogen

GST-tagged recombinant fragment corresponding to 227 amino acids from the internal region of human.

Application

Quality Control Testing

Evaluated by Western Blotting with recombinant Laminin 5 g2.

Western Blotting Analysis: A 1:10,000 dilution of this antibody detected human recombinant Laminin 5 g2.

Tested applications

Immunocytochemistry Analysis: A 1:100 dilution from a representative lot detected Laminin-5 gamma2 in A431 Cell line.

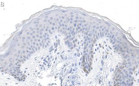
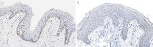
Immunohistochemistry (Paraffin) Analysis: A 1:100 dilution from a representative lot detected Laminin-5 gamma2 in human skin tissue sections.

ELISA Analysis: 300 μg/mL from a representative lot detected Laminin-5 gamma2 in Laminin-5 with control GST.

Note: Actual optimal working dilutions must be determined by end user as specimens, and experimental conditions may vary with the end user
Anti-Laminin-5 g2, clone D4B5 ZooMAb®, Cat. No. ZMS1059, is a recombinant Mouse monoclonal antibody that detects Laminin-5 (g2 chain) and is tested for use in ELISA, Immunocytochemistry, Immunohistochemistry (Paraffin), and Western Blotting.

Biochem/physiol Actions

Clone D4B5 is a ZooMAb® Mouse recombinant monoclonal antibody that specifically detects Laminin-5 g2. It targets an epitope within the internal region and detects both isoforms.

Physical form

Purified recombinant mouse monoclonal antibody IgG, lyophilized in PBS with 5% Trehalose, normal appearance a coarse or translucent resin. The PBS/trehalose components in the ZooMAb® formulation can have the appearance of a semi-solid (bead like gel) after lyophilization. This is a normal phenomenon. Please follow the recommended reconstitution procedure in the data sheet to dissolve the semi-solid, bead-like, gel-appearing material. The resulting antibody solution is completely stable and functional as proven by full functional testing. Contains no biocide or preservatives, such as azide, or any animal by-products. Larger pack sizes provided as multiples of 25 μL.

Preparation Note

Recommend storage of lyophilized product at 2-8°C; Before reconstitution, micro-centrifuge vials briefly to spin down material to bottom of the vial; Reconstitute each vial by adding 25 μL of filtered lab grade water or PBS; Reconstituted antibodies can be stored at 2-8°C, or -20°C for long term storage. Avoid repeated freeze-thaws.
Reconstitute lyophilized antibody pellet with 25μL of ultrapure water or Phosphate Buffered Saline (PBS). Please refer to our reconstitution protocol and the specific application guidance on the suggested starting dilutions and sample type.

Legal Information

ZooMAb is a registered trademark of Merck KGaA, Darmstadt, Germany

Disclaimer

Unless otherwise stated in our catalog or other company documentation accompanying the product(s), our products are intended for research use only and are not to be used for any other purpose, which includes but is not limited to, unauthorized commercial uses, in vitro diagnostic uses, ex vivo or in vivo therapeutic uses or any type of consumption or application to humans or animals.

未找到合适的产品?  

试试我们的产品选型工具.

存储类别

11 - Combustible Solids

wgk

WGK 1

flash_point_f

Not applicable

flash_point_c

Not applicable

法规信息

常规特殊物品
此项目有

历史批次信息供参考:

分析证书(COA)

Lot/Batch Number

没有发现合适的版本?

如果您需要特殊版本,可通过批号或批次号查找具体证书。

已有该产品?

在文件库中查找您最近购买产品的文档。

访问文档库

我们的科学家团队拥有各种研究领域经验,包括生命科学、材料科学、化学合成、色谱、分析及许多其他领域.

联系客户支持