跳转至内容
Merck
CN

SAB6012499

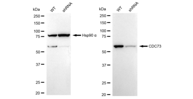
KD-Validated Anti CDC73 Antibody, clone 23GB3450, Rabbit Monoclonal

greener alternative

clone 23GB3450, recombinant rabbit monoclonal, expressed in HEK293 cells

别名:

C1ORF28, FIHP, HPTJT, HRPT2, HYX

登录 查看组织和合同定价。

选择尺寸


关于此项目

UNSPSC Code:
12352203
Conjugate:
unconjugated
Clone:
23GB3450, recombinant monoclonal
Application:
FACS, IF, WB
Citations:
-
技术服务
需要帮助?我们经验丰富的科学家团队随时乐意为您服务。
让我们为您提供帮助
技术服务
需要帮助?我们经验丰富的科学家团队随时乐意为您服务。
让我们为您提供帮助

biological source

rabbit (Monoclonal)

recombinant

expressed in HEK 293 cells

conjugate

unconjugated

antibody form

affinity isolated antibody

antibody product type

primary antibodies

clone

23GB3450, recombinant monoclonal

form

buffered aqueous glycerol solution

mol wt

61 kDa

species reactivity

human, rat

packaging

vial of 1.5 mL

enhanced validation

recombinant expression
Learn more about Antibody Enhanced Validation

Quality Level

Gene Information

human ... CDC73(79577)

sustainability

Greener Alternative Product

concentration

0.8 mg/ml

technique(s)

flow cytometry: 1:2000, immunofluorescence: 1:100-:1000, western blot: 1:1,000-1:5,000

isotype

IgG

Ensembl | human accession no.

NCBI accession no.

UniProt accession no.

greener alternative category

shipped in

wet ice

storage temp.

−20°C

target post-translational modification

unmodified

General description

This gene encodes a tumor suppressor that is involved in transcriptional and post-transcriptional control pathways. The protein is a component of the the PAF protein complex, which associates with the RNA polymerase II subunit POLR2A and with a histone methyltransferase complex. This protein appears to facilitate the association of 3′ mRNA processing factors with actively-transcribed chromatin. Mutations in this gene have been linked to hyperparathyroidism-jaw tumor syndrome, familial isolated hyperparathyroidism, and parathyroid carcinoma. [provided by RefSeq, Jul 2009]
We are committed to bringing you Greener Alternative Products. This product is a Design for Sustainability (DfS) developed product, which belongs to one of the four categories of greener alternatives. Click here to view its DfS scorecard.

Immunogen

A synthesized peptide corresponding to a sequence within amino acids 350-400 of human HRPT2 / CDC73 [NP_078805.3].

Physical form

Solution in PBS (pH 7.4) containing 50% glycerol, and 0.02% sodium azide.

Other Notes

Gently mix before use. Optimal concentrations and conditions for each application should be determined by the user.

未找到合适的产品?  

试试我们的产品选型工具.

存储类别

10 - Combustible liquids

flash_point_f

572.0 °F

flash_point_c

300 °C

法规信息

新产品
此项目有

历史批次信息供参考:

分析证书(COA)

Lot/Batch Number

It looks like we've run into a problem, but you can still download Certificates of Analysis from our 文件 section.

如需帮助,请联系 客户支持

已有该产品?

在文件库中查找您最近购买产品的文档。

访问文档库

相关内容

我们的科学家团队拥有各种研究领域经验,包括生命科学、材料科学、化学合成、色谱、分析及许多其他领域.

联系客户支持