跳转至内容
Merck
CN

SAB6012456

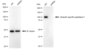
KD-Validated Anti Ubiquitin Specific Peptidase 5 Antibody, clone 24GB2480, Rabbit Monoclonal

greener alternative

clone 24GB2480, recombinant rabbit monoclonal, expressed in HEK293 cells

别名:

IsoT

登录 查看组织和合同定价。

选择尺寸


关于此项目

UNSPSC Code:
12352203
Conjugate:
unconjugated
Clone:
24GB2480, recombinant monoclonal
Application:
FACS, IF, WB
Citations:
-
技术服务
需要帮助?我们经验丰富的科学家团队随时乐意为您服务。
让我们为您提供帮助
技术服务
需要帮助?我们经验丰富的科学家团队随时乐意为您服务。
让我们为您提供帮助

biological source

rabbit (Monoclonal)

recombinant

expressed in HEK 293 cells

conjugate

unconjugated

antibody form

affinity isolated antibody

antibody product type

primary antibodies

clone

24GB2480, recombinant monoclonal

form

buffered aqueous glycerol solution

mol wt

96 kDa

species reactivity

rat, human

packaging

vial of 1.5 mL

enhanced validation

recombinant expression
Learn more about Antibody Enhanced Validation

Quality Level

Gene Information

human ... USP5(8078)

sustainability

Greener Alternative Product

concentration

1 mg/ml

technique(s)

flow cytometry: 1:2000, immunofluorescence: 1:100-:1000, western blot: 1:1,000-1:5,000

isotype

IgG

Ensembl | human accession no.

NCBI accession no.

UniProt accession no.

greener alternative category

shipped in

wet ice

storage temp.

−20°C

target post-translational modification

unmodified

General description

Ubiquitin (see MIM 191339)-dependent proteolysis is a complex pathway of protein metabolism implicated in such diverse cellular functions as maintenance of chromatin structure, receptor function, and degradation of abnormal proteins. A late step of the process involves disassembly of the polyubiquitin chains on degraded proteins into ubiquitin monomers. USP5 disassembles branched polyubiquitin chains by a sequential exo mechanism, starting at the proximal end of the chain (Wilkinson et al., 1995 [PubMed 7578059]).[supplied by OMIM, Mar 2010]
We are committed to bringing you Greener Alternative Products. This product is a Design for Sustainability (DfS) developed product, which belongs to one of the four categories of greener alternatives. Click here to view its DfS scorecard.

Immunogen

A synthesized peptide corresponding to a sequence within amino acids 770-835 of human USP5 [NP_001092006.1].

Physical form

Solution in PBS (pH 7.4) containing 50% glycerol, and 0.02% sodium azide.

Other Notes

Gently mix before use. Optimal concentrations and conditions for each application should be determined by the user.

未找到合适的产品?  

试试我们的产品选型工具.

存储类别

10 - Combustible liquids

flash_point_f

572.0 °F

flash_point_c

300 °C

法规信息

新产品
此项目有

历史批次信息供参考:

分析证书(COA)

Lot/Batch Number

It looks like we've run into a problem, but you can still download Certificates of Analysis from our 文件 section.

如需帮助,请联系 客户支持

已有该产品?

在文件库中查找您最近购买产品的文档。

访问文档库

相关内容

我们的科学家团队拥有各种研究领域经验,包括生命科学、材料科学、化学合成、色谱、分析及许多其他领域.

联系客户支持