跳转至内容
Merck
CN

SAB5702529

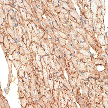
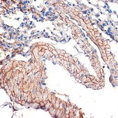
Anti-Caveolin-3 Antibody, clone 4G5W2, Rabbit Monoclonal

别名:

LGMD1C, LQT9, VIP-21, VIP21

登录 查看组织和合同定价。

选择尺寸


关于此项目

NACRES:
NA.46
UNSPSC Code:
12352203
Species reactivity:
human, rat
Conjugate:
unconjugated
Application:
IHC, WB
Citations:
-
技术服务
需要帮助?我们经验丰富的科学家团队随时乐意为您服务。
让我们为您提供帮助
技术服务
需要帮助?我们经验丰富的科学家团队随时乐意为您服务。
让我们为您提供帮助

species reactivity

human, rat

biological source

rabbit

conjugate

unconjugated

material

colorless

clone

4G5W2, monoclonal

form

liquid

mol wt

19 kDa

concentration

0.5 mg/mL

technique(s)

immunohistochemistry: 1:50 - 1:200, western blot: 1:500 - 1:2000

color

colorless

isotype

IgG

immunogen sequence

MMAEEHTDLEAQIVKDIHCKEIDLVNRDPKNINEDIVKVDFEDVIAEPVGTYSFDGVWKVSYTTFTVSKYWCYRLLSTLLGVPLALLWGFLFACISFCHIWAVVPCIKSYLIEIQCISHIYSLCIRTFCNPLFAALGQVCSSIKVVLRKEV

UniProt accession no.

shipped in

wet ice

storage temp.

−20°C

target post-translational modification

unmodified

Quality Level

Gene Information

human ... CAV3(859)

General description

This gene encodes a caveolin family member, which functions as a component of the caveolae plasma membranes found in most cell types. Caveolin proteins are proposed to be scaffolding proteins for organizing and concentrating certain caveolin-interacting molecules. Mutations identified in this gene lead to interference with protein oligomerization or intra-cellular routing, disrupting caveolae formation and resulting in Limb-Girdle muscular dystrophy type-1C (LGMD-1C), hyperCKemia or rippling muscle disease (RMD). Alternative splicing has been identified for this locus, with inclusion or exclusion of a differentially spliced intron. In addition, transcripts utilize multiple polyA sites and contain two potential translation initiation sites. [provided by RefSeq, Jul 2008]

Immunogen

PBS with 0.02% sodium azide,0.05% BSA,50% glycerol,pH7.3.
Recombinant fusion protein containing a sequence corresponding to amino acids 1-151 of human Caveolin-3 (P56539).

Application

WB, IHC

存储类别

10 - Combustible liquids

wgk

WGK 1

法规信息

常规特殊物品
此项目有

历史批次信息供参考:

分析证书(COA)

Lot/Batch Number

It looks like we've run into a problem, but you can still download Certificates of Analysis from our 文件 section.

如需帮助,请联系 客户支持

已有该产品?

在文件库中查找您最近购买产品的文档。

访问文档库

我们的科学家团队拥有各种研究领域经验,包括生命科学、材料科学、化学合成、色谱、分析及许多其他领域.

联系客户支持