跳转至内容
Merck
CN

SAB5702368

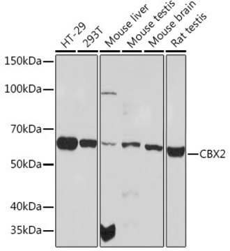
Anti-CBX2 Antibody, clone 3Z6W6, Rabbit Monoclonal

别名:

CDCA6, M33, SRXY5

登录 查看组织和合同定价。

选择尺寸


关于此项目

NACRES:
NA.46
UNSPSC Code:
12352203
Species reactivity:
rat, human
Conjugate:
unconjugated
Application:
WB
Citations:
-
技术服务
需要帮助?我们经验丰富的科学家团队随时乐意为您服务。
让我们为您提供帮助
技术服务
需要帮助?我们经验丰富的科学家团队随时乐意为您服务。
让我们为您提供帮助

species reactivity

rat, human

biological source

rabbit

conjugate

unconjugated

material

colorless

clone

3Z6W6, monoclonal

form

liquid

mol wt

56 kDa

concentration

0.89 mg/mL

technique(s)

western blot: 1:500 - 1:2000

color

colorless

isotype

IgG

immunogen sequence

GSATPSGQESRTAPGEARKAATLPEMSAGEESSSSDSDPDSASPPSTGQNPSVSVQTSQDWKPTRSLIEHVFVTDVTANLITVTVKESPTSVGFFNLRHY

UniProt accession no.

shipped in

wet ice

storage temp.

−20°C

target post-translational modification

unmodified

Quality Level

Gene Information

human ... CBX2(84733)

General description

This gene encodes a component of the polycomb multiprotein complex, which is required to maintain the transcriptionally repressive state of many genes throughout development via chromatin remodeling and modification of histones. Disruption of this gene in mice results in male-to-female gonadal sex reversal. Mutations in this gene are also associated with gonadal dysgenesis in humans. Alternatively spliced transcript variants encoding different isoforms have been noted for this gene.[provided by RefSeq, Mar 2010]

Immunogen

A synthetic peptide corresponding to a sequence within amino acids 433-532 of human CBX2 (Q14781).
PBS with 0.02% sodium azide,0.05% BSA,50% glycerol,pH7.3.

Application

WB

存储类别

10 - Combustible liquids

wgk

WGK 1

法规信息

常规特殊物品
此项目有

历史批次信息供参考:

分析证书(COA)

Lot/Batch Number

It looks like we've run into a problem, but you can still download Certificates of Analysis from our 文件 section.

如需帮助,请联系 客户支持

已有该产品?

在文件库中查找您最近购买产品的文档。

访问文档库

我们的科学家团队拥有各种研究领域经验,包括生命科学、材料科学、化学合成、色谱、分析及许多其他领域.

联系客户支持