跳转至内容
Merck
CN

SAB5702195

Anti-eIF2C3 Antibody, clone 8E0O6, Rabbit Monoclonal

别名:

EIF2C3

登录 查看组织和合同定价。

选择尺寸


关于此项目

NACRES:
NA.46
UNSPSC Code:
12352203
Species reactivity:
rat, human
Conjugate:
unconjugated
Application:
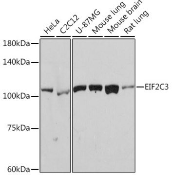
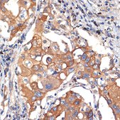
IHC, WB
Citations:
-
技术服务
需要帮助?我们经验丰富的科学家团队随时乐意为您服务。
让我们为您提供帮助
技术服务
需要帮助?我们经验丰富的科学家团队随时乐意为您服务。
让我们为您提供帮助

species reactivity

rat, human

biological source

rabbit

conjugate

unconjugated

material

colorless

clone

8E0O6, monoclonal

form

liquid

mol wt

97 kDa

concentration

1.88 mg/mL

technique(s)

immunohistochemistry: 1:50 - 1:200, western blot: 1:500 - 1:2000

color

colorless

isotype

IgG

immunogen sequence

RTERVGRSGNIPAGTTVDTDITHPYEFDFYLCSHAGIQGTSRPSHYHVLWDDNCFTADELQLLTYQLCHTYVRCTRSVSIPAPAYYAHLVAFRARYHLVDKEHDSAEGSHVSGQSNGRDPQALAKAVQIHQDTLRTMYFA

UniProt accession no.

shipped in

wet ice

storage temp.

−20°C

target post-translational modification

unmodified

Quality Level

Gene Information

human ... AGO3(192669)

General description

This gene encodes a member of the Argonaute family of proteins which play a role in RNA interference. The encoded protein is highly basic, contains a PAZ domain and a PIWI domain, and may play a role in short-interfering-RNA-mediated gene silencing. This gene is located on chromosome 1 in a tandem cluster of closely related family members including argonaute 4 and eukaryotic translation initiation factor 2C, 1. Two transcript variants encoding distinct isoforms have been identified for this gene. [provided by RefSeq, Jul 2008]

Immunogen

PBS with 0.02% sodium azide,0.05% BSA,50% glycerol,pH7.3.
Recombinant fusion protein containing a sequence corresponding to amino acids 721-860 of human eIF2C3 (Q9H9G7).

Application

WB, IHC

存储类别

10 - Combustible liquids

wgk

WGK 1

法规信息

常规特殊物品
此项目有

历史批次信息供参考:

分析证书(COA)

Lot/Batch Number

It looks like we've run into a problem, but you can still download Certificates of Analysis from our 文件 section.

如需帮助,请联系 客户支持

已有该产品?

在文件库中查找您最近购买产品的文档。

访问文档库

我们的科学家团队拥有各种研究领域经验,包括生命科学、材料科学、化学合成、色谱、分析及许多其他领域.

联系客户支持