跳转至内容
Merck
CN

SAB5701995

Anti-SBDS Antibody, clone 9V4J9, Rabbit Monoclonal

别名:

SBDS, CGI-97, SDS, SWDS, ribosome maturation protein SBDS

登录 查看组织和合同定价。

选择尺寸


关于此项目

NACRES:
NA.46
UNSPSC Code:
12352203
Species reactivity:
human, rat
Conjugate:
unconjugated
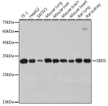
Application:
WB
Citations:
-
技术服务
需要帮助?我们经验丰富的科学家团队随时乐意为您服务。
让我们为您提供帮助
技术服务
需要帮助?我们经验丰富的科学家团队随时乐意为您服务。
让我们为您提供帮助

species reactivity

human, rat

biological source

rabbit

conjugate

unconjugated

material

colorless

clone

9V4J9, monoclonal

form

liquid

mol wt

29 kDa

concentration

0.50 mg/mL

technique(s)

western blot: 1:500 - 1:2000

color

colorless

isotype

IgG

immunogen sequence

KQQALEVIKQLKEKMKIERAHMRLRFILPVNEGKKLKEKLKPLIKVIESEDYGQQLEIVCLIDPGCFREIDELIKKETKGKGSLEVLNLKDVEEGDEKFE

UniProt accession no.

shipped in

wet ice

storage temp.

−20°C

target post-translational modification

unmodified

Quality Level

Gene Information

human ... SBDS(51119)

General description

This gene encodes a member of a highly conserved protein family that exists from archaea to vertebrates and plants. The encoded protein may function in RNA metabolism. Mutations within this gene are associated with Shwachman-Bodian-Diamond syndrome. An alternative transcript has been described, but its biological nature has not been determined. This gene has a closely linked pseudogene that is distally located.

Immunogen

A synthetic peptide corresponding to a sequence within amino acids 151-250 of human SBDS (Q9Y3A5).
PBS with 0.02% sodium azide,0.05% BSA,50% glycerol,pH7.3.

Application

WB

存储类别

10 - Combustible liquids

wgk

WGK 1

法规信息

常规特殊物品
此项目有

历史批次信息供参考:

分析证书(COA)

Lot/Batch Number

It looks like we've run into a problem, but you can still download Certificates of Analysis from our 文件 section.

如需帮助,请联系 客户支持

已有该产品?

在文件库中查找您最近购买产品的文档。

访问文档库

我们的科学家团队拥有各种研究领域经验,包括生命科学、材料科学、化学合成、色谱、分析及许多其他领域.

联系客户支持