跳转至内容
Merck
CN

SAB5701977

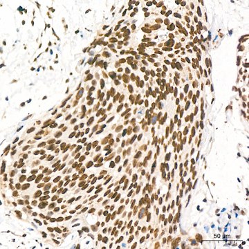
Anti-UBE2B Antibody, clone 2Z3R2, Rabbit Monoclonal

别名:

UBE2B, E2-17kDa, HHR6B, HR6B, RAD6B, UBC2, ubiquitin-conjugating enzyme E2 B

登录 查看组织和合同定价。

选择尺寸


关于此项目

NACRES:
NA.46
UNSPSC Code:
12352203
Species reactivity:
human, rat
Conjugate:
unconjugated
Application:
IHC, WB
Citations:
-
技术服务
需要帮助?我们经验丰富的科学家团队随时乐意为您服务。
让我们为您提供帮助
技术服务
需要帮助?我们经验丰富的科学家团队随时乐意为您服务。
让我们为您提供帮助

species reactivity

human, rat

biological source

rabbit

conjugate

unconjugated

material

colorless

clone

2Z3R2, monoclonal

form

liquid

mol wt

17 kDa

concentration

0.33 mg/mL

technique(s)

immunohistochemistry: 1:50 - 1:200, western blot: 1:500 - 1:2000

color

colorless

isotype

IgG

immunogen sequence

FKLVIEFSEEYPNKPPTVRFLSKMFHPNVYADGSICLDILQNRWSPTYDVSSILTSIQSLLDEPNPNSPANSQAAQLYQENKREYEKRVSAIVEQSWNDS

UniProt accession no.

shipped in

wet ice

storage temp.

−20°C

target post-translational modification

unmodified

Quality Level

Gene Information

human ... UBE2B(7320)

General description

The modification of proteins with ubiquitin is an important cellular mechanism for targeting abnormal or short-lived proteins for degradation. Ubiquitination involves at least three classes of enzymes: ubiquitin-activating enzymes, or E1s, ubiquitin-conjugating enzymes, or E2s, and ubiquitin-protein ligases, or E3s. This gene encodes a member of the E2 ubiquitin-conjugating enzyme family. This enzyme is required for post-replicative DNA damage repair. Its protein sequence is 100% identical to the mouse, rat, and rabbit homologs, which indicates that this enzyme is highly conserved in eukaryotic evolution.

Immunogen

A synthetic peptide corresponding to a sequence within amino acids 53-152 of human UBE2B (P63146).
PBS with 0.02% sodium azide,0.05% BSA,50% glycerol,pH7.3.

Application

WB, IHC

存储类别

10 - Combustible liquids

wgk

WGK 1

法规信息

常规特殊物品
此项目有

历史批次信息供参考:

分析证书(COA)

Lot/Batch Number

It looks like we've run into a problem, but you can still download Certificates of Analysis from our 文件 section.

如需帮助,请联系 客户支持

已有该产品?

在文件库中查找您最近购买产品的文档。

访问文档库

我们的科学家团队拥有各种研究领域经验,包括生命科学、材料科学、化学合成、色谱、分析及许多其他领域.

联系客户支持