跳转至内容
Merck
CN

SAB4200785

Anti-B2M antibody, Mouse monoclonal

clone 92A, purified from hybridoma cell culture

别名:

Anti-Beta-2-microglobulin

登录 查看组织和合同定价。

选择尺寸


关于此项目

NACRES:
NA.41
UNSPSC Code:
12352203
Conjugate:
unconjugated
Clone:
92A, monoclonal
Application:
ELISA (i), IP
Citations:
-
技术服务
需要帮助?我们经验丰富的科学家团队随时乐意为您服务。
让我们为您提供帮助
技术服务
需要帮助?我们经验丰富的科学家团队随时乐意为您服务。
让我们为您提供帮助

biological source

mouse

conjugate

unconjugated

antibody form

purified from hybridoma cell culture

antibody product type

primary antibodies

clone

92A, monoclonal

form

buffered aqueous solution

mol wt

~15 kDa

species reactivity

human

concentration

~1 mg/mL

technique(s)

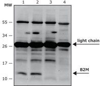
immunoblotting: 0.1-0.2 μg/mL using β2-Microglobulin from human urine., immunoprecipitation (IP): 2.5-5 μg/test using lysate of human HeLa cell line. , indirect ELISA: 0.2-0.4 μg/mL using 1 μg/ml β2-Microglobulin from human urine for coating.

isotype

IgG2a

UniProt accession no.

shipped in

dry ice

storage temp.

−20°C

target post-translational modification

unmodified

Gene Information

human ... B2M(567)

General description

B2M (β2-Microglobulin) is the light chain of the major histocompatibility class (MHC) I molecule expressed on the cell surface of all nucleated cells, including lymphocytes, thymocytes, monocytes, granulocytes, platelets, endothelial cells and epithelial cells and is absent in erythrocytes. B2M is filtered during glomerular filtrations and re-absorbed and catabolized by proximal renal tubule. While under normal conditions the B2M is undetectable in urine, its increased urinary excretion has been observed to be an early marker of tubular injury in a number of settings, including nephrotoxicant exposure, cardiac surgery and renal transplantation, preceding rises in serum creatinine by as many as 4-5 days. B2M may also serve as an early biomarker for AKI (Acute Kidney Injury). B2M plays a vital role in cell survival, proliferation and metastasis in various types of cancer. Its levels are also linked with multiple myeloma (MM) and non-Hodgkin′s lymphoma (NHL). NHL patients showing higher levels of B2M have a poor disease prognosis and a higher mortality risk. The protein has a predominantly β-pleated sheet structure that can form amyloid fibrils in some pathological conditions. In patient subjected to long-term hemodialysis, B2M is responsible for systemic amyloidosis. The levels of this protein are also altered in the cerebrospinal fluid of patients with neurological diseases, such as leptomeningeal metastasis, purulent meningitis, viral meningitis or encephalitis and neuroborreliosis. Over-expression of serum B2M is observed in hepatitis C virus (HCV) related chronic liver diseases and thus acts as a potential marker for the HCV disease progression towards cirrhosis and carcinoma.

Immunogen

Recombinant B2M protein.

Application

Immunoblotting: a working concentration of 0.1-0.2 μg/mL is recommended using β2-Microglobulin from human urine.

Immunoprecipitation: a working concentration of 2.5-5 μg/test is recommended using lysate of human HeLa cell line.

Indirect ELISA: a working concentration of 0.2-0.4 μg/mL is recommended using 1 μg/mL β2-Microglobulin from human urine for coating.

Physical form

Solution in 0.01 M phosphate buffered saline, pH 7.4, containing 15mM sodium azide.

Other Notes

In order to obtain best results in different techniques and preparations we recommend determining optimal working concentration by titration test.

未找到合适的产品?  

试试我们的产品选型工具.

存储类别

10 - Combustible liquids

wgk

WGK 3

flash_point_f

Not applicable

flash_point_c

Not applicable

法规信息

新产品
此项目有

历史批次信息供参考:

分析证书(COA)

Lot/Batch Number

没有发现合适的版本?

如果您需要特殊版本,可通过批号或批次号查找具体证书。

已有该产品?

在文件库中查找您最近购买产品的文档。

访问文档库

相关内容

我们的科学家团队拥有各种研究领域经验,包括生命科学、材料科学、化学合成、色谱、分析及许多其他领域.

联系客户支持