biological source
mouse
conjugate
unconjugated
antibody form
purified from hybridoma cell culture
antibody product type
primary antibodies
clone
LbCpf1, monoclonal
form
buffered aqueous solution
mol wt
~135 kDa
concentration
~1.0 mg/mL
technique(s)
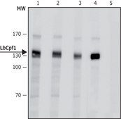
immunoblotting: 0.6-1.2 μg/mL using human HEK-293T cells over-expressing LbCpf1 protein, immunofluorescence: 0.25-0.5 μg/mL using human HEK-293T cells over-expressing LbCpf1 protein, immunoprecipitation (IP): 1-2.5 μg/test using lysate of human HEK-293T cells over-expressing LbCpf1 protein
isotype
IgG1
UniProt accession no.
shipped in
dry ice
storage temp.
−20°C
target post-translational modification
unmodified
Quality Level
General description
Clustered, regularly interspaced, short palindromic repeat (CRISPR) systems encode RNA-guided endonucleases that are essential for bacterial adaptive immunity. Depending on the architecture of the effector-CRISPR RNA (crRNA) interference module, different CRISPR-Cas systems could be assigned into two classes1: class 1 systems of multi-subunit complex, such as Cascade and class 2 systems of single enzyme, such as Cas9.
Cpf1 (CRISPR from Prevotella and Francisella 1) belongs to class 2 type V CRISPR-Cas endonuclease system. Cpf1 comprise several differences from Cas9 protein including cleavage with 5′ overhangs, a shorter guide RNA and a longer distance between the seed sequence and cleavage site.
LbCpf1, Cpf1 from Lachnospiraceae bacterium ND2006, was examined together with 15 members of Cpf1 nuclease family and proved to mediate efficient genome editing in HEK293FT cells with improved results compared to SpCas9.5 According to thr crystal structure, LbCpf1 has a triangle-shaped architecture with a large positively charged channel at the centre.7 The crRNA binding was shown to induce the pronounced structural rearrangements of LbCpf1, leading to formation of a substrate-binding conformation of LbCpf1. Over-expressed in plant cells, LbCpf1 demonstrated more than 10-fold transcriptional repression of the target gene.
Monoclonal anti-LbCpf1 antibody can provide a useful tool for genome editing research, such as detecting and monitoring LbCpf1 positively transfected cells.
Cpf1 (CRISPR from Prevotella and Francisella 1) belongs to class 2 type V CRISPR-Cas endonuclease system. Cpf1 comprise several differences from Cas9 protein including cleavage with 5′ overhangs, a shorter guide RNA and a longer distance between the seed sequence and cleavage site.
LbCpf1, Cpf1 from Lachnospiraceae bacterium ND2006, was examined together with 15 members of Cpf1 nuclease family and proved to mediate efficient genome editing in HEK293FT cells with improved results compared to SpCas9.5 According to thr crystal structure, LbCpf1 has a triangle-shaped architecture with a large positively charged channel at the centre.7 The crRNA binding was shown to induce the pronounced structural rearrangements of LbCpf1, leading to formation of a substrate-binding conformation of LbCpf1. Over-expressed in plant cells, LbCpf1 demonstrated more than 10-fold transcriptional repression of the target gene.
Monoclonal anti-LbCpf1 antibody can provide a useful tool for genome editing research, such as detecting and monitoring LbCpf1 positively transfected cells.
Immunogen
Recombinant LbCpf1
Application
Monoclonal Anti-LbCpf1 specifically recognizes Cpf1 from Lachnospiraceae bacterium ND2006. The product may be used in several immunochemical techniques including Immunoblotting (∼135 kDa), Immunofluorescence and Immunoprecipitation. Monoclonal Anti-LbCpf1 does not cross react with Cpf1 from Acidaminococcus sp. (strain BV3L6) ), SpCas9 from Streptococcus pyogenes bacteria and FnCas9 from Francisella novicida bacteria.
Physical form
Solution in 0.01 M phosphate buffered saline, pH 7.4, containing 15 mM sodium azide.
Preparation Note
For continuous use, store at 2-8 °C for up to one month. For extended storage, freeze in working aliquots. Repeated freezing and thawing is not recommended. If slight turbidity occurs upon prolonged storage, clarify the solution by centrifugation before use. Working dilution samples should be discarded if not used within 12 hours.
Other Notes
This product is for R&D use only, not for drug, household, or other uses.
In order to obtain best results in different techniques and preparations we recommend determining optimal working concentration by titration test.
In order to obtain best results in different techniques and preparations we recommend determining optimal working concentration by titration test.
未找到合适的产品?
试试我们的产品选型工具.
存储类别
12 - Non Combustible Liquids
wgk
nwg
flash_point_f
Not applicable
flash_point_c
Not applicable
法规信息
低风险生物材料
常规特殊物品
此项目有
A modified Agrobacterium-mediated transformation for two oomycete pathogens.
Wang, et al.
PLoS Pathogens, 19, e1011346-e1011346 (2023)
Michael Aregger et al.
Nature protocols, 16(10), 4722-4765 (2021-09-12)
CRISPR-based forward genetic screening represents a powerful approach for the systematic characterization of gene function. Recent efforts have been directed toward establishing CRISPR-based tools for the programmable delivery of combinatorial genetic perturbations, most of which are mediated by a single
Zuriñe Antón et al.
Journal of cell science, 133(18) (2020-08-28)
Current methodologies for targeting the mitochondrial genome for research and/or therapy development in mitochondrial diseases are restricted by practical limitations and technical inflexibility. A molecular toolbox for CRISPR-mediated mitochondrial genome editing is desirable, as this could enable targeting of mtDNA
我们的科学家团队拥有各种研究领域经验,包括生命科学、材料科学、化学合成、色谱、分析及许多其他领域.
联系客户支持