跳转至内容
Merck
CN

SAB4200566

Anti-KHSRP antibody produced in rabbit

~1.0 mg/mL, affinity isolated antibody

别名:

Anti-FBP2, Anti-FUBP2, Anti-KH-type splicing regulatory protein, Anti-KSRP, Anti-MGC99676

登录 查看组织和合同定价。

选择尺寸


关于此项目

NACRES:
NA.41
UNSPSC Code:
12352203
Conjugate:
unconjugated
Clone:
polyclonal
Application:
IP, WB
Citations:
8
技术服务
需要帮助?我们经验丰富的科学家团队随时乐意为您服务。
让我们为您提供帮助
技术服务
需要帮助?我们经验丰富的科学家团队随时乐意为您服务。
让我们为您提供帮助

biological source

rabbit

conjugate

unconjugated

antibody form

affinity isolated antibody

antibody product type

primary antibodies

clone

polyclonal

form

buffered aqueous solution

mol wt

antigen ~82 kDa

species reactivity

rat, mouse, human

concentration

~1.0 mg/mL

technique(s)

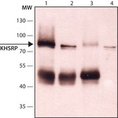
immunoprecipitation (IP): 1-2 μg using lysates of human HEK-293T cells, western blot: 0.25-0.50 μg/mL using whole extracts of mouse NIH-3T3 cells

UniProt accession no.

shipped in

dry ice

storage temp.

−20°C

target post-translational modification

unmodified

Gene Information

human ... KHSRP(8570)
mouse ... Khsrp(16549)
rat ... Khsrp(171137)

正在寻找类似产品? 访问 产品对比指南

相关类别

General description

K-homology type-splicing regulatory protein (KHSRP) is a multifunctional RNA-binding protein. It contains four K homology RNA-binding domains and an unusual C-terminal domain. KHSRP is localized in neural and non-neural cell lines. It is located on the human chromosome at 19p13.3.

Immunogen

synthetic peptide corresponding to an internal region of human KHSRP (GeneID: 8570), conjugated to KLH. The corresponding sequence is identical in rat, mouse, monkey, pig and dog KHSPR.

Application

Anti-KHSRP antibody produced in rabbit may be used in immunoblotting and immunoprecipitation.

Biochem/physiol Actions

Anti-KHSRP recognizes human, mouse and rat KHSRP.
K-homology type-splicing regulatory protein (KHSRP) is involved in several cellular processes such as transcription, mRNA localization and alternative pre-mRNA splicing. It is also involved in mRNA decay and microRNA precursor maturation.

Physical form

Solution in 0.01 M phosphate buffered saline pH 7.4, containing 15 mM sodium azide.

Preparation Note

For continuous use, store at 2-8 °C for up to one month. For extended storage freeze in working aliquots. Repeated freezing and thawing is not recommended. If slight turbidity occurs upon prolonged storage, clarify the solution by centrifugation before use. Working dilution samples should be discarded if not used within 12 hours.

Disclaimer

Unless otherwise stated in our catalog or other company documentation accompanying the product(s), our products are intended for research use only and are not to be used for any other purpose, which includes but is not limited to, unauthorized commercial uses, in vitro diagnostic uses, ex vivo or in vivo therapeutic uses or any type of consumption or application to humans or animals.

未找到合适的产品?  

试试我们的产品选型工具.

存储类别

10 - Combustible liquids

wgk

WGK 1

flash_point_f

Not applicable

flash_point_c

Not applicable

法规信息

低风险生物材料
常规特殊物品
此项目有

历史批次信息供参考:

分析证书(COA)

Lot/Batch Number

没有发现合适的版本?

如果您需要特殊版本,可通过批号或批次号查找具体证书。

已有该产品?

在文件库中查找您最近购买产品的文档。

访问文档库

A new regulatory protein, KSRP, mediates exon inclusion through an intronic splicing enhancer.
Min H, et al.
Genes & Development, 11(8), 1023-1036 (1997)
Diverse roles of the nucleic acid-binding protein KHSRP in cell differentiation and disease
Briata P, et al.
Wiley Interdisciplinary Reviews. RNA, 7(2), 227-240 (2016)
Gain of Additional BIRC3 Protein Functions through xn-3-t6a-UTR-Mediated Protein Complex Formation
Lee SH and Mayr C
Molecular Cell, 74(4), 701-712 (2019)
A Membraneless Organelle Associated with the Endoplasmic Reticulum Enables 3'UTR-Mediated Protein-Protein Interactions
Ma W and Mayr C
Cell, 175(6), 1492-1506 (2018)
Mapping of theKHSRPGene to a Region of Conserved Synteny on Human Chromosome 19p13. 3 and Mouse Chromosome 17
Ring H Z, et al.
Genomics, 56(3), 350-352 (1999)

相关内容

我们的科学家团队拥有各种研究领域经验,包括生命科学、材料科学、化学合成、色谱、分析及许多其他领域.

联系客户支持