跳转至内容
Merck
CN

SAB4200455

Anti-FUS (internal) antibody produced in rabbit

~1.0 mg/mL, affinity isolated antibody

别名:

Anti-ALS6, Anti-CHOP, Anti-FUS-CHOP, Anti-FUS1, Anti-TLS, Anti-TLS/CHOP, Anti-hnRNP-P2

登录 查看组织和合同定价。

选择尺寸


关于此项目

NACRES:
NA.41
UNSPSC Code:
12352203
Conjugate:
unconjugated
Clone:
polyclonal
Application:
IF, IHC, WB CL
Citations:
5
技术服务
需要帮助?我们经验丰富的科学家团队随时乐意为您服务。
让我们为您提供帮助
技术服务
需要帮助?我们经验丰富的科学家团队随时乐意为您服务。
让我们为您提供帮助

biological source

rabbit

conjugate

unconjugated

antibody form

affinity isolated antibody

antibody product type

primary antibodies

clone

polyclonal

form

buffered aqueous solution

mol wt

antigen ~68 kDa

species reactivity

mouse, human, rat

enhanced validation

independent
Learn more about Antibody Enhanced Validation

concentration

~1.0 mg/mL

technique(s)

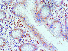
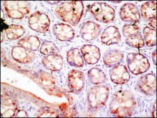
immunohistochemistry: 5-10 μg/mL using formalin-fixed paraffin embedded rat colon., indirect immunofluorescence: 2.5-5 μg/mL using HeLa cells., western blot (chemiluminescent): 1.5-3.0 μg/mL using lysates of Jurkat cells.

UniProt accession no.

shipped in

dry ice

storage temp.

−20°C

target post-translational modification

unmodified

Gene Information

human ... FUS(2521)
mouse ... Fus(233908)
rat ... Fus(317385)

General description

Fused in sarcoma (FUS) is a RNA/DNA binding protein mapped to human chromosome 16p11.2. Although FUS is located predominantly in the nucleus, pathological FUS inclusions are mostly found in the cytosol of neurons and glial cells.

Immunogen

synthetic peptide corresponding to an internal region of human FUS isoform 1, conjugated to KLH. The corresponding sequence is identical in human FUS isoforms 2 and 3, and in mouse and rat FUS.

Application

Anti-FUS (internal) antibody produced in rabbit has been used in:
  • immunoblotting
  • immunofluorescence
  • immunohistochemistry

Biochem/physiol Actions

Anti-FUS (internal) specifically recognizes human and rat FUS.
Fused in sarcoma (FUS) plays regulatory roles in transcription, RNA splicing and transport and is implicated in multiple diseases. Chromosomal translocation of FUS/TLS is found in human cancers and results in the production of oncogenic FUS fusion proteins. Recently, FUS has been implicated in a broadening spectrum of neurodegenerative disorders. FUS has been identified as a component of inclusion bodies in patients with Huntington′s disease (HD) and spinocerebellar ataxias (SCA1-3). More recently, mutations in TDP-43 and FUS have been identified in amyotrophic lateral sclerosis (ALS) and frontotemporal lobar degeneration (FLTD) including ubiquitin-positive inclusions (FLTD-U). The majority of the FUS mutations have been identified in C-terminal nuclear localization signal (NLS).

Physical form

Solution in 0.01 M phos­phate buffered saline, pH 7.4, containing 15 mM sodium azide.

Preparation Note

For continuous use, store at 2-8 °C for up to one month. For extended storage, freeze in working aliquots. Repeated freezing and thawing, or storage in “frost-free” freezers is also not recommended. If slight turbidity occurs upon prolonged storage, clarify the solution by centrifugation before use. Working dilutions should be discarded if not used within 12 hours.

Disclaimer

Unless otherwise stated in our catalog or other company documentation accompanying the product(s), our products are intended for research use only and are not to be used for any other purpose, which includes but is not limited to, unauthorized commercial uses, in vitro diagnostic uses, ex vivo or in vivo therapeutic uses or any type of consumption or application to humans or animals.

未找到合适的产品?  

试试我们的产品选型工具.

存储类别

10 - Combustible liquids

flash_point_f

Not applicable

flash_point_c

Not applicable

法规信息

新产品
此项目有

历史批次信息供参考:

分析证书(COA)

Lot/Batch Number

没有发现合适的版本?

如果您需要特殊版本,可通过批号或批次号查找具体证书。

已有该产品?

在文件库中查找您最近购买产品的文档。

访问文档库

O-GlcNAc glycosylation stoichiometry of the FET protein family: only EWS is glycosylated with a high stoichiometry
Kamemura K
Bioscience, Biotechnology, and Biochemistry, 81(3), 541-546 (2017)
Yoshihiro Kino et al.
Nucleic acids research, 39(7), 2781-2798 (2010-11-27)
TLS (translocated in liposarcoma), also known as FUS (fused in sarcoma), is an RNA/DNA-binding protein that plays regulatory roles in transcription, pre-mRNA splicing and mRNA transport. Mutations in TLS are responsible for familial amyotrophic lateral sclerosis (ALS) type 6. Furthermore
Kazuo Kamemura
Bioscience, biotechnology, and biochemistry, 81(3), 541-546 (2016-12-03)
Of the FET (fused in sarcoma [FUS]/Ewing sarcoma protein [EWS]/TATA binding protein-associated factor 15 [TAF15]) family of heterogeneous nuclear ribonucleoprotein particle proteins, FUS and TAF15 are consistently and EWS variably found in inclusion bodies in neurodegenerative diseases such as frontotemporal
Two Italian kindreds with familial amyotrophic lateral sclerosis due to FUS mutation
Chio A, et al.
Neurobiology of Aging, 30(8), 1272-1275 (2009)
TDP-43 and FUS/TLS: emerging roles in RNA processing and neurodegeneration
Lagier-Tourenne C, et al.
Human Molecular Genetics, 19(R1), R46-R64 (2010)

相关内容

我们的科学家团队拥有各种研究领域经验,包括生命科学、材料科学、化学合成、色谱、分析及许多其他领域.

联系客户支持