跳转至内容
Merck
CN

SAB4200384

Anti-SMAD6 (N-terminal) antibody produced in rabbit

~1.0 mg/mL, affinity isolated antibody

别名:

Anti-MADH6, Anti-MADH7, Anti-SMAD family member 6

登录 查看组织和合同定价。

选择尺寸


关于此项目

NACRES:
NA.41
UNSPSC Code:
12352203
Conjugate:
unconjugated
Clone:
polyclonal
Application:
IF, IP, WB
Citations:
1
技术服务
需要帮助?我们经验丰富的科学家团队随时乐意为您服务。
让我们为您提供帮助
技术服务
需要帮助?我们经验丰富的科学家团队随时乐意为您服务。
让我们为您提供帮助

biological source

rabbit

conjugate

unconjugated

antibody form

affinity isolated antibody

antibody product type

primary antibodies

clone

polyclonal

form

buffered aqueous solution

mol wt

antigen ~60 kDa

species reactivity

human, mouse

concentration

~1.0 mg/mL

technique(s)

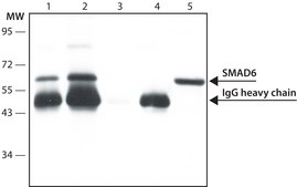
immunoprecipitation (IP): 2.5-5 μg using lysates of HEK-293T cells over-expressing human SMAD6, indirect immunofluorescence: 5-10 μg/mL using mouse 3T3 cells, western blot: 1-2 μg/mL using whole extracts of HEK-293T cells over-expressing human SMAD6

UniProt accession no.

shipped in

dry ice

storage temp.

−20°C

target post-translational modification

unmodified

Quality Level

Gene Information

human ... SMAD6(4091)
rat ... Smad6(367100)

General description

SMAD6 is a member of inhibitory Smads (I-Smad) family. It consists of two conserved domains, the N-terminal MH1 and C-terminal MH2, that are separated by a proline-rich linker region of varying length.

Immunogen

peptide corresponding to the N-terminal region of human SMAD6, conjugated to KLH. The corresponding sequence is identical in rat and differs by a single amino acid in mouse.

Application

Anti-SMAD6 (N-terminal) antibody produced in rabbit has been used in:
  • immunoblotting
  • immunoprecipitation
  • immunofluorescence

Biochem/physiol Actions

SMAD6 plays an important role in transforming growth factor-β (TGF-β) pathway. It regulates cell proliferation, apoptosis and differentiation. SMAD6 is a key negative regulator of bone morphogenetic protein (BMP) signaling in the cytoplasm and in the nucleus. SMAD6 inhibits SMAD signaling in the nucleus by interacting with transcriptional repressors such as HOXC-8, class I histone deacetylases (HDACs) and transcriptional corepressor C-terminal binding protein (CtBp).

Physical form

Solution in 0.01 M phos­phate buffered saline, pH 7.4, containing 15 mM sodium azide.

Disclaimer

Unless otherwise stated in our catalog or other company documentation accompanying the product(s), our products are intended for research use only and are not to be used for any other purpose, which includes but is not limited to, unauthorized commercial uses, in vitro diagnostic uses, ex vivo or in vivo therapeutic uses or any type of consumption or application to humans or animals.

未找到合适的产品?  

试试我们的产品选型工具.

存储类别

10 - Combustible liquids

flash_point_f

Not applicable

flash_point_c

Not applicable

法规信息

低风险生物材料
常规特殊物品
此项目有

历史批次信息供参考:

分析证书(COA)

Lot/Batch Number

没有发现合适的版本?

如果您需要特殊版本,可通过批号或批次号查找具体证书。

已有该产品?

在文件库中查找您最近购买产品的文档。

访问文档库

Regulation of TGF-beta signaling by Smad7
Yan X, et al.
Acta biochimica et biophysica Sinica, 41(4), 263-272 (2009)

相关内容

我们的科学家团队拥有各种研究领域经验,包括生命科学、材料科学、化学合成、色谱、分析及许多其他领域.

联系客户支持