跳转至内容
Merck
CN

SAB4200091

Anti-Raver1 (N-terminal) antibody produced in rabbit

~1.0 mg/mL, affinity isolated antibody

别名:

Anti-Ribonucleoprotein PTB-binding 1

登录 查看组织和合同定价。

选择尺寸


关于此项目

NACRES:
NA.41
UNSPSC Code:
12352203
Conjugate:
unconjugated
Clone:
polyclonal
Application:
IF, IP, WB
Citations:
4
技术服务
需要帮助?我们经验丰富的科学家团队随时乐意为您服务。
让我们为您提供帮助
技术服务
需要帮助?我们经验丰富的科学家团队随时乐意为您服务。
让我们为您提供帮助

biological source

rabbit

conjugate

unconjugated

antibody form

affinity isolated antibody

antibody product type

primary antibodies

clone

polyclonal

form

buffered aqueous solution

mol wt

antigen ~77 kDa

concentration

~1.0 mg/mL

technique(s)

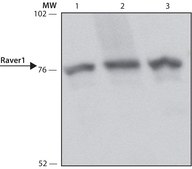
immunoprecipitation (IP): 5-10 μg using lysates of HEK-293T cells, indirect immunofluorescence: 2-5 μg/mL using paraformaldehyde fixed HEK-293T cells, western blot: 1-2 μg/mL using lysates of K562 cells

shipped in

dry ice

storage temp.

−20°C

target post-translational modification

unmodified

Gene Information

human ... RAVER1(125950)
mouse ... Raver1(71766)
rat ... Raver1(298705)

General description

The protein ribonucleoprotein, PTB binding 1 (Raver1), also known as ribonucleoprotein polypyrimidine tract-binding (PTB) protein 1, is a widely expressed multidomain protein. Raver1 is composed of three RNA recognition motifs (RRM) and of nuclear localization and nuclear export signals, allowing it to shuttle between the nucleus and the cytoplasm. The RAVER1 gene is mapped to human chromosome 19p13.2.

Application

Anti-Raver1 (N-terminal) antibody produced in rabbit is suitable for:
  • immunoblotting
  • immunoprecipitation
  • immunofluorescence

Biochem/physiol Actions

Anti-Raver1 (N-terminal) recognizes human Raver1.
The protein ribonucleoprotein, PTB binding 1 (Raver1) is identified in two-hybrid screens by its ability to interact and colocalize with the cytoskeletal proteins α-actinin and vinculin. In skeletal muscle, the shuttling of Raver1 from nucleus to cytoplasm is associated with the differentiation of specific microfilament attachment sites. Based on an analysis of vinculin:Raver1 crystal structure, it was suggested that vinculin recruits Raver1 and its mRNAs cargo to focal adhesions, promoting restricted synthesis of adhesion complexes by the translational machinery.

Physical form

Solution in 0.01 M phos­phate buffered saline, pH 7.4, containing 15 mM sodium azide.

Preparation Note

Store at –20 °C. For continuous use, store at 2–8 °C for up to one month. For extended storage, freeze in working aliquots at –20 °C. Repeated freezing and thawing, or storage in “frost-free” freezers, is not recommended. If slight turbidity occurs upon prolonged storage, clarify the solution by centrifugation before use. Working dilutions should be discarded if not used within 12 hours.

Disclaimer

Unless otherwise stated in our catalog or other company documentation accompanying the product(s), our products are intended for research use only and are not to be used for any other purpose, which includes but is not limited to, unauthorized commercial uses, in vitro diagnostic uses, ex vivo or in vivo therapeutic uses or any type of consumption or application to humans or animals.

未找到合适的产品?  

试试我们的产品选型工具.

存储类别

10 - Combustible liquids

flash_point_f

Not applicable

flash_point_c

Not applicable

法规信息

常规特殊物品
此项目有

历史批次信息供参考:

分析证书(COA)

Lot/Batch Number

没有发现合适的版本?

如果您需要特殊版本,可通过批号或批次号查找具体证书。

已有该产品?

在文件库中查找您最近购买产品的文档。

访问文档库

Raver1, a dual compartment protein, is a ligand for PTB/hnRNPI and microfilament attachment proteins
Hu?ttelmaier S, et al.
Test, 155(5), 775-786 (2001)
The metavinculin tail domain directs constitutive interactions with raver1 and vinculin RNA
Lee JH, et al.
Journal of Molecular Biology, 422(5), 697-704 (2012)
Functional characterization of the ribonucleoprotein, PTB-binding 1/Raver1 promoter region
Romanelli MG, et al.
Gene, 405(1-2), 79-87 (2007)
Raver1 interactions with vinculin and RNA suggest a feed-forward pathway in directing mRNA to focal adhesions
Lee JH, et al.
Structure, 17(6), 833-842 (2009)

相关内容

我们的科学家团队拥有各种研究领域经验,包括生命科学、材料科学、化学合成、色谱、分析及许多其他领域.

联系客户支持