跳转至内容
Merck
CN

SAB1402136

Monoclonal Anti-CALML3 antibody produced in mouse

clone 2A11, purified immunoglobulin, buffered aqueous solution

别名:

CLP

登录 查看组织和合同定价。

选择尺寸


关于此项目

NACRES:
NA.41
UNSPSC Code:
12352203
Conjugate:
unconjugated
Clone:
2A11, monoclonal
Application:
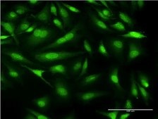
ELISA (c), ELISA (i), IF, IHC (p), WB
Citations:
-
技术服务
需要帮助?我们经验丰富的科学家团队随时乐意为您服务。
让我们为您提供帮助
技术服务
需要帮助?我们经验丰富的科学家团队随时乐意为您服务。
让我们为您提供帮助

biological source

mouse

conjugate

unconjugated

antibody form

purified immunoglobulin

antibody product type

primary antibodies

clone

2A11, monoclonal

form

buffered aqueous solution

mol wt

antigen ~42.5 kDa

species reactivity

human

technique(s)

capture ELISA: suitable, immunofluorescence: suitable, immunohistochemistry (formalin-fixed, paraffin-embedded sections): suitable, indirect ELISA: suitable, western blot: 1-5 μg/mL

isotype

IgG2bκ

NCBI accession no.

UniProt accession no.

shipped in

dry ice

storage temp.

−20°C

target post-translational modification

unmodified

Quality Level

Gene Information

human ... CALML3(810)

Immunogen

CALML3 (AAH31889, 1 a.a. ~ 149 a.a) full-length recombinant protein with GST tag. MW of the GST tag alone is 26 KDa.

Sequence
MADQLTEEQVTEFKEAFSLFDKDGDGCITTRELGTVMRSLGQNPTEAELRDMMSEIDRDGNGTVDFPEFLGMMARKMKDTDNEEEIREAFRVFDKDGNGFVSAAELRHVMTRLGEKLSDEEVDEMIRAADTDGDGQVNYEEFVRVLVSK

Physical form

Solution in phosphate buffered saline, pH 7.4

Disclaimer

Unless otherwise stated in our catalog or other company documentation accompanying the product(s), our products are intended for research use only and are not to be used for any other purpose, which includes but is not limited to, unauthorized commercial uses, in vitro diagnostic uses, ex vivo or in vivo therapeutic uses or any type of consumption or application to humans or animals.

未找到合适的产品?  

试试我们的产品选型工具.

存储类别

10 - Combustible liquids

wgk

WGK 1

flash_point_f

Not applicable

flash_point_c

Not applicable

法规信息

常规特殊物品
此项目有

历史批次信息供参考:

分析证书(COA)

Lot/Batch Number

没有发现合适的版本?

如果您需要特殊版本,可通过批号或批次号查找具体证书。

已有该产品?

在文件库中查找您最近购买产品的文档。

访问文档库

我们的科学家团队拥有各种研究领域经验,包括生命科学、材料科学、化学合成、色谱、分析及许多其他领域.

联系客户支持