跳转至内容
Merck
CN

R5780

Anti-Rab4 antibody produced in rabbit

~1.0 mg/mL, affinity isolated antibody, buffered aqueous solution

别名:

Anti-HRES-1/RAB4, Anti-RAB4A, Anti-RAS-associated protein RAB4

登录 查看组织和合同定价。

选择尺寸


关于此项目

UNSPSC Code:
12352203
NACRES:
NA.41
MDL number:
Conjugate:
unconjugated
Clone:
polyclonal
Application:
IF, WB
Citations:
7
技术服务
需要帮助?我们经验丰富的科学家团队随时乐意为您服务。
让我们为您提供帮助
技术服务
需要帮助?我们经验丰富的科学家团队随时乐意为您服务。
让我们为您提供帮助

biological source

rabbit

conjugate

unconjugated

antibody form

affinity isolated antibody

antibody product type

primary antibodies

clone

polyclonal

form

buffered aqueous solution

mol wt

antigen ~24 kDa

species reactivity

human, rat, mouse

concentration

~1.0 mg/mL

technique(s)

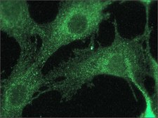
indirect immunofluorescence: 5-10 μg/mL using mouse 3T3 and rat NRK cells fixed and permeabilized with 4% paraformaldehyde followed by 0.1% and 0.4% saponin, respectively., western blot: 2-5 μg/mL using whole extract of human HEK-293T cells

UniProt accession no.

shipped in

dry ice

storage temp.

−20°C

target post-translational modification

unmodified

Gene Information

human ... RAB4A(5867)
mouse ... Rab4a(19341)
rat ... Rab4a(25532)

General description

Rab4 is a GTPase , that is located in early and recycling endosomes. It belongs to Rab family and is located on human chromosome 1q42. In rat testis, Rab4 is found in sertoli and germ cells.
There are two highly homologous RAB4 isoforms, RAB4A and RAB4B, encoded by two separate genes (RAB4A and RAB4B). RAB4A and RAB4B are localized in the same cellular compartments and are believed to have similar or identical functions in recycling.

Application

The antibody can be used in several immunochemical techniques including immunoblotting (24 kDa) and immunofluorescence.

Biochem/physiol Actions

Rab4 regulates endocytic recycling in a cell cycle dependent fashion. Rab4 is associated with early endosomes and recycling endosomes and regulates the recycling of membranes and proteins from these compartments back to the plasma membrane. Rab4 interacts with several Rab4 effector proteins like Rabip4, that regulates integrin trafficking and is involved in the migration of NIH 3T3 fibroblasts.
Rab4a controls integrin trafficking throughout cell adhesion. It helps in the quick reprocess of receptors from early endosomes to the cell surface. It also controls the secretion of procathepsin L in human melanoma cells.

Physical form

Solution in 0.01 M phosphate buffered saline, pH 7.4, containing 15 mM sodium azide.

Disclaimer

Unless otherwise stated in our catalog or other company documentation accompanying the product(s), our products are intended for research use only and are not to be used for any other purpose, which includes but is not limited to, unauthorized commercial uses, in vitro diagnostic uses, ex vivo or in vivo therapeutic uses or any type of consumption or application to humans or animals.

未找到合适的产品?  

试试我们的产品选型工具.

存储类别

10 - Combustible liquids

flash_point_f

Not applicable

flash_point_c

Not applicable

ppe

Eyeshields, Gloves, multi-purpose combination respirator cartridge (US)

法规信息

新产品
此项目有

历史批次信息供参考:

分析证书(COA)

Lot/Batch Number

没有发现合适的版本?

如果您需要特殊版本,可通过批号或批次号查找具体证书。

已有该产品?

在文件库中查找您最近购买产品的文档。

访问文档库

Rab4A GTPase catenin interactions are involved in cell junction dynamics in the testis
Mruk DD, et al.
Journal of Andrology, 28(5), 742-754 (2007)
TBC1D16 is a Rab4A GTPase activating protein that regulates receptor recycling and EGF receptor signaling
Goueli BS, et al.
Proceedings of the National Academy of Sciences of the USA, 109(39), 15787-15792 (2012)
Procathepsin L secretion, which triggers tumour progression, is regulated by Rab4a in human melanoma cells
Barbarin A and Frade R
The Biochemical Journal, 437(1), 97-107 (2011)
Expression of RAB4B, a protein governing endocytic recycling, is co-regulated with MHC class II genes
Krawczyk M, et al.
Nucleic Acids Research, 35(2), 595-605 (2006)
The Rab4A effector protein Rabip4 is involved in migration of NIH 3T3 fibroblasts
Vukmirica J, et al.
The Journal of Biological Chemistry, 281(47), 36360-36368 (2006)

相关内容

Instructions

我们的科学家团队拥有各种研究领域经验,包括生命科学、材料科学、化学合成、色谱、分析及许多其他领域.

联系客户支持