跳转至内容
Merck
CN

R4154

Anti-RbAp46, N-terminal antibody produced in rabbit

IgG fraction of antiserum, buffered aqueous solution

别名:

Anti-RBBP7, Anti-Retinoblastoma-binding Protein 7

登录 查看组织和合同定价。

选择尺寸


关于此项目

UNSPSC Code:
12352203
NACRES:
NA.41
MDL number:
Conjugate:
unconjugated
Clone:
polyclonal
Application:
IF, WB
Citations:
3
技术服务
需要帮助?我们经验丰富的科学家团队随时乐意为您服务。
让我们为您提供帮助
技术服务
需要帮助?我们经验丰富的科学家团队随时乐意为您服务。
让我们为您提供帮助

biological source

rabbit

conjugate

unconjugated

antibody form

IgG fraction of antiserum

antibody product type

primary antibodies

clone

polyclonal

form

buffered aqueous solution

mol wt

antigen 46 kDa

species reactivity

human

technique(s)

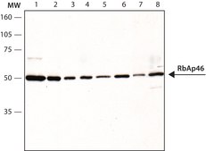
indirect immunofluorescence: 1:200-1:400 using human HeLa cells fixed with paraformaldehyde/Triton, western blot: 1:1,000-1:2,000 μg/mL using nuclear extracts of human HeLa cells

UniProt accession no.

shipped in

dry ice

storage temp.

−20°C

target post-translational modification

unmodified

Gene Information

human ... RBBP7(5931)

General description

Retinoblastoma-associated binding protein 46 (RbAp46), also referred to as retinoblastoma-binding protein 7 (RBBP7) has 89% amino acid identity with RbAp48. This nuclear protein belongs to the WD-repeat protein family. It has four repeats that ends with Trp-Asp(WD) residues. RbAp46 is an important constituent of the histone modifying and remodeling complexes. RbAp46 gene is located on human chromosome Xp22.13

Immunogen

synthetic peptide corresponding to amino acids 1-14 of human RbAp46, conjugated to KLH via a C-terminal added cysteine residue. The sequence differs in mice by one amino acid.

Application

Anti-RbAp46, N-terminal antibody produced in rabbit may be used in immunoblotting and immunofluorescence.

Biochem/physiol Actions

Retinoblastoma-associated binding protein 46 (RbAp46) plays an important role in the modification and remodeling of chromatin during cell growth and differentiation. It is associated with the nucleosomal remodeling and deacetylation complex (NURD). It may also play a key role in histone deacetylation and transcription repression.
Anti-RbAp46, N-terminal specifically recognizes human RbAp46.

Physical form

Solution in 0.01 M phosphate buffered saline, pH 7.4, containing 15 mM sodium azide.

Preparation Note

For continuous use, store at 2-8 °C for up to one month. For extended storage, freeze in working aliquots. Repeated freezing and thawing is not recommended. Storage in frost-free freezers is also not recommended. If slight turbidity occurs upon prolonged storage, clarify the solution by centrifugation before use. Working dilutions should be discarded if not used within 12 hours.

Disclaimer

Unless otherwise stated in our catalog or other company documentation accompanying the product(s), our products are intended for research use only and are not to be used for any other purpose, which includes but is not limited to, unauthorized commercial uses, in vitro diagnostic uses, ex vivo or in vivo therapeutic uses or any type of consumption or application to humans or animals.

未找到合适的产品?  

试试我们的产品选型工具.

存储类别

10 - Combustible liquids

wgk

WGK 3

flash_point_f

Not applicable

flash_point_c

Not applicable

ppe

Eyeshields, Gloves, multi-purpose combination respirator cartridge (US)

法规信息

新产品
此项目有

历史批次信息供参考:

分析证书(COA)

Lot/Batch Number

没有发现合适的版本?

如果您需要特殊版本,可通过批号或批次号查找具体证书。

已有该产品?

在文件库中查找您最近购买产品的文档。

访问文档库

The role of retinoblastoma-associated proteins 46 and 48 in estrogen receptor alpha mediated gene expression
Creekmore AL, et al.
Molecular and Cellular Endocrinology, 291(1-2), 79-86 (2008)
Characterization of the gene encoding mouse retinoblastoma binding protein-7, a component of chromatin-remodeling complexes
Yang J, et al.
Genomics, 80(4), 407-415 (2002)
Rb-associated protein 46 (RbAp46) inhibits transcriptional transactivation mediated by BRCA1
Chen GC, et al.
Biochemical and Biophysical Research Communications, 284(2), 507-514 (2001)

相关内容

我们的科学家团队拥有各种研究领域经验,包括生命科学、材料科学、化学合成、色谱、分析及许多其他领域.

联系客户支持