跳转至内容
Merck
CN

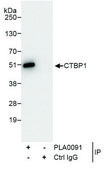
PLA0091

Rabbit anti-CTBP1 Antibody, Affinity Purified

Powered by Bethyl Laboratories, Inc.

别名:

BARS, CtBP1, brefeldin A-ribosylated substrate

登录 查看组织和合同定价。

选择尺寸


关于此项目

NACRES:
NA.41
UNSPSC Code:
12352203
Conjugate:
unconjugated
Clone:
polyclonal
Application:
WB
Citations:
5
技术服务
需要帮助?我们经验丰富的科学家团队随时乐意为您服务。
让我们为您提供帮助
技术服务
需要帮助?我们经验丰富的科学家团队随时乐意为您服务。
让我们为您提供帮助

biological source

rabbit

conjugate

unconjugated

antibody form

affinity purified immunoglobulin

antibody product type

primary antibodies

clone

polyclonal

species reactivity

human

technique(s)

western blot: 1:1,000-1:5,000

accession no.

Q13363

UniProt accession no.

shipped in

wet ice

storage temp.

2-8°C

target post-translational modification

unmodified

Quality Level

Gene Information

rabbit ... CTBP1(1487)

General description

The CTBP1 (C-terminal binding protein 1) gene is mapped to human chromosome 4p16.3 and codes for transcriptional corepressor protein. The encoded protein exists in two isoforms : CtBP1-L and CtBP1-S. The CtBP1 family of proteins contains transcription factor-binding domain at N-terminal, a dehydrogenase domain and a C-terminal domain associated with substrate binding stabilization.

Immunogen

The epitope recognized by PLA0091 maps to a region between residues 400 and 440 of human C-terminal Binding Protein 1 using the numbering given in Swiss-Prot entry Q13363 (GeneID 1487).

Biochem/physiol Actions

CTBP1 (C-terminal binding protein 1) is an oncogenic gene, highly expressed in several cancers such as ovarian cancer. Ctbp1 serves as a transcription factor that performs its regulatory action along with Ctbp2. CTBP1 expression contributes to embryogenesis and is also associated with the lifespan of an individual. Ctbp1 induces tumor proliferation, metastasis, and epithelial-mesenchymal transition, also offers resistance to chemotherapy. Ctbp1 regulates the pro-apoptotic genes by suppressing its expression and maintains mitotic fidelity in order to sustain cell survival.

Physical form

Tris-citrate/phosphate buffer, pH 7 to 8 containing 0.09% Sodium Azide

Other Notes

CTBP1 was first identified as a protein that interacted with adenovirus E1A oncoproteins. CTBP1 has been found to be a highly conserved transcriptional corepressor. CTBP1 associates in complexes with histone deacetylases (HDAC), the G9a histone methyltransferase, and LSD1 histone demethylase illustrating its role in transcriptional repression. Through its association with centrosomes, CTBP1 appears to also play a role in mitosis and Golgi complex organization.

Disclaimer

Unless otherwise stated in our catalog or other company documentation accompanying the product(s), our products are intended for research use only and are not to be used for any other purpose, which includes but is not limited to, unauthorized commercial uses, in vitro diagnostic uses, ex vivo or in vivo therapeutic uses or any type of consumption or application to humans or animals.

未找到合适的产品?  

试试我们的产品选型工具.

存储类别

12 - Non Combustible Liquids

wgk

nwg

flash_point_f

Not applicable

flash_point_c

Not applicable

法规信息

新产品
此项目有

历史批次信息供参考:

分析证书(COA)

Lot/Batch Number

It looks like we've run into a problem, but you can still download Certificates of Analysis from our 文件 section.

如需帮助,请联系 客户支持

已有该产品?

在文件库中查找您最近购买产品的文档。

访问文档库

CtBP- an emerging oncogene and novel small molecule drug target: Advances in the understanding of its oncogenic action and identification of therapeutic inhibitors.
Dcona M M, et al.
Cancer Biology & Therapy, 18(6), 379-391 (2017)
Oligomeric form of CtBP coactivates NeuroD1-mediated transcription.
Ray S K, et al.
FEBS Journal, 591(1), 205-212 (2017)
Pinin interacts with C-terminal binding proteins for RNA alternative splicing and epithelial cell identity of human ovarian cancer cells.
Zhang Y, et al.
Oncotarget, 7(10), 11397-11397 (2016)
Unusual 4p16.3 deletions suggest an additional chromosome region for the Wolf?Hirschhorn syndrome?associated seizures disorder.
Zollino M, et al.
Epilepsia, 55(6), 849-857 (2014)
The miR-644a/CTBP1/p53 axis suppresses drug resistance by simultaneous inhibition of cell survival and epithelial-mesenchymal transition in breast cancer.
Raza U, et al.
Oncotarget, 7(31), 49859-49859 (2016)

我们的科学家团队拥有各种研究领域经验,包括生命科学、材料科学、化学合成、色谱、分析及许多其他领域.

联系客户支持