biological source
rabbit
conjugate
unconjugated
antibody form
affinity isolated antibody
antibody product type
primary antibodies
clone
polyclonal
product line
Prestige Antibodies® Powered by Atlas Antibodies
form
buffered aqueous glycerol solution
species reactivity
human
enhanced validation
orthogonal RNAseq
Learn more about Antibody Enhanced Validation
technique(s)
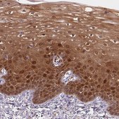
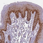
immunohistochemistry: 1:500-1:1000
immunogen sequence
EMKELLHKELPSFVGEKVDEEGLKKLMGSLDENSDQQVD
UniProt accession no.
shipped in
wet ice
storage temp.
−20°C
target post-translational modification
unmodified
Quality Level
Gene Information
human ... S100A2(6273)
General description
S100 calcium binding protein A2 (S100A2) also called CaN19, is a calcium binding protein involved in cell cycle progression and cell differentiation. The S100A2 gene is mapped to human chromosome 1q21.3. It has EF-hand calcium binding motif. It is a small protein of 12 kDa and ubiquitously expressed.
Immunogen
S100 calcium binding protein A2
Application
All Prestige Antibodies Powered by Atlas Antibodies are developed and validated by the Human Protein Atlas (HPA) project and as a result, are supported by the most extensive characterization in the industry.
The Human Protein Atlas project can be subdivided into three efforts: Human Tissue Atlas, Cancer Atlas, and Human Cell Atlas. The antibodies that have been generated in support of the Tissue and Cancer Atlas projects have been tested by immunohistochemistry against hundreds of normal and disease tissues and through the recent efforts of the Human Cell Atlas project, many have been characterized by immunofluorescence to map the human proteome not only at the tissue level but now at the subcellular level. These images and the collection of this vast data set can be viewed on the Human Protein Atlas (HPA) site by clicking on the Image Gallery link. We also provide Prestige Antibodies® protocols and other useful information.
The Human Protein Atlas project can be subdivided into three efforts: Human Tissue Atlas, Cancer Atlas, and Human Cell Atlas. The antibodies that have been generated in support of the Tissue and Cancer Atlas projects have been tested by immunohistochemistry against hundreds of normal and disease tissues and through the recent efforts of the Human Cell Atlas project, many have been characterized by immunofluorescence to map the human proteome not only at the tissue level but now at the subcellular level. These images and the collection of this vast data set can be viewed on the Human Protein Atlas (HPA) site by clicking on the Image Gallery link. We also provide Prestige Antibodies® protocols and other useful information.
Biochem/physiol Actions
S100 calcium binding protein A2 (S100A2) is critical for physiological processes including cell differentiation. It interacts with protein 53 (p53) and is inactivated by oxidative stress. S100A2 is oxidized at its cysteine residue forming homodimers during oxidative stress in keratinocytes. Methylation in the promoter region of S100A2 leads to downregulated expression of protein in breast cancer. However, it is highly expressed in non-small cell lung cancer (NSCLC). S100A2 is implicated in the bile cancer tumor progression. S100A2 is highly expressed and is a key player in metastasis of stage I and II of colorectal cancer.
Features and Benefits
Prestige Antibodies® are highly characterized and extensively validated antibodies with the added benefit of all available characterization data for each target being accessible via the Human Protein Atlas portal linked just below the product name at the top of this page. The uniqueness and low cross-reactivity of the Prestige Antibodies® to other proteins are due to a thorough selection of antigen regions, affinity purification, and stringent selection. Prestige antigen controls are available for every corresponding Prestige Antibody and can be found in the linkage section.
Every Prestige Antibody is tested in the following ways:
Every Prestige Antibody is tested in the following ways:
- IHC tissue array of 44 normal human tissues and 20 of the most common cancer type tissues.
- Protein array of 364 human recombinant protein fragments.
Physical form
Solution in phosphate buffered saline, pH 7.2, containing 40% glycerol and 0.02% sodium azide.
Other Notes
Corresponding Antigen APREST87966
Legal Information
Prestige Antibodies is a registered trademark of Merck KGaA, Darmstadt, Germany
Disclaimer
Unless otherwise stated in our catalog or other company documentation accompanying the product(s), our products are intended for research use only and are not to be used for any other purpose, which includes but is not limited to, unauthorized commercial uses, in vitro diagnostic uses, ex vivo or in vivo therapeutic uses or any type of consumption or application to humans or animals.
未找到合适的产品?
试试我们的产品选型工具.
存储类别
10 - Combustible liquids
wgk
WGK 1
flash_point_f
Not applicable
flash_point_c
Not applicable
法规信息
新产品
此项目有
Overexpression of the S100A2 protein as a prognostic marker for patients with stage II and III colorectal cancer
Masuda, T, et al.
International Journal of Oncology, 48(3), 975-982 (2016)
Comparative proteomic analysis of human cholangiocarcinoma cell lines: S100A2 as a potential candidate protein inducer of invasion
Wasuworawong K, et al.
Disease Markers, 2015(4), 243-254 (2015)
Repression of the candidate tumor suppressor gene S100A2 in breast cancer is mediated by site-specific hypermethylation
Wicki R, et al.
Cell Calcium, 22(4), 243-254 (1997)
Distinct subcellular localization of calcium binding S100 proteins in human smooth muscle cells and their relocation in response to rises in intracellular calcium
Mandinova A, et al.
Journal of Cell Science, 111(14), 2043-2054 (1998)
Oxidative stress impairs the stimulatory effect of S100 proteins on protein phosphatase 5 activity
Yamaguchi F, et al.
The Tohoku Journal of Experimental Medicine, 240(1), 67-78 (2016)
我们的科学家团队拥有各种研究领域经验,包括生命科学、材料科学、化学合成、色谱、分析及许多其他领域.
联系客户支持