biological source
rabbit
conjugate
unconjugated
antibody form
affinity isolated antibody
antibody product type
primary antibodies
clone
polyclonal
product line
Prestige Antibodies® Powered by Atlas Antibodies
form
buffered aqueous glycerol solution
species reactivity
human
technique(s)
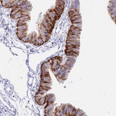
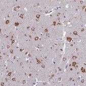
immunohistochemistry: 1:50- 1:200
immunogen sequence
LKRCRSAQVLHLYGATYSADGEDRARCSAGAHTLLVQLPERTVLLDAYSEHLAAALCTNPNLIELSLYRNALGS
UniProt accession no.
shipped in
wet ice
storage temp.
−20°C
target post-translational modification
unmodified
Quality Level
Gene Information
human ... NLRP12(91662)
General description
NLR family pyrin domain containing 12 (NLRP12), also known as PYRIN-containing Apaf1-like protein 7 (PYPAF7), is a novel PYPAF protein and is a member of CATERPILLER protein family. It is encoded by the gene mapped to human chromosome 19q13.4. The protein is specifically expressed in immune cells.
Immunogen
NLR family, pyrin domain containing 12 recombinant protein epitope signature tag (PrEST)
Application
All Prestige Antibodies Powered by Atlas Antibodies are developed and validated by the Human Protein Atlas (HPA) project and as a result, are supported by the most extensive characterization in the industry.
The Human Protein Atlas project can be subdivided into three efforts: Human Tissue Atlas, Cancer Atlas, and Human Cell Atlas. The antibodies that have been generated in support of the Tissue and Cancer Atlas projects have been tested by immunohistochemistry against hundreds of normal and disease tissues and through the recent efforts of the Human Cell Atlas project, many have been characterized by immunofluorescence to map the human proteome not only at the tissue level but now at the subcellular level. These images and the collection of this vast data set can be viewed on the Human Protein Atlas (HPA) site by clicking on the Image Gallery link. We also provide Prestige Antibodies® protocols and other useful information.
The Human Protein Atlas project can be subdivided into three efforts: Human Tissue Atlas, Cancer Atlas, and Human Cell Atlas. The antibodies that have been generated in support of the Tissue and Cancer Atlas projects have been tested by immunohistochemistry against hundreds of normal and disease tissues and through the recent efforts of the Human Cell Atlas project, many have been characterized by immunofluorescence to map the human proteome not only at the tissue level but now at the subcellular level. These images and the collection of this vast data set can be viewed on the Human Protein Atlas (HPA) site by clicking on the Image Gallery link. We also provide Prestige Antibodies® protocols and other useful information.
Biochem/physiol Actions
NLR family pyrin domain containing 12 (NLRP12) plays a vital role in regulation of inflammatory signaling pathways by controlling the activation of NF-ΚB and cytokine processing. Variation in the gene expression leads to hereditary periodic fever syndromes. NLRP12 regulates intestinal homeostasis and delivers protection against colorectal tumorigenesis.
Features and Benefits
Prestige Antibodies® are highly characterized and extensively validated antibodies with the added benefit of all available characterization data for each target being accessible via the Human Protein Atlas portal linked just below the product name at the top of this page. The uniqueness and low cross-reactivity of the Prestige Antibodies® to other proteins are due to a thorough selection of antigen regions, affinity purification, and stringent selection. Prestige antigen controls are available for every corresponding Prestige Antibody and can be found in the linkage section.
Every Prestige Antibody is tested in the following ways:
Every Prestige Antibody is tested in the following ways:
- IHC tissue array of 44 normal human tissues and 20 of the most common cancer type tissues.
- Protein array of 364 human recombinant protein fragments.
Physical form
Solution in phosphate buffered saline, pH 7.2, containing 40% glycerol and 0.02% sodium azide.
Other Notes
Corresponding Antigen APREST82718
Legal Information
Prestige Antibodies is a registered trademark of Merck KGaA, Darmstadt, Germany
Disclaimer
Unless otherwise stated in our catalog or other company documentation accompanying the product(s), our products are intended for research use only and are not to be used for any other purpose, which includes but is not limited to, unauthorized commercial uses, in vitro diagnostic uses, ex vivo or in vivo therapeutic uses or any type of consumption or application to humans or animals.
未找到合适的产品?
试试我们的产品选型工具.
存储类别
10 - Combustible liquids
wgk
WGK 1
flash_point_f
Not applicable
flash_point_c
Not applicable
法规信息
新产品
此项目有
Nidhi Sharma et al.
Scientific reports, 9(1), 8480-8480 (2019-06-13)
Gliomas are the most prevalent primary brain tumors with immense clinical heterogeneity, poor prognosis and survival. The nucleotide-binding domain, and leucine-rich repeat containing receptors (NLRs) and absent-in-melanoma 2 (AIM2) are innate immune receptors crucial for initiation and progression of several
PYPAF7, a novel PYRIN-containing Apaf1-like protein that regulates activation of NF-kappa B and caspase-1-dependent cytokine processing.
Wang L
The Journal of Biological Chemistry null
The NOD-like receptor NLRP12 attenuates colon inflammation and tumorigenesis.
Zaki MH
Cancer Cell null
Mutations in NALP12 cause hereditary periodic fever syndromes.
Jeru I
Proceedings of the National Academy of Sciences of the USA null
Study on the inflammasome nlrp3 and blimp-1/nlrp12 after keratinocyte exposure to contact allergens.
Valentina Galbiati et al.
Toxicology letters, 313, 130-136 (2019-07-06)
We previously demonstrated that based on their potency, contact allergens differently modulate Blimp-1/NLRP12 expression in human keratinocytes, with the extreme allergen 2,4-dinitrochlorobenzene (DNCB) more rapidly upregulating Blimp-1, leading to downregulation of NLRP12, and to the production of interleukin-18 (IL-18). The
我们的科学家团队拥有各种研究领域经验,包括生命科学、材料科学、化学合成、色谱、分析及许多其他领域.
联系客户支持