跳转至内容
Merck
CN

HPA042727

抗 SLC10A1 兔抗

Prestige Antibodies® Powered by Atlas Antibodies, affinity isolated antibody, buffered aqueous glycerol solution

别名:

抗 NTCP, 抗 溶质载体家族 10(钠/胆汁酸协同转运蛋白家族),成员 1

登录 查看组织和合同定价。

选择尺寸


关于此项目

UNSPSC Code:
12352203
Human Protein Atlas Number:
Conjugate:
unconjugated
Clone:
polyclonal
Application:
IHC
Citations:
21
技术服务
需要帮助?我们经验丰富的科学家团队随时乐意为您服务。
让我们为您提供帮助
技术服务
需要帮助?我们经验丰富的科学家团队随时乐意为您服务。
让我们为您提供帮助

biological source

rabbit

conjugate

unconjugated

antibody form

affinity isolated antibody

antibody product type

primary antibodies

clone

polyclonal

product line

Prestige Antibodies® Powered by Atlas Antibodies

form

buffered aqueous glycerol solution

species reactivity

human

technique(s)

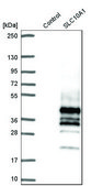
immunoblotting: 0.4 μg/mL, immunohistochemistry: 1:1000- 1:2500

immunogen sequence

CYEKFKTPKDKTKMIYTAATTEETIPGALGNGTYKGE

UniProt accession no.

shipped in

wet ice

storage temp.

−20°C

target post-translational modification

unmodified

Gene Information

human ... SLC10A1(6554)

General description

基因 SLC10A1(溶质载体家族10成员1)定位于人类染色体 14q24.2上。它主要在肝细胞中表达。
SLC10A1 蛋白与以下物质相互作用:
C11ORF74(抗-C11ORF74 HPA044880

Immunogen

溶质载体家族 10(钠/胆汁酸协同转运蛋白家族),成员 1 重组蛋白表位特征标签 (PrEST)

Application

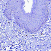
由Atlas Antibodies提供技术支持的所有Prestige Antibodies®抗体均由人类蛋白质图集(HPA)项目开发和验证。每种抗体都通过针对数百种正常和疾病组织的免疫组织化学进行测试。通过单击图像库链接,可以在人类蛋白质图谱(HPA)站点上查看这些图像。我们还提供Prestige Antibodies® 抗体的实验方案和其他有用信息。
兔抗 SLC10A1 抗体可用于免疫组化和免疫印迹。

Biochem/physiol Actions

SLC10A1 (溶质载体家族10成员10)是一种胆汁酸转运蛋白。它在胆汁酸的循环中起着重要作用。该基因的突变与高氯血症有关。SLC10A1 在 HBV(乙肝病毒)的入侵中起着重要作用,该基因的沉默抑制HBV感染。它可作为HBV中preS1 结构域的受体。

Features and Benefits

Prestige Antibodies®是经过高度表征和广泛验证的抗体,同时还有一个优点是其每个靶标的所有可用表征数据都可以通过位于此页面顶部产品名称下方的人类蛋白质图谱门户进行访问。Prestige Antibodies®对其他蛋白质的独特性和低交叉反应性是通过严密的抗原区域选择、亲和纯化和严格的选择来实现的。针对每一个Prestige Antibody都存在有对应的Prestige抗原对照,并可在链接区域内找到。

每个Prestige Antibody都是按照以下方法进行测试的:
  • 44例正常人类组织以及20例最常见癌症类型组织的IHC组织阵列。
  • 364个人类重组蛋白片段的蛋白阵列。

Physical form

溶于含 40% 甘油和 0.02% 叠氮化钠的磷酸盐缓冲液 (pH 7.2) 中。

Other Notes

对应抗原APREST83919

Legal Information

Prestige Antibodies is a registered trademark of Merck KGaA, Darmstadt, Germany

Disclaimer

除非我们的产品目录或产品随附的其他公司文件中另有说明,否则我们的产品仅用于研究用途,不得用于任何其他目的,包括但不限于未经授权的商业用途、体外诊断用途、体外或体内治疗用途或任何类型的人类或动物消费或应用。

未找到合适的产品?  

试试我们的产品选型工具.

存储类别

10 - Combustible liquids

wgk

WGK 1

flash_point_f

Not applicable

flash_point_c

Not applicable

法规信息

常规特殊物品
低风险生物材料
此项目有

历史批次信息供参考:

分析证书(COA)

Lot/Batch Number

没有发现合适的版本?

如果您需要特殊版本,可通过批号或批次号查找具体证书。

已有该产品?

在文件库中查找您最近购买产品的文档。

访问文档库

Shuji Hinuma et al.
Viruses, 14(1) (2022-01-23)
(1) Background: The myristoylated pre-S1 peptide (Myr47) synthesized to mimic pre-S1 domain (2-48) in large (L) surface protein of hepatitis B virus (HBV) prevents HBV infection to hepatocytes by binding to sodium taurocholate cotransporting polypeptide (NTCP). We previously demonstrated that
Ming Zhou et al.
Molecular medicine reports, 20(4), 3820-3828 (2019-09-06)
Primary human hepatocytes (PHHs) are the 'gold standard' for investigating hepatitis B virus (HBV) infection and antiviral drugs. However, poor availability, variation between batches and ethical issues regarding PHHs limit their applications. The discovery of human sodium taurocholate co‑transporting polypeptide
Ming Zhou et al.
Virologica Sinica, 32(6), 465-475 (2017-10-04)
Feasible and effective cell models for hepatitis B virus (HBV) infection are required for investigating the complete lifecycle of this virus, including the early steps of viral entry. Resistance to dimethyl sulfoxide/polyethylene glycol (DMSO/PEG), hNTCP expression, and a differentiated state
Tasuku Nakabori et al.
Scientific reports, 6, 27782-27782 (2016-06-10)
Sodium taurocholate cotransporting polypeptide (NTCP) is a recently discovered hepatitis B virus (HBV) receptor. In the present study, we used TK-NOG mice with a humanized liver to examine the impact of endogenous NTCP expression on HBV infection. Upon inoculation with
Bo Qin et al.
Oncology reports, 43(1), 296-305 (2019-11-21)
As a member of the liver tropic virus family, hepatitis B virus (HBV) was thought to only infect and replicate within the liver. Sodium taurocholate co‑transporting polypeptide (NTCP) has been identified as a functional cellular receptor and a major determinant of

我们的科学家团队拥有各种研究领域经验,包括生命科学、材料科学、化学合成、色谱、分析及许多其他领域.

联系客户支持