跳转至内容
Merck
CN

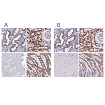
HPA040979

抗-OCIAD2 兔抗

Prestige Antibodies® Powered by Atlas Antibodies, affinity isolated antibody, buffered aqueous glycerol solution

别名:

抗-Mgc45416, 抗Ocia域包含2

登录 查看组织和合同定价。

选择尺寸


关于此项目

UNSPSC Code:
12352203
NACRES:
NA.41
Human Protein Atlas Number:
Conjugate:
unconjugated
Clone:
polyclonal
Application:
IF, IHC
Citations:
4
技术服务
需要帮助?我们经验丰富的科学家团队随时乐意为您服务。
让我们为您提供帮助
技术服务
需要帮助?我们经验丰富的科学家团队随时乐意为您服务。
让我们为您提供帮助

biological source

rabbit

conjugate

unconjugated

antibody form

affinity isolated antibody

antibody product type

primary antibodies

clone

polyclonal

product line

Prestige Antibodies® Powered by Atlas Antibodies

form

buffered aqueous glycerol solution

species reactivity

human

enhanced validation

independent
orthogonal RNAseq
Learn more about Antibody Enhanced Validation

technique(s)

immunoblotting: 0.04-0.4 μg/mL, immunofluorescence: 0.25-2 μg/mL, immunohistochemistry: 1:500-1:1000

immunogen sequence

GVCQSKFHFFEDQLRGAGFGPQHNRHCLLTCEECKIKHGLSEKGDSQPSAS

UniProt accession no.

shipped in

wet ice

storage temp.

−20°C

target post-translational modification

unmodified

Quality Level

Gene Information

human ... OCIAD2(132299)

正在寻找类似产品? 访问 产品对比指南

General description

OCIA结构域蛋白2(OCIAD2)由定位到人染色体4p11的基因编码。编码的蛋白属于OCIA结构域家族。

Immunogen

OCIA结构域蛋白2重组蛋白质表位标签(PrEST)

Application

由Atlas Antibodies提供技术支持的所有Prestige Antibodies抗体均由人类蛋白质图集(HPA)项目开发和验证,因此受到业内最广泛的表征支持。

人类蛋白质图集项目可以分为三大部分: 人体组织图谱、癌症图谱和人类细胞图谱。在组织和癌症图谱项目支持下产生的抗体已通过对数百种正常和疾病组织的免疫组织化学分析得到了验证,并且通过近期人类细胞图谱项目的努力,许多抗体已经过免疫荧光分析的表征,从而绘制人类蛋白质组图谱,不仅是在组织水平上,现在已经达到亚细胞水平。在人类蛋白质图集项目网站上单击图像库链接,可以查看这些图像和庞大的数据集。我们还提供Prestige Antibodies® 抗体的实验方案和其他有用信息。

Biochem/physiol Actions

OCIA结构域蛋白2(OCIAD2)与呆蛋白相互作用并激活刺激淀粉样蛋白β(Aβ)生成的γ分泌酶。OCIAD2的过表达与卵巢粘液性肿瘤的发病机制有关。蛋白是预测肝母细胞瘤(HB)患者预后不良的生物标记物。

Features and Benefits

Prestige Antibodies®是经过高度表征和广泛验证的抗体,同时还有一个优点是其每个靶标的所有可用表征数据都可以通过位于此页面顶部产品名称下方的人类蛋白质图谱门户进行访问。Prestige Antibodies®对其他蛋白质的独特性和低交叉反应性是通过严密的抗原区域选择、亲和纯化和严格的选择来实现的。每种Prestige 抗体都有相应的Prestige 抗原对照品,可在链接部分找到。

每种Prestige 抗体的检测方法如下:
  • 44种正常人体组织和20种最常见癌症组织的IHC组织阵列。
  • 364个人重组蛋白片段的蛋白阵列。

Physical form

磷酸盐缓冲盐水溶液,pH 7.2,含有 40% 甘油和 0.02% 叠氮化钠。

Other Notes

对应抗原APREST81983

Legal Information

Prestige Antibodies is a registered trademark of Merck KGaA, Darmstadt, Germany

Disclaimer

除非我们的产品目录或产品附带的其他公司文档另有说明,否则我们的产品仅供研究使用,不得用于任何其他目的,包括但不限于未经授权的商业用途、体外诊断用途、离体或体内治疗用途或任何类型的消费或应用于人类或动物。

未找到合适的产品?  

试试我们的产品选型工具.

存储类别

10 - Combustible liquids

wgk

WGK 1

flash_point_f

Not applicable

flash_point_c

Not applicable

法规信息

常规特殊物品
低风险生物材料
此项目有

历史批次信息供参考:

分析证书(COA)

Lot/Batch Number

没有发现合适的版本?

如果您需要特殊版本,可通过批号或批次号查找具体证书。

已有该产品?

在文件库中查找您最近购买产品的文档。

访问文档库

Tadashi Ishiyama et al.
Cancer science, 98(1), 50-57 (2006-10-24)
Although lung adenocarcinoma is a major cause of cancer death worldwide, details of its molecular carcinogenesis and stepwise progression are still unclear. To characterize the sequential progression from bronchioloalveolar adenocarcinoma of the lung (BAC, in situ carcinoma) to adenocarcinoma mixed
Yohan Kim et al.
Neurochemical research, 47(11), 3428-3439 (2022-07-30)
Extracellular vesicles (EVs) in the brain play a role in neuronal homeostasis by removing intracellular material and regulating cell-to-cell communication. Given that sex and aging differentially modulate brain networks, we investigated sex-dependent differences in EV levels and content in the
Shohei Honda et al.
Cancer science, 107(6), 812-819 (2016-03-19)
Hepatoblastoma (HB) is very rare but the most common malignant neoplasm of the liver occurring in children. Despite improvements in therapy, outcomes for patients with advanced HB that is refractory to standard preoperative chemotherapy remain unsatisfactory. To improve the survival
Jonghee Han et al.
Cellular and molecular life sciences : CMLS, 71(13), 2561-2576 (2013-11-26)
The gamma (γ)-secretase holoenzyme is composed of four core proteins and cleaves APP to generate amyloid beta (Aβ), a key molecule that causes major neurotoxicity during the early stage of Alzheimer's disease (AD). However, despite its important role in Aβ

我们的科学家团队拥有各种研究领域经验,包括生命科学、材料科学、化学合成、色谱、分析及许多其他领域.

联系客户支持