biological source
rabbit
conjugate
unconjugated
antibody form
affinity isolated antibody
antibody product type
primary antibodies
clone
polyclonal
product line
Prestige Antibodies® Powered by Atlas Antibodies
form
buffered aqueous glycerol solution
species reactivity
human
enhanced validation
orthogonal RNAseq
Learn more about Antibody Enhanced Validation
technique(s)
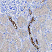
immunoblotting: 0.4 μg/mL, immunohistochemistry: 1:200- 1:500
immunogen sequence
IYSVELSGTKDIVKTDKGDGKEKYRGLKNNCLELKKKNHKEEFQKELHLDDHKLSNRELEEKYGTDIIMGLSSTR
UniProt accession no.
shipped in
wet ice
storage temp.
−20°C
target post-translational modification
unmodified
Quality Level
Gene Information
human ... ATP12A(479)
General description
The ATPase H+/K+ transporting non-gastricα2 subunit (ATP12A) gene, with 23 exons and 22 introns spanning 32kb of genomic DNA, is mapped to human chromosome 13q12.1-q12.3. ATP12A is a member of P-type cation transport ATPases family. The gene encodes the catalytic alpha subunit of Na+/K+-ATPase, which is ubiquitously expressed.
Immunogen
ATPase, H+/K+ transporting, nongastric, alpha polypeptide recombinant protein epitope signature tag (PrEST)
Application
All Prestige Antibodies Powered by Atlas Antibodies are developed and validated by the Human Protein Atlas (HPA) project and as a result, are supported by the most extensive characterization in the industry.
The Human Protein Atlas project can be subdivided into three efforts: Human Tissue Atlas, Cancer Atlas, and Human Cell Atlas. The antibodies that have been generated in support of the Tissue and Cancer Atlas projects have been tested by immunohistochemistry against hundreds of normal and disease tissues and through the recent efforts of the Human Cell Atlas project, many have been characterized by immunofluorescence to map the human proteome not only at the tissue level but now at the subcellular level. These images and the collection of this vast data set can be viewed on the Human Protein Atlas (HPA) site by clicking on the Image Gallery link. We also provide Prestige Antibodies® protocols and other useful information.
The Human Protein Atlas project can be subdivided into three efforts: Human Tissue Atlas, Cancer Atlas, and Human Cell Atlas. The antibodies that have been generated in support of the Tissue and Cancer Atlas projects have been tested by immunohistochemistry against hundreds of normal and disease tissues and through the recent efforts of the Human Cell Atlas project, many have been characterized by immunofluorescence to map the human proteome not only at the tissue level but now at the subcellular level. These images and the collection of this vast data set can be viewed on the Human Protein Atlas (HPA) site by clicking on the Image Gallery link. We also provide Prestige Antibodies® protocols and other useful information.
Applications in which this antibody has been used successfully, and the associated peer-reviewed papers, are given below.
Western Blotting (1 paper) and immunofluorescence.
Western Blotting (1 paper) and immunofluorescence.
Biochem/physiol Actions
ATPase H+/K+ transporting non-gastric α2 subunit (ATP12A) plays a vital role in the regulation of acid-base and K+ homeostasis in the kidney and colon. In addition, it also aids acidification of prostate secretions in the anterior lobe of the organ and transepithelial bicarbonate secretion in the ducts of the exocrine pancreas. ATP12A mutations might affect myocardial Na+ handling and subsequently myocardial function. Overexpression of ATP12A has been observed in human colorectal carcinoma.
Features and Benefits
Prestige Antibodies® are highly characterized and extensively validated antibodies with the added benefit of all available characterization data for each target being accessible via the Human Protein Atlas portal linked just below the product name at the top of this page. The uniqueness and low cross-reactivity of the Prestige Antibodies® to other proteins are due to a thorough selection of antigen regions, affinity purification, and stringent selection. Prestige antigen controls are available for every corresponding Prestige Antibody and can be found in the linkage section.
Every Prestige Antibody is tested in the following ways:
Every Prestige Antibody is tested in the following ways:
- IHC tissue array of 44 normal human tissues and 20 of the most common cancer type tissues.
- Protein array of 364 human recombinant protein fragments.
Physical form
Solution in phosphate buffered saline, pH 7.2, containing 40% glycerol and 0.02% sodium azide.
Other Notes
Corresponding Antigen APREST81283.
Legal Information
Prestige Antibodies is a registered trademark of Merck KGaA, Darmstadt, Germany
Disclaimer
Unless otherwise stated in our catalog or other company documentation accompanying the product(s), our products are intended for research use only and are not to be used for any other purpose, which includes but is not limited to, unauthorized commercial uses, in vitro diagnostic uses, ex vivo or in vivo therapeutic uses or any type of consumption or application to humans or animals.
未找到合适的产品?
试试我们的产品选型工具.
存储类别
12 - Non Combustible Liquids
wgk
WGK 1
flash_point_f
Not applicable
flash_point_c
Not applicable
法规信息
新产品
此项目有
The putative role of the non-gastric H?/K?-ATPase ATP12A (ATP1AL1) as anti-apoptotic ion transporter: effect of the H?/K? ATPase inhibitor SCH28080 on butyrate-stimulated myelomonocytic HL-60 cells.
Jakab M
Cellular Physiology and Biochemistry, 34, 1507-1526 (2014)
Left ventricular diastolic function associated with common genetic variation in ATP12A in a general population.
Knez J
BMC Medical Genetics (2014)
Goblet Cell Hyperplasia Requires High Bicarbonate Transport To Support Mucin Release.
Gorrieri G
Scientific Reports (2016)
Expression of the non-gastric H+/K+ ATPase ATP12A in normal and pathological human prostate tissue.
Streif D
Cellular Physiology and Biochemistry, 28, 1287-1294 (2011)
Giulia Gorrieri et al.
Scientific reports, 6, 36016-36016 (2016-10-28)
Goblet cell hyperplasia, a feature of asthma and other respiratory diseases, is driven by the Th-2 cytokines IL-4 and IL-13. In human bronchial epithelial cells, we find that IL-4 induces the expression of many genes coding for ion channels and
我们的科学家团队拥有各种研究领域经验,包括生命科学、材料科学、化学合成、色谱、分析及许多其他领域.
联系客户支持