跳转至内容
Merck
CN

HPA038389

Anti-ARHGAP32 antibody produced in rabbit

Prestige Antibodies® Powered by Atlas Antibodies, affinity isolated antibody, buffered aqueous glycerol solution

别名:

Anti-GC-GAP, Anti-GRIT, Anti-KIAA0712, Anti-MGC1892, Anti-RICS, Anti-Rho GTPase activating protein 32

登录 查看组织和合同定价。

选择尺寸


关于此项目

UNSPSC Code:
12352203
NACRES:
NA.43
Human Protein Atlas Number:
Conjugate:
unconjugated
Clone:
polyclonal
Application:
IF, IHC
Citations:
4
技术服务
需要帮助?我们经验丰富的科学家团队随时乐意为您服务。
让我们为您提供帮助
技术服务
需要帮助?我们经验丰富的科学家团队随时乐意为您服务。
让我们为您提供帮助

biological source

rabbit

conjugate

unconjugated

antibody form

affinity isolated antibody

antibody product type

primary antibodies

clone

polyclonal

product line

Prestige Antibodies® Powered by Atlas Antibodies

form

buffered aqueous glycerol solution

species reactivity

human

technique(s)

immunofluorescence: 0.25-2 μg/mL, immunohistochemistry: 1:50-1:200

immunogen sequence

ERDPSVLYQYQPHGKRQSSVTVVSQYDNLEDYHSLPQHQRGVFGGGGMGTYVPPGFPHPQSRTYATALGQGAFLPAELSLQHPETQIHAE

UniProt accession no.

shipped in

wet ice

storage temp.

−20°C

target post-translational modification

unmodified

Quality Level

Gene Information

human ... ARHGAP32(9743)

正在寻找类似产品? 访问 产品对比指南

General description

Rho GTPase activating protein 32 (ARHGAP32) is encoded by the RICS gene mapped to human chromosome 11q24.3. RICS exists in two isoforms; RICS is expressed specifically in the brain in humans, whereas, PX-RICS is expressed in several tissues but at high levels in the brain. PX-RICS is characterized by a N-terminal src homology 3 (SH3) and a phox-homology (PX) domain mainly involved in binding phosphatidylinositol-4-phosphate (PI4P).

Immunogen

Rho GTPase activating protein 32 recombinant protein epitope signature tag (PrEST)

Application

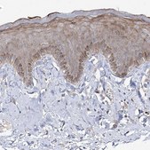
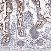
All Prestige Antibodies Powered by Atlas Antibodies are developed and validated by the Human Protein Atlas (HPA) project and as a result, are supported by the most extensive characterization in the industry. The Human Protein Atlas project can be subdivided into three efforts: Human Tissue Atlas, Cancer Atlas, and Human Cell Atlas. The antibodies that have been generated in support of the Tissue and Cancer Atlas projects have been tested by immunohistochemistry against hundreds of normal and disease tissues and through the recent efforts of the Human Cell Atlas project, many have been characterized by immunofluorescence to map the human proteome not only at the tissue level but now at the subcellular level. These images and the collection of this vast data set can be viewed on the Human Protein Atlas (HPA) site by clicking on the Image Gallery link. We also provide Prestige Antibodies® protocols and other useful information.

Biochem/physiol Actions

Rho GTPase activating protein 32 (ARHGAP32)/RICS, is a GTPase-activating protein that plays a vital role in the maintenance of dendritic spine morphology and strength by regulating Rho GTPases. Mutation in the gene leads to alexithymia. ARHGAP32 plays a crucial role in the regulation of various neural functions, including postsynaptic N-methyl-D-aspartate (NMDA) signaling and neurite outgrowth.

Features and Benefits

Prestige Antibodies® are highly characterized and extensively validated antibodies with the added benefit of all available characterization data for each target being accessible via the Human Protein Atlas portal linked just below the product name at the top of this page. The uniqueness and low cross-reactivity of the Prestige Antibodies® to other proteins are due to a thorough selection of antigen regions, affinity purification, and stringent selection. Prestige antigen controls are available for every corresponding Prestige Antibody and can be found in the linkage section.

Every Prestige Antibody is tested in the following ways:
  • IHC tissue array of 44 normal human tissues and 20 of the most common cancer type tissues.
  • Protein array of 364 human recombinant protein fragments.

Physical form

Solution in phosphate buffered saline, pH 7.2, containing 40% glycerol and 0.02% sodium azide.

Other Notes

Corresponding Antigen APREST80592

Legal Information

Prestige Antibodies is a registered trademark of Merck KGaA, Darmstadt, Germany

Disclaimer

Unless otherwise stated in our catalog or other company documentation accompanying the product(s), our products are intended for research use only and are not to be used for any other purpose, which includes but is not limited to, unauthorized commercial uses, in vitro diagnostic uses, ex vivo or in vivo therapeutic uses or any type of consumption or application to humans or animals.

未找到合适的产品?  

试试我们的产品选型工具.

存储类别

10 - Combustible liquids

wgk

WGK 1

flash_point_f

Not applicable

flash_point_c

Not applicable

法规信息

低风险生物材料
常规特殊物品
此项目有

历史批次信息供参考:

分析证书(COA)

Lot/Batch Number

没有发现合适的版本?

如果您需要特殊版本,可通过批号或批次号查找具体证书。

已有该产品?

在文件库中查找您最近购买产品的文档。

访问文档库

PX-RICS, a novel splicing variant of RICS, is a main isoform expressed during neural development.
Hayashi T
Genes Cells, 12, 929-939 (2007)
Analysis of functional variants reveals new candidate genes associated with alexithymia.
Mezzavilla M
Psychiatry Research, 227, 363-365 (2015)
PX-RICS-deficient mice mimic autism spectrum disorder in Jacobsen syndrome through impaired GABAA receptor trafficking.
Nakamura T
Nature Communications (2016)
RICS, a novel GTPase-activating protein for Cdc42 and Rac1, is involved in the beta-catenin-N-cadherin and N-methyl-D-aspartate receptor signaling.
Okabe T
The Journal of Biological Chemistry, 278, 9920-9927 (2003)

我们的科学家团队拥有各种研究领域经验,包括生命科学、材料科学、化学合成、色谱、分析及许多其他领域.

联系客户支持