biological source
rabbit
conjugate
unconjugated
antibody form
affinity isolated antibody
antibody product type
primary antibodies
clone
polyclonal
product line
Prestige Antibodies® Powered by Atlas Antibodies
form
buffered aqueous glycerol solution
species reactivity
human
enhanced validation
orthogonal RNAseq
Learn more about Antibody Enhanced Validation
technique(s)
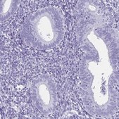
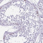
immunohistochemistry: 1:200- 1:500
immunogen sequence
TLGGDSTFFKSFNKCTEDDFEFPFAKTNLSKNGENIDSDPALQKVNFLPVLEQVGNSDCHYQEGLKDSDLENSEGLSRVYSKLYKEAEKIKKWKVSTEAELRQKESKLQENRKIIEAQRKAIQEL
UniProt accession no.
shipped in
wet ice
storage temp.
−20°C
target post-translational modification
unmodified
Quality Level
Gene Information
human ... SYCP1(6847)
正在寻找类似产品? 访问 产品对比指南
General description
The gene SYCP1 (synaptonemal complex protein 1) is mapped to human chromosome 1p13-p12.
Immunogen
Synaptonemal complex protein 1 recombinant protein epitope signature tag (PrEST)
Application
All Prestige Antibodies Powered by Atlas Antibodies are developed and validated by the Human Protein Atlas (HPA) project and as a result, are supported by the most extensive characterization in the industry.
The Human Protein Atlas project can be subdivided into three efforts: Human Tissue Atlas, Cancer Atlas, and Human Cell Atlas. The antibodies that have been generated in support of the Tissue and Cancer Atlas projects have been tested by immunohistochemistry against hundreds of normal and disease tissues and through the recent efforts of the Human Cell Atlas project, many have been characterized by immunofluorescence to map the human proteome not only at the tissue level but now at the subcellular level. These images and the collection of this vast data set can be viewed on the Human Protein Atlas (HPA) site by clicking on the Image Gallery link. We also provide Prestige Antibodies® protocols and other useful information.
The Human Protein Atlas project can be subdivided into three efforts: Human Tissue Atlas, Cancer Atlas, and Human Cell Atlas. The antibodies that have been generated in support of the Tissue and Cancer Atlas projects have been tested by immunohistochemistry against hundreds of normal and disease tissues and through the recent efforts of the Human Cell Atlas project, many have been characterized by immunofluorescence to map the human proteome not only at the tissue level but now at the subcellular level. These images and the collection of this vast data set can be viewed on the Human Protein Atlas (HPA) site by clicking on the Image Gallery link. We also provide Prestige Antibodies® protocols and other useful information.
Biochem/physiol Actions
SYCP1 (synaptonemal complex protein 1) regulates meiosis during gametogenesis. In meiosis, the synaptonemal complex contains two lateral elements (LEs) joined by transverse filaments. SYCP1 is a component of transverse filaments and plays a crucial role in connecting gap between the LE and CE (central element). It is up-regulated in cutaneous T-cell lymphoma (CTCL) and some nasopharyngeal carcinoma.
Features and Benefits
Prestige Antibodies® are highly characterized and extensively validated antibodies with the added benefit of all available characterization data for each target being accessible via the Human Protein Atlas portal linked just below the product name at the top of this page. The uniqueness and low cross-reactivity of the Prestige Antibodies® to other proteins are due to a thorough selection of antigen regions, affinity purification, and stringent selection. Prestige antigen controls are available for every corresponding Prestige Antibody and can be found in the linkage section.
Every Prestige Antibody is tested in the following ways:
Every Prestige Antibody is tested in the following ways:
- IHC tissue array of 44 normal human tissues and 20 of the most common cancer type tissues.
- Protein array of 364 human recombinant protein fragments.
Physical form
Solution in phosphate-buffered saline, pH 7.2, containing 40% glycerol and 0.02% sodium azide
Other Notes
Corresponding Antigen APREST74749
Legal Information
Prestige Antibodies is a registered trademark of Merck KGaA, Darmstadt, Germany
Disclaimer
Unless otherwise stated in our catalog or other company documentation accompanying the product(s), our products are intended for research use only and are not to be used for any other purpose, which includes but is not limited to, unauthorized commercial uses, in vitro diagnostic uses, ex vivo or in vivo therapeutic uses or any type of consumption or application to humans or animals.
未找到合适的产品?
试试我们的产品选型工具.
存储类别
10 - Combustible liquids
wgk
WGK 1
flash_point_f
Not applicable
flash_point_c
Not applicable
法规信息
新产品
此项目有
Min Yi et al.
Lin chuang er bi yan hou tou jing wai ke za zhi = Journal of clinical otorhinolaryngology, head, and neck surgery, 21(8), 343-345 (2007-07-05)
To investigate the gene expression of Cancer-Testis Antigen SCP-1 in human nasopharyngeal carcinoma. The SCP-1 mRNA were examined in the tumor tissues of 28 nasopharyngeal carcinoma cases and control pharynx vasitis tissues of 40 non-cancer cases by reverse transcriptase polymerase
Two novel proteins recruited by synaptonemal complex protein 1 (SYCP1) are at the centre of meiosis.
Yael Costa et al.
Journal of cell science, 118(Pt 12), 2755-2762 (2005-06-10)
Completion of meiosis in mammals depends on the formation of the synaptonemal complex, a tripartite structure that physically links homologous chromosomes during prophase I. Several components of the synaptonemal complex are known, including constituents of the cohesin core, the axial/lateral
Koji Okudela et al.
Pathology international, 60(10), 651-660 (2010-09-18)
Lung cancer, like other cancers, is considered to develop through the accumulation of genetic alterations. Mutation of the KRAS gene is one of the most important events in carcinogenesis of the lung. The KRAS gene, belonging to the RAS gene
Ivan V Litvinov et al.
Clinical cancer research : an official journal of the American Association for Cancer Research, 20(14), 3799-3808 (2014-05-23)
The pathogenesis of cutaneous T-cell lymphoma (CTCL) remains only partially understood. A number of recent studies attempted to identify novel diagnostic markers and future therapeutic targets. One group of antigens, cancer-testis (CT) antigens, normally present solely in testicular germ cells
我们的科学家团队拥有各种研究领域经验,包括生命科学、材料科学、化学合成、色谱、分析及许多其他领域.
联系客户支持