biological source
rabbit
conjugate
unconjugated
antibody form
affinity isolated antibody
antibody product type
primary antibodies
clone
polyclonal
product line
Prestige Antibodies® Powered by Atlas Antibodies
form
buffered aqueous glycerol solution
species reactivity
rat, human
enhanced validation
orthogonal RNAseq
Learn more about Antibody Enhanced Validation
technique(s)
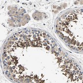
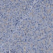
immunoblotting: 0.04-0.4 μg/mL, immunohistochemistry: 1:50-1:200
immunogen sequence
THAHHLRCLNDFVEAQMTYYAQCYQYMLDLQKQLGSFPSNYLSNNNQTSVTPVPSVLPNAIGSSAMASTSGLVITSPSNLSDLKECSGSRKARVLYDYDAANSTELSLLADEVITVFSVVGMDSD
UniProt accession no.
shipped in
wet ice
storage temp.
−20°C
target post-translational modification
unmodified
Quality Level
Gene Information
human ... SH3GLB1(51100)
正在寻找类似产品? 访问 产品对比指南
General description
SH3GLB1 (SH3-domain GRB2-like endophilin B1) is a pro-apoptotic Bax binding protein belonging to the endophilin B family. It consists of an N-BAR (Bin/Amphiphysin/Rvs) domain with lipid binding ability and a C-terminal SH3 domain with proline-rich region binding capacity.
Immunogen
Endophilin-B1 recombinant protein epitope signature tag (PrEST)
Application
All Prestige Antibodies Powered by Atlas Antibodies are developed and validated by the Human Protein Atlas (HPA) project and as a result, are supported by the most extensive characterization in the industry.
The Human Protein Atlas project can be subdivided into three efforts: Human Tissue Atlas, Cancer Atlas, and Human Cell Atlas. The antibodies that have been generated in support of the Tissue and Cancer Atlas projects have been tested by immunohistochemistry against hundreds of normal and disease tissues and through the recent efforts of the Human Cell Atlas project, many have been characterized by immunofluorescence to map the human proteome not only at the tissue level but now at the subcellular level. These images and the collection of this vast data set can be viewed on the Human Protein Atlas (HPA) site by clicking on the Image Gallery link. We also provide Prestige Antibodies® protocols and other useful information.
The Human Protein Atlas project can be subdivided into three efforts: Human Tissue Atlas, Cancer Atlas, and Human Cell Atlas. The antibodies that have been generated in support of the Tissue and Cancer Atlas projects have been tested by immunohistochemistry against hundreds of normal and disease tissues and through the recent efforts of the Human Cell Atlas project, many have been characterized by immunofluorescence to map the human proteome not only at the tissue level but now at the subcellular level. These images and the collection of this vast data set can be viewed on the Human Protein Atlas (HPA) site by clicking on the Image Gallery link. We also provide Prestige Antibodies® protocols and other useful information.
Biochem/physiol Actions
SH3GLB1 (SH3-domain GRB2-like endophilin B1) is a tumor suppressor gene associated with several activities such apoptosis, autophagy, and mitochondrial morphology. It also functions in the endocytic degradation of EGFR (epidermal growth factor receptor) and chemotactic migration in breast cancer cells. Deficiency of SH3GLB1 leads to suppressed programmed cell death and promotes tumorigenesis. It also delays EGFR degradation and sustains Erk1/2 activation in response to EGF stimulation. In breast cancer cells, it promotes EGFR degradation by regulating endosome maturation.
Features and Benefits
Prestige Antibodies® are highly characterized and extensively validated antibodies with the added benefit of all available characterization data for each target being accessible via the Human Protein Atlas portal linked just below the product name at the top of this page. The uniqueness and low cross-reactivity of the Prestige Antibodies® to other proteins are due to a thorough selection of antigen regions, affinity purification, and stringent selection. Prestige antigen controls are available for every corresponding Prestige Antibody and can be found in the linkage section.
Every Prestige Antibody is tested in the following ways:
Every Prestige Antibody is tested in the following ways:
- IHC tissue array of 44 normal human tissues and 20 of the most common cancer type tissues.
- Protein array of 364 human recombinant protein fragments.
Physical form
Solution in phosphate-buffered saline, pH 7.2, containing 40% glycerol and 0.02% sodium azide
Other Notes
Corresponding Antigen APREST72561
Legal Information
Prestige Antibodies is a registered trademark of Merck KGaA, Darmstadt, Germany
未找到合适的产品?
试试我们的产品选型工具.
存储类别
10 - Combustible liquids
wgk
WGK 1
flash_point_f
Not applicable
flash_point_c
Not applicable
法规信息
新产品
此项目有
Kristin B Runkle et al.
Cancer biology & therapy, 13(10), 956-966 (2012-07-13)
Dysregulation of EGFR expression and signaling is well documented to contribute to disease progression and metastasis in many types of cancer including breast cancer. EGF-stimulated EGFR activation leads to receptor internalization and endocytic degradation to control EGFR-mediated signaling. This process
Domenico Coppola et al.
Pancreas, 40(3), 433-437 (2011-02-02)
Bax-interacting factor 1 (Bif-1) protein plays a critical role in apoptosis, mitochondrial morphogenesis, and autophagy, and its loss promotes tumorigenesis. The role of Bif-1 in pancreatic cancer has not been studied. We determined Bif-1 expression in 82 human pancreatic ductal
Domenico Coppola et al.
Cancer, 113(10), 2665-2670 (2008-10-04)
Bax-interacting factor-1 (Bif-1) protein is a member of the endophilin B family that plays a critical role in apoptosis, autophagy, and mitochondrial morphology. Loss of Bif-1 suppresses programmed cell death and promotes tumorigenesis. The connection of Bif-1 to colorectal cancer
我们的科学家团队拥有各种研究领域经验,包括生命科学、材料科学、化学合成、色谱、分析及许多其他领域.
联系客户支持