biological source
rabbit
conjugate
unconjugated
antibody form
affinity isolated antibody
antibody product type
primary antibodies
clone
polyclonal
product line
Prestige Antibodies® Powered by Atlas Antibodies
form
buffered aqueous glycerol solution
species reactivity
human
enhanced validation
recombinant expression
Learn more about Antibody Enhanced Validation
technique(s)
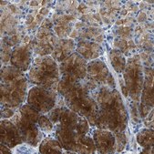
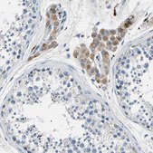
immunoblotting: 0.04-0.4 μg/mL, immunohistochemistry: 1:20-1:50
immunogen sequence
QDGDKLLEGDECAPHSQPWQVALYERGRFNCGASLISPHWVLSAAHCQSRFMRVRLGEHNLRKRDGPEQLRTTS
UniProt accession no.
shipped in
wet ice
storage temp.
−20°C
target post-translational modification
unmodified
Quality Level
Gene Information
human ... KLK15(55554)
General description
KLK15 (Kallikrein-related peptidase 15) is a novel trypsin-like serine protease belonging to the human kallikrein gene family. It possesses structural similarity with KLK3 (PSA). It is located on chromosome 19q13.4 adjacent to the KLK3 gene. It is highly expressed in thyroid, salivary, adrenal glands, prostate, and colon. It is secreted in seminal plasma and other fluids.
Immunogen
Kallikrein-15 Precursor recombinant protein epitope signature tag (PrEST)
Application
All Prestige Antibodies Powered by Atlas Antibodies are developed and validated by the Human Protein Atlas (HPA) project and as a result, are supported by the most extensive characterization in the industry.
The Human Protein Atlas project can be subdivided into three efforts: Human Tissue Atlas, Cancer Atlas, and Human Cell Atlas. The antibodies that have been generated in support of the Tissue and Cancer Atlas projects have been tested by immunohistochemistry against hundreds of normal and disease tissues and through the recent efforts of the Human Cell Atlas project, many have been characterized by immunofluorescence to map the human proteome not only at the tissue level but now at the subcellular level. These images and the collection of this vast data set can be viewed on the Human Protein Atlas (HPA) site by clicking on the Image Gallery link. We also provide Prestige Antibodies® protocols and other useful information.
The Human Protein Atlas project can be subdivided into three efforts: Human Tissue Atlas, Cancer Atlas, and Human Cell Atlas. The antibodies that have been generated in support of the Tissue and Cancer Atlas projects have been tested by immunohistochemistry against hundreds of normal and disease tissues and through the recent efforts of the Human Cell Atlas project, many have been characterized by immunofluorescence to map the human proteome not only at the tissue level but now at the subcellular level. These images and the collection of this vast data set can be viewed on the Human Protein Atlas (HPA) site by clicking on the Image Gallery link. We also provide Prestige Antibodies® protocols and other useful information.
Biochem/physiol Actions
KLK15 (Kallikrein-related peptidase 15) cleaves and converts pro-PSA (KLK3) into active PSA, which indicates it′s involvement in enzymatic cascade within the prostate. KLK15 expression has been reported upregulated in several types of cancers including prostate cancer and ovarian cancer. KLK15 has ability to acts as a diagnostic marker for breast, ovarian, and prostate cancer.
Features and Benefits
Prestige Antibodies® are highly characterized and extensively validated antibodies with the added benefit of all available characterization data for each target being accessible via the Human Protein Atlas portal linked just below the product name at the top of this page. The uniqueness and low cross-reactivity of the Prestige Antibodies® to other proteins are due to a thorough selection of antigen regions, affinity purification, and stringent selection. Prestige antigen controls are available for every corresponding Prestige Antibody and can be found in the linkage section.
Every Prestige Antibody is tested in the following ways:
Every Prestige Antibody is tested in the following ways:
- IHC tissue array of 44 normal human tissues and 20 of the most common cancer type tissues.
- Protein array of 364 human recombinant protein fragments.
Physical form
Solution in phosphate-buffered saline, pH 7.2, containing 40% glycerol and 0.02% sodium azide
Other Notes
Corresponding Antigen APREST74773
Legal Information
Prestige Antibodies is a registered trademark of Merck KGaA, Darmstadt, Germany
未找到合适的产品?
试试我们的产品选型工具.
存储类别
10 - Combustible liquids
wgk
WGK 1
flash_point_f
Not applicable
flash_point_c
Not applicable
法规信息
新产品
此项目有
Julie L V Shaw et al.
Clinical biochemistry, 40(1-2), 104-110 (2006-10-19)
Human kallikrein 15 (KLK15) may have some utility as a prostate, ovarian, and breast cancer biomarker, based on previous studies, which examined mRNA levels of KLK15. The aim of this study was to develop analytical technology for human kallikrein 15
Panagiota S Filippou et al.
Clinical biochemistry, 59, 78-85 (2018-07-01)
Human tissue kallikrein 15 (KLK15) is the latest member of the kallikrein-related peptidase family. Little is known about the pathophysiological roles of KLK15. Previous studies implied a role of KLK15 in prostate cancer. In the present study, we examined KLK15
G M Yousef et al.
British journal of cancer, 87(11), 1294-1300 (2002-11-20)
Many kallikrein genes were found to be differentially expressed in various malignancies, and prostate specific antigen (encoded by the KLK3 gene) is the best tumour marker for prostate cancer. Prostate specific antigen has recently been shown to be an independent
Jyotsna Batra et al.
BMC cancer, 11, 119-119 (2011-04-05)
KLK15 over-expression is reported to be a significant predictor of reduced progression-free survival and overall survival in ovarian cancer. Our aim was to analyse the KLK15 gene for putative functional single nucleotide polymorphisms (SNPs) and assess the association of these
我们的科学家团队拥有各种研究领域经验,包括生命科学、材料科学、化学合成、色谱、分析及许多其他领域.
联系客户支持