biological source
rabbit
conjugate
unconjugated
antibody form
affinity isolated antibody
antibody product type
primary antibodies
clone
polyclonal
product line
Prestige Antibodies® Powered by Atlas Antibodies
form
buffered aqueous glycerol solution
species reactivity
human
technique(s)
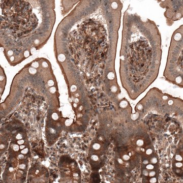
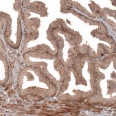
immunohistochemistry: 1:50- 1:200
immunogen sequence
EKSHHISIPSPDISHKGLRSKRTQPSDPETWESLPRLDSQRHGGPEFSFDLLPEARAIRVTISSGPEVSVRLCHQWALECEELSSPYDVQKIVSGGHTVELPYEFLLPCLCMEASYLQEDTVRRKKCPFQSWPEAYGSDFWKSVHFTDYS
UniProt accession no.
shipped in
wet ice
storage temp.
−20°C
target post-translational modification
unmodified
Quality Level
Gene Information
human ... IL17RE(132014)
正在寻找类似产品? 访问 产品对比指南
General description
Mouse IL17RE (interleukin-17 receptor E) is present in small number of tissues including lung, kidney, stomach, intestine and testis. The protein localizes in the cytoplasm and cell membrane.
Immunogen
Interleukin-17 receptor E precursor recombinant protein epitope signature tag (PrEST)
Application
All Prestige Antibodies Powered by Atlas Antibodies are developed and validated by the Human Protein Atlas (HPA) project and as a result, are supported by the most extensive characterization in the industry.
The Human Protein Atlas project can be subdivided into three efforts: Human Tissue Atlas, Cancer Atlas, and Human Cell Atlas. The antibodies that have been generated in support of the Tissue and Cancer Atlas projects have been tested by immunohistochemistry against hundreds of normal and disease tissues and through the recent efforts of the Human Cell Atlas project, many have been characterized by immunofluorescence to map the human proteome not only at the tissue level but now at the subcellular level. These images and the collection of this vast data set can be viewed on the Human Protein Atlas (HPA) site by clicking on the Image Gallery link. We also provide Prestige Antibodies® protocols and other useful information.
The Human Protein Atlas project can be subdivided into three efforts: Human Tissue Atlas, Cancer Atlas, and Human Cell Atlas. The antibodies that have been generated in support of the Tissue and Cancer Atlas projects have been tested by immunohistochemistry against hundreds of normal and disease tissues and through the recent efforts of the Human Cell Atlas project, many have been characterized by immunofluorescence to map the human proteome not only at the tissue level but now at the subcellular level. These images and the collection of this vast data set can be viewed on the Human Protein Atlas (HPA) site by clicking on the Image Gallery link. We also provide Prestige Antibodies® protocols and other useful information.
Biochem/physiol Actions
IL17RE (interleukin-17 receptor E) is a receptor of the IL (Interleukin)-17 receptor family and is specific to IL-17C. Upon IL-17C activation, IL17RE is responsible for activation of downstream signals and it regulates the innate immunity towards pathogens. It is down-regulated in systemic lupus erythematosus (SLE).
Features and Benefits
Prestige Antibodies® are highly characterized and extensively validated antibodies with the added benefit of all available characterization data for each target being accessible via the Human Protein Atlas portal linked just below the product name at the top of this page. The uniqueness and low cross-reactivity of the Prestige Antibodies® to other proteins are due to a thorough selection of antigen regions, affinity purification, and stringent selection. Prestige antigen controls are available for every corresponding Prestige Antibody and can be found in the linkage section.
Every Prestige Antibody is tested in the following ways:
Every Prestige Antibody is tested in the following ways:
- IHC tissue array of 44 normal human tissues and 20 of the most common cancer type tissues.
- Protein array of 364 human recombinant protein fragments.
Physical form
Solution in phosphate-buffered saline, pH 7.2, containing 40% glycerol and 0.02% sodium azide
Other Notes
Corresponding Antigen APREST72140
Legal Information
Prestige Antibodies is a registered trademark of Merck KGaA, Darmstadt, Germany
Disclaimer
Unless otherwise stated in our catalog or other company documentation accompanying the product(s), our products are intended for research use only and are not to be used for any other purpose, which includes but is not limited to, unauthorized commercial uses, in vitro diagnostic uses, ex vivo or in vivo therapeutic uses or any type of consumption or application to humans or animals.
未找到合适的产品?
试试我们的产品选型工具.
存储类别
10 - Combustible liquids
wgk
WGK 1
flash_point_f
Not applicable
flash_point_c
Not applicable
ppe
Eyeshields, Gloves, multi-purpose combination respirator cartridge (US)
法规信息
低风险生物材料
常规特殊物品
此项目有
Tie-Shi Li et al.
Cellular signalling, 18(8), 1287-1298 (2005-11-29)
Interleukin-17 receptor (IL-17R) is increasingly emerged as a distinct receptor family functioning in diverse cellular processes including inflammation and cancer. In this study, we uncovered a novel member of IL-17R from mouse tissue that was named mouse IL-17RE (mIL-17R). Mouse
Hai-Feng Pan et al.
Molecular biology reports, 40(1), 391-399 (2012-10-12)
Recently, evidence is emerging that inappropriate regulation of type 17 T helper cells (Th17) plays a fundamental role in the development of many autoimmune diseases including systemic lupus erythematosus (SLE). However, the role of Th17-related cytokines in SLE remains elusive.
Xinyang Song et al.
Nature immunology, 12(12), 1151-1158 (2011-10-14)
Interleukin 17 receptor E (IL-17RE) is an orphan receptor of the IL-17 receptor family. Here we show that IL-17RE is a receptor specific to IL-17C and has an essential role in host mucosal defense against infection. IL-17C activated downstream signaling
我们的科学家团队拥有各种研究领域经验,包括生命科学、材料科学、化学合成、色谱、分析及许多其他领域.
联系客户支持