biological source
rabbit
conjugate
unconjugated
antibody form
affinity isolated antibody
antibody product type
primary antibodies
clone
polyclonal
product line
Prestige Antibodies® Powered by Atlas Antibodies
form
buffered aqueous glycerol solution
species reactivity
human
technique(s)
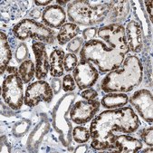
immunohistochemistry: 1:50- 1:200
immunogen sequence
LEYLEKELRNLNLAQPLPPDLKGRFGHPCSMLSSLGSEVVERRIIHLPPLIRDLSSSRRTSDSLHQQWLTPIPSRPWDLREGRSHHHYPDFHQELQDRGPKSWALERRELDPSWSGRHRSSRLNGSPIHWSDRDSLSDVPS
UniProt accession no.
shipped in
wet ice
storage temp.
−20°C
target post-translational modification
unmodified
Quality Level
Gene Information
human ... ILDR1(286676)
正在寻找类似产品? 访问 产品对比指南
General description
The gene immunoglobulin-like domain-containing receptor-1 (ILDR1) is mapped to human chromosome 3q13.33. ILDR1 is expressed in prostate, testis, pancreas, kidney, liver, and heart. The gene encodes three variants, two with membrane localization and one as cytoplasmic. The cytoplasmic variant is only detected in lymphoma samples.
Immunogen
Immunoglobulin-like domain-containing receptor 1 precursor recombinant protein epitope signature tag (PrEST)
Application
All Prestige Antibodies Powered by Atlas Antibodies are developed and validated by the Human Protein Atlas (HPA) project and as a result, are supported by the most extensive characterization in the industry.
The Human Protein Atlas project can be subdivided into three efforts: Human Tissue Atlas, Cancer Atlas, and Human Cell Atlas. The antibodies that have been generated in support of the Tissue and Cancer Atlas projects have been tested by immunohistochemistry against hundreds of normal and disease tissues and through the recent efforts of the Human Cell Atlas project, many have been characterized by immunofluorescence to map the human proteome not only at the tissue level but now at the subcellular level. These images and the collection of this vast data set can be viewed on the Human Protein Atlas (HPA) site by clicking on the Image Gallery link. We also provide Prestige Antibodies® protocols and other useful information.
The Human Protein Atlas project can be subdivided into three efforts: Human Tissue Atlas, Cancer Atlas, and Human Cell Atlas. The antibodies that have been generated in support of the Tissue and Cancer Atlas projects have been tested by immunohistochemistry against hundreds of normal and disease tissues and through the recent efforts of the Human Cell Atlas project, many have been characterized by immunofluorescence to map the human proteome not only at the tissue level but now at the subcellular level. These images and the collection of this vast data set can be viewed on the Human Protein Atlas (HPA) site by clicking on the Image Gallery link. We also provide Prestige Antibodies® protocols and other useful information.
Biochem/physiol Actions
Loss of function mutations in immunoglobulin-like domain-containing receptor-1 (ILDR1) leads to autosomal-recessive hearing impairment in humans. ILDR1 is present at the tricellular contacts of epithelial cells in mouse model. The protein is important for recruitment of tricellulin to tricellular contacts which helps in the establishment of a strong barrier of epithelium. However, ILDR1 is not significant for tricellulin recruitment in the auditory and vestibular sensory epithelia or in the stria vascularis, but is required for tricellilin retention and integrity of tricellular tight junctions which is essential for normal hearing. ILDR1 is expressed in cholecystokinin cells. It regulates the release of cholecystokinin gastrointestinal hormone in the presence of lipoproteins and intestinally absorbed fatty acids. ILDR1 is up-regulated in myelodysplastic syndrome, refractory anemia with excess blasts.
Features and Benefits
Prestige Antibodies® are highly characterized and extensively validated antibodies with the added benefit of all available characterization data for each target being accessible via the Human Protein Atlas portal linked just below the product name at the top of this page. The uniqueness and low cross-reactivity of the Prestige Antibodies® to other proteins are due to a thorough selection of antigen regions, affinity purification, and stringent selection. Prestige antigen controls are available for every corresponding Prestige Antibody and can be found in the linkage section.
Every Prestige Antibody is tested in the following ways:
Every Prestige Antibody is tested in the following ways:
- IHC tissue array of 44 normal human tissues and 20 of the most common cancer type tissues.
- Protein array of 364 human recombinant protein fragments.
Physical form
Solution in phosphate-buffered saline, pH 7.2, containing 40% glycerol and 0.02% sodium azide
Other Notes
Corresponding Antigen APREST72904
Legal Information
Prestige Antibodies is a registered trademark of Merck KGaA, Darmstadt, Germany
Disclaimer
Unless otherwise stated in our catalog or other company documentation accompanying the product(s), our products are intended for research use only and are not to be used for any other purpose, which includes but is not limited to, unauthorized commercial uses, in vitro diagnostic uses, ex vivo or in vivo therapeutic uses or any type of consumption or application to humans or animals.
未找到合适的产品?
试试我们的产品选型工具.
存储类别
10 - Combustible liquids
flash_point_f
Not applicable
flash_point_c
Not applicable
ppe
Eyeshields, Gloves, multi-purpose combination respirator cartridge (US)
法规信息
低风险生物材料
常规特殊物品
此项目有
Rashmi Chandra et al.
The Journal of clinical investigation, 123(8), 3343-3352 (2013-07-19)
Cholecystokinin (CCK) is a satiety hormone produced by discrete enteroendocrine cells scattered among absorptive cells of the small intestine. CCK is released into blood following a meal; however, the mechanisms inducing hormone secretion are largely unknown. Ingested fat is the
Khushnooda Ramzan et al.
European journal of medical genetics, 57(6), 253-258 (2014-04-29)
Hearing impairment is the common human sensorineural disorder and is a genetically heterogeneous phenotype for which more than 100 genomic loci have been mapped so far. ILDR1 located on chromosome 3q13.33, encodes a putative transmembrane receptor containing an immunoglobulin-like domain.
Eva L Morozko et al.
Human molecular genetics, 24(3), 609-624 (2014-09-14)
In the mammalian inner ear, bicellular and tricellular tight junctions (tTJs) seal the paracellular space between epithelial cells. Tricellulin and immunoglobulin-like (Ig-like) domain containing receptor 1 (ILDR1, also referred to as angulin-2) localize to tTJs of the sensory and non-sensory
Helena Hauge et al.
Biochemical and biophysical research communications, 323(3), 970-978 (2004-09-24)
A not yet described gene was identified in a lymphoma specific subtraction strategy. Three splice variants of this gene denoted immunoglobulin-like domain containing receptor 1 (ILDR1) were identified and characterized. Cellular localization studies showed membrane-association for two of the variants
Guntram Borck et al.
American journal of human genetics, 88(2), 127-137 (2011-01-25)
By using homozygosity mapping in a consanguineous Pakistani family, we detected linkage of nonsyndromic hearing loss to a 7.6 Mb region on chromosome 3q13.31-q21.1 within the previously reported DFNB42 locus. Subsequent candidate gene sequencing identified a homozygous nonsense mutation (c.1135G>T
我们的科学家团队拥有各种研究领域经验,包括生命科学、材料科学、化学合成、色谱、分析及许多其他领域.
联系客户支持