storage temp.
−20°C
biological source
rabbit
conjugate
unconjugated
antibody form
affinity isolated antibody
antibody product type
primary antibodies
clone
polyclonal
product line
Prestige Antibodies® Powered by Atlas Antibodies
form
buffered aqueous glycerol solution
species reactivity
human
enhanced validation
orthogonal RNAseq
Learn more about Antibody Enhanced Validation
technique(s)
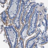
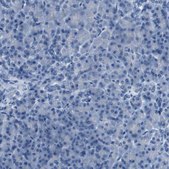
immunohistochemistry: 1:500- 1:1000
immunogen sequence
DVSLDYETQPVFNLTVSAENPDPQGGETIVDVCVNVKDVNDNPPTLDVASLRGIRVAENGSQHGQVAVVVASDVDTSAQLEIQLVNILCTKAGVDVGSLCWGWFSVAANGSVYINQSKAIDYEACDLVTLVVRACDLATDP
shipped in
wet ice
target post-translational modification
unmodified
Quality Level
Gene Information
human ... PCDH24(54825)
正在寻找类似产品? 访问 产品对比指南
Immunogen
Protocadherin-24 precursor recombinant protein epitope signature tag (PrEST)
Application
All Prestige Antibodies Powered by Atlas Antibodies are developed and validated by the Human Protein Atlas (HPA) project and as a result, are supported by the most extensive characterization in the industry.
The Human Protein Atlas project can be subdivided into three efforts: Human Tissue Atlas, Cancer Atlas, and Human Cell Atlas. The antibodies that have been generated in support of the Tissue and Cancer Atlas projects have been tested by immunohistochemistry against hundreds of normal and disease tissues and through the recent efforts of the Human Cell Atlas project, many have been characterized by immunofluorescence to map the human proteome not only at the tissue level but now at the subcellular level. These images and the collection of this vast data set can be viewed on the Human Protein Atlas (HPA) site by clicking on the Image Gallery link. We also provide Prestige Antibodies® protocols and other useful information.
The Human Protein Atlas project can be subdivided into three efforts: Human Tissue Atlas, Cancer Atlas, and Human Cell Atlas. The antibodies that have been generated in support of the Tissue and Cancer Atlas projects have been tested by immunohistochemistry against hundreds of normal and disease tissues and through the recent efforts of the Human Cell Atlas project, many have been characterized by immunofluorescence to map the human proteome not only at the tissue level but now at the subcellular level. These images and the collection of this vast data set can be viewed on the Human Protein Atlas (HPA) site by clicking on the Image Gallery link. We also provide Prestige Antibodies® protocols and other useful information.
Biochem/physiol Actions
CDHR2 (cadherin-related family member 2) is an important member of the protocadherin subfamily of the cadherin superfamily. It consists of seven cadherin motif or EC domain with negatively charged Ca2+ dependent homophilic-binding domains DXD, DRE and DXNDNAPXF motifs. It is mainly involved in the maintenance of the cell-tissue morphology and polarity. It has been reported that the expression of CDHR2 actuates cell aggregation capacity, followed by direct cell-cell interaction. CDHR2 has additionally been documented as a potential tumor silencer gene for the colon and liver malignancies.
Features and Benefits
Prestige Antibodies® are highly characterized and extensively validated antibodies with the added benefit of all available characterization data for each target being accessible via the Human Protein Atlas portal linked just below the product name at the top of this page. The uniqueness and low cross-reactivity of the Prestige Antibodies® to other proteins are due to a thorough selection of antigen regions, affinity purification, and stringent selection. Prestige antigen controls are available for every corresponding Prestige Antibody and can be found in the linkage section.
Every Prestige Antibody is tested in the following ways:
Every Prestige Antibody is tested in the following ways:
- IHC tissue array of 44 normal human tissues and 20 of the most common cancer type tissues.
- Protein array of 364 human recombinant protein fragments.
Physical form
Solution in phosphate-buffered saline, pH 7.2, containing 40% glycerol and 0.02% sodium azide
Other Notes
Corresponding Antigen APREST71645
Legal Information
Prestige Antibodies is a registered trademark of Merck KGaA, Darmstadt, Germany
Disclaimer
Unless otherwise stated in our catalog or other company documentation accompanying the product(s), our products are intended for research use only and are not to be used for any other purpose, which includes but is not limited to, unauthorized commercial uses, in vitro diagnostic uses, ex vivo or in vivo therapeutic uses or any type of consumption or application to humans or animals.
未找到合适的产品?
试试我们的产品选型工具.
存储类别
10 - Combustible liquids
wgk
WGK 1
flash_point_f
Not applicable
flash_point_c
Not applicable
ppe
Eyeshields, Gloves, multi-purpose combination respirator cartridge (US)
法规信息
新产品
此项目有
Noriko Okazaki et al.
Carcinogenesis, 23(7), 1139-1148 (2002-07-16)
Protocadherins are a major subfamily of the cadherin superfamily, but little is known about their functions and intracellular signal transduction. We cloned a novel human protocadherin gene, containing seven EC domains, and identified functional aspects of this gene. The gene
Marc Behrendt et al.
Biological chemistry, 393(6), 495-503 (2012-05-26)
Cadherin-related protein 24 (CDHR24) is a potential tumor suppressor located apically as well as laterally in polarized cells. Here, the role of CDHR24 in contributing to cell morphology and polarity is examined. CDHR24 was predominantly localized at the nonattached part
Julia A Pinette et al.
Molecular biology of the cell, 30(1), 108-118 (2018-11-08)
Transporting epithelial cells optimize their morphology for solute uptake by building an apical specialization: a dense array of microvilli that serves to increase membrane surface area. In the intestinal tract, individual cells build thousands of microvilli, which pack tightly to
我们的科学家团队拥有各种研究领域经验,包括生命科学、材料科学、化学合成、色谱、分析及许多其他领域.
联系客户支持