跳转至内容
Merck
CN

HPA015127

Anti-UGGT1 antibody produced in rabbit

Prestige Antibodies® Powered by Atlas Antibodies, affinity isolated antibody, buffered aqueous glycerol solution

别名:

Anti-HUGT1, Anti-UDP-Glc:glycoprotein glucosyltransferase, Anti-UDP-glucose ceramide glucosyltransferase-like 1, Anti-UDP-glucose:glycoprotein glucosyltransferase 1 precursor, Anti-UGCGL1

登录 查看组织和合同定价。

选择尺寸


关于此项目

UNSPSC Code:
12352203
NACRES:
NA.41
Human Protein Atlas Number:
Conjugate:
unconjugated
Clone:
polyclonal
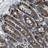
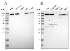
Application:
IHC
Citations:
5
技术服务
需要帮助?我们经验丰富的科学家团队随时乐意为您服务。
让我们为您提供帮助
技术服务
需要帮助?我们经验丰富的科学家团队随时乐意为您服务。
让我们为您提供帮助

biological source

rabbit

conjugate

unconjugated

antibody form

affinity isolated antibody

antibody product type

primary antibodies

clone

polyclonal

product line

Prestige Antibodies® Powered by Atlas Antibodies

form

buffered aqueous glycerol solution

species reactivity

mouse, human, rat

enhanced validation

independent
Learn more about Antibody Enhanced Validation

technique(s)

immunoblotting: 0.04-0.4 μg/mL, immunohistochemistry: 1:50-1:200

immunogen sequence

KVKVEHVVSVLEKKYPYVEVNSILGIDSAYDRNRKEARGYYEQTGVGPLPVVLFNGMPFEREQLDPDELETITMHKILETTTFFQRAVYLGELPHDQDVVEYIMNQPNVVPRINSRILTAERDYLDLTASNNFFVDDYA

shipped in

wet ice

storage temp.

−20°C

target post-translational modification

unmodified

Quality Level

Gene Information

human ... UGCGL1(56886)

正在寻找类似产品? 访问 产品对比指南

General description

UGGT1 (UDP-glucose glycoprotein glucosyltransferase 1) is also called HUGT1, and along with HUGT2, forms the homologues of UGT. It has its putative active site at its C-terminal. It has a molecular weight of 170kDa, and contains a folding sensor domain at its N-terminal. This protein is composed of 1555 amino acids, and has an N-terminal leader peptide, which is cleaved to produce a mature protein.

Immunogen

UDP-glucose:glycoprotein glucosyltransferase 1 precursor recombinant protein epitope signature tag (PrEST)

Application

All Prestige Antibodies Powered by Atlas Antibodies are developed and validated by the Human Protein Atlas (HPA) project and as a result, are supported by the most extensive characterization in the industry.

The Human Protein Atlas project can be subdivided into three efforts: Human Tissue Atlas, Cancer Atlas, and Human Cell Atlas. The antibodies that have been generated in support of the Tissue and Cancer Atlas projects have been tested by immunohistochemistry against hundreds of normal and disease tissues and through the recent efforts of the Human Cell Atlas project, many have been characterized by immunofluorescence to map the human proteome not only at the tissue level but now at the subcellular level. These images and the collection of this vast data set can be viewed on the Human Protein Atlas (HPA) site by clicking on the Image Gallery link. We also provide Prestige Antibodies® protocols and other useful information.

Biochem/physiol Actions

UGGT1 (UDP-glucose glycoprotein glucosyltransferase 1) monitors quality control of protein folding in the endoplasmic reticulum (ER). Depending upon the integrity of the structure of folded proteins, it changes the composition of the glycans present on the protein. This protein is essential for the proper folding and maturation of prosaposin protein. This protein is activated by ER stress. It also acts as an activator of the ER-chaperone protein called BiP. This property of UGGT1 might be exploited to increase recombinant protein production in mammalian cells.

Features and Benefits

Prestige Antibodies® are highly characterized and extensively validated antibodies with the added benefit of all available characterization data for each target being accessible via the Human Protein Atlas portal linked just below the product name at the top of this page. The uniqueness and low cross-reactivity of the Prestige Antibodies® to other proteins are due to a thorough selection of antigen regions, affinity purification, and stringent selection. Prestige antigen controls are available for every corresponding Prestige Antibody and can be found in the linkage section.

Every Prestige Antibody is tested in the following ways:
  • IHC tissue array of 44 normal human tissues and 20 of the most common cancer type tissues.
  • Protein array of 364 human recombinant protein fragments.

Physical form

Solution in phosphate-buffered saline, pH 7.2, containing 40% glycerol and 0.02% sodium azide

Other Notes

Corresponding Antigen APREST71965

Legal Information

Prestige Antibodies is a registered trademark of Merck KGaA, Darmstadt, Germany

Disclaimer

Unless otherwise stated in our catalog or other company documentation accompanying the product(s), our products are intended for research use only and are not to be used for any other purpose, which includes but is not limited to, unauthorized commercial uses, in vitro diagnostic uses, ex vivo or in vivo therapeutic uses or any type of consumption or application to humans or animals.

未找到合适的产品?  

试试我们的产品选型工具.

存储类别

10 - Combustible liquids

wgk

WGK 1

flash_point_f

Not applicable

flash_point_c

Not applicable

ppe

Eyeshields, Gloves, multi-purpose combination respirator cartridge (US)

法规信息

新产品
此项目有

历史批次信息供参考:

分析证书(COA)

Lot/Batch Number

没有发现合适的版本?

如果您需要特殊版本,可通过批号或批次号查找具体证书。

已有该产品?

在文件库中查找您最近购买产品的文档。

访问文档库

Shufeng Liu et al.
PloS one, 11(1), e0147991-e0147991 (2016-01-26)
Hepatitis C virus (HCV) poses a global threat to public health. HCV envelop protein E2 is the major component on the virus envelope, which plays an important role in virus entry and morphogenesis. Here, for the first time, we affinity
Sebastian Chih Yuan Ku et al.
Molecules and cells, 27(5), 577-582 (2009-05-26)
The development of a high-throughput functional genomic screening provides a novel and expeditious approach in identifying critical genes involved in specific biological processes. Here we describe a cell-based cDNA screening system to identify the transcription activators of BiP, an endoplasmic
Stacey M Arnold et al.
The Journal of biological chemistry, 278(44), 43320-43328 (2003-08-13)
The eukaryotic cell monitors the fidelity of protein folding in the endoplasmic reticulum and only permits properly folded and/or assembled proteins to transit to the Golgi compartment in a process termed "quality control." An endoplasmic reticulum (ER) lumenal sensor for
Bradley R Pearse et al.
The Journal of cell biology, 189(5), 829-841 (2010-05-26)
An endoplasmic reticulum (ER) quality control system assists in efficient folding and disposal of misfolded proteins. N-linked glycans are critical in these events because their composition dictates interactions with molecular chaperones. UDP-glucose:glycoprotein glucosyltransferase 1 (UGT1) is a key quality control
S M Arnold et al.
Biochemistry, 39(9), 2149-2163 (2000-03-01)
UDP-glucose:glycoprotein glucosyltransferase (UGT) is a soluble protein of the endoplasmic reticulum (ER) that operates as a gatekeeper for quality control by preventing transport of improperly folded glycoproteins out of the ER. We report the isolation of two cDNAs encoding human

我们的科学家团队拥有各种研究领域经验,包括生命科学、材料科学、化学合成、色谱、分析及许多其他领域.

联系客户支持