biological source
rabbit
conjugate
unconjugated
antibody form
affinity isolated antibody
antibody product type
primary antibodies
clone
polyclonal
product line
Prestige Antibodies® Powered by Atlas Antibodies
form
buffered aqueous glycerol solution
species reactivity
human
enhanced validation
orthogonal RNAseq
Learn more about Antibody Enhanced Validation
technique(s)
immunohistochemistry: 1:50- 1:200
immunogen sequence
KRSISDSDELASGFFVFPYPYPFRPLPPIPFPRFPWFRRNFPIPIPESAPTTPL
shipped in
wet ice
storage temp.
−20°C
target post-translational modification
unmodified
Quality Level
Gene Information
human ... C4orf7(260436)
正在寻找类似产品? 访问 产品对比指南
Immunogen
Follicular dendritic cell secreted peptide precursor recombinant protein epitope signature tag (PrEST)
Application
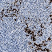
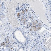
All Prestige Antibodies Powered by Atlas Antibodies are developed and validated by the Human Protein Atlas (HPA) project and as a result, are supported by the most extensive characterization in the industry.
The Human Protein Atlas project can be subdivided into three efforts: Human Tissue Atlas, Cancer Atlas, and Human Cell Atlas. The antibodies that have been generated in support of the Tissue and Cancer Atlas projects have been tested by immunohistochemistry against hundreds of normal and disease tissues and through the recent efforts of the Human Cell Atlas project, many have been characterized by immunofluorescence to map the human proteome not only at the tissue level but now at the subcellular level. These images and the collection of this vast data set can be viewed on the Human Protein Atlas (HPA) site by clicking on the Image Gallery link. We also provide Prestige Antibodies® protocols and other useful information.
The Human Protein Atlas project can be subdivided into three efforts: Human Tissue Atlas, Cancer Atlas, and Human Cell Atlas. The antibodies that have been generated in support of the Tissue and Cancer Atlas projects have been tested by immunohistochemistry against hundreds of normal and disease tissues and through the recent efforts of the Human Cell Atlas project, many have been characterized by immunofluorescence to map the human proteome not only at the tissue level but now at the subcellular level. These images and the collection of this vast data set can be viewed on the Human Protein Atlas (HPA) site by clicking on the Image Gallery link. We also provide Prestige Antibodies® protocols and other useful information.
Biochem/physiol Actions
The gene FDCSP (follicular dendritic cell secreted protein) encodes a small secreted protein that is expressed in human tonsillar germinal centers. It may participate in the regulation of B cell chemotaxis and germinal center. It is also found to be expressed in human periodontal ligament (PDL) and may function in the inhibition of osteogenic differentiation and mineralization of human periodontal ligament cells (hPDLCs). It promotes metastasis of ovarian cancer by increasing cancer cell migration and invasion. The gene is mapped to human chromosome 4q13.1–q13.3.
Features and Benefits
Prestige Antibodies® are highly characterized and extensively validated antibodies with the added benefit of all available characterization data for each target being accessible via the Human Protein Atlas portal linked just below the product name at the top of this page. The uniqueness and low cross-reactivity of the Prestige Antibodies® to other proteins are due to a thorough selection of antigen regions, affinity purification, and stringent selection. Prestige antigen controls are available for every corresponding Prestige Antibody and can be found in the linkage section.
Every Prestige Antibody is tested in the following ways:
Every Prestige Antibody is tested in the following ways:
- IHC tissue array of 44 normal human tissues and 20 of the most common cancer type tissues.
- Protein array of 364 human recombinant protein fragments.
Physical form
Solution in phosphate-buffered saline, pH 7.2, containing 40% glycerol and 0.02% sodium azide
Other Notes
Corresponding Antigen APREST72305
Legal Information
Prestige Antibodies is a registered trademark of Merck KGaA, Darmstadt, Germany
Disclaimer
Unless otherwise stated in our catalog or other company documentation accompanying the product(s), our products are intended for research use only and are not to be used for any other purpose, which includes but is not limited to, unauthorized commercial uses, in vitro diagnostic uses, ex vivo or in vivo therapeutic uses or any type of consumption or application to humans or animals.
未找到合适的产品?
试试我们的产品选型工具.
存储类别
10 - Combustible liquids
wgk
WGK 1
ppe
Eyeshields, Gloves, multi-purpose combination respirator cartridge (US)
法规信息
低风险生物材料
常规特殊物品
此项目有
Eunice Matoso et al.
American journal of medical genetics. Part A, 161A(8), 1923-1928 (2013-07-05)
An insertional translocation (IT) can result in pure segmental aneusomy for the inserted genomic segment allowing to define a more accurate clinical phenotype. Here, we report on two siblings sharing an unbalanced IT inherited from the mother with a history
Monther Al-Alwan et al.
Journal of immunology (Baltimore, Md. : 1950), 178(12), 7859-7867 (2007-06-06)
We previously identified follicular dendritic cell secreted protein (FDC-SP), a small secreted protein of unknown function expressed in human tonsillar germinal centers (GC). To assess potential in vivo activities of FDC-SP, transgenic mice were generated to constitutively express FDC-SP in
L Xiang et al.
Journal of periodontal research, 49(5), 554-562 (2013-10-22)
Follicular dendritic cell secreted protein (FDC-SP), has been identified in human periodontal ligament (PDL) in a recent study. It is suggested that the expression of FDC-SP might be associated with the osteogenic differentiation and mineralization of human periodontal ligament cells
Changyu Wang et al.
Oncology reports, 24(4), 933-939 (2010-09-03)
Gene C4orf7, renamed FDC-SP (follicular dendritic cell secreted protein, FDC-SP) was first isolated from human tonsils. Up to the present, the function of this gene was still poorly understood. In this study, we report the expression of gene C4orf7 in
我们的科学家团队拥有各种研究领域经验,包括生命科学、材料科学、化学合成、色谱、分析及许多其他领域.
联系客户支持