biological source
rabbit
conjugate
unconjugated
antibody form
affinity isolated antibody
antibody product type
primary antibodies
clone
polyclonal
product line
Prestige Antibodies® Powered by Atlas Antibodies
form
buffered aqueous glycerol solution
species reactivity
human
enhanced validation
orthogonal RNAseq
independent
Learn more about Antibody Enhanced Validation
technique(s)
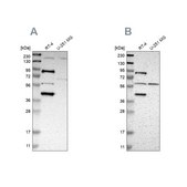
immunoblotting: 0.04-0.4 μg/mL, immunohistochemistry: 1:50-1:200
immunogen sequence
SGEDPNSRLAPLTTPKPRKLPPNIVLKSSRSSFHSDPQHWLSRHTEAAPGDSGLISCSLQEQRKARKEALEKLGLPQDQDEPGLHLSKPTSSIRPKETRAQHLSPAPGLAQPAAPAQASAAIPAAG
shipped in
wet ice
storage temp.
−20°C
target post-translational modification
unmodified
Quality Level
Gene Information
human ... C1orf116(79098)
正在寻找类似产品? 访问 产品对比指南
Immunogen
Specifically androgen-regulated gene protein recombinant protein epitope signature tag (PrEST)
Application
All Prestige Antibodies Powered by Atlas Antibodies are developed and validated by the Human Protein Atlas (HPA) project and as a result, are supported by the most extensive characterization in the industry.
The Human Protein Atlas project can be subdivided into three efforts: Human Tissue Atlas, Cancer Atlas, and Human Cell Atlas. The antibodies that have been generated in support of the Tissue and Cancer Atlas projects have been tested by immunohistochemistry against hundreds of normal and disease tissues and through the recent efforts of the Human Cell Atlas project, many have been characterized by immunofluorescence to map the human proteome not only at the tissue level but now at the subcellular level. These images and the collection of this vast data set can be viewed on the Human Protein Atlas (HPA) site by clicking on the Image Gallery link. We also provide Prestige Antibodies® protocols and other useful information.
The Human Protein Atlas project can be subdivided into three efforts: Human Tissue Atlas, Cancer Atlas, and Human Cell Atlas. The antibodies that have been generated in support of the Tissue and Cancer Atlas projects have been tested by immunohistochemistry against hundreds of normal and disease tissues and through the recent efforts of the Human Cell Atlas project, many have been characterized by immunofluorescence to map the human proteome not only at the tissue level but now at the subcellular level. These images and the collection of this vast data set can be viewed on the Human Protein Atlas (HPA) site by clicking on the Image Gallery link. We also provide Prestige Antibodies® protocols and other useful information.
Biochem/physiol Actions
C1orf116 also termed as SARG (Specifically androgen-regulated gene protein) is localized in the cytoplasm. It is highly expressed in the androgen receptor (AR) and glucocorticoid receptor (GR) positive cell line lymph node carcinoma of the prostate-1F5 (LNCaP-1F5). It possesses an epithelial-like morphology with polymorphous and sometimes bizarre nuclei. It can bind to the AR to reflect androgen-specific activity in transfections. The C1orf116 expression is upregulated by androgens but not by glucocorticoid receptor.
Features and Benefits
Prestige Antibodies® are highly characterized and extensively validated antibodies with the added benefit of all available characterization data for each target being accessible via the Human Protein Atlas portal linked just below the product name at the top of this page. The uniqueness and low cross-reactivity of the Prestige Antibodies® to other proteins are due to a thorough selection of antigen regions, affinity purification, and stringent selection. Prestige antigen controls are available for every corresponding Prestige Antibody and can be found in the linkage section.
Every Prestige Antibody is tested in the following ways:
Every Prestige Antibody is tested in the following ways:
- IHC tissue array of 44 normal human tissues and 20 of the most common cancer type tissues.
- Protein array of 364 human recombinant protein fragments.
Physical form
Solution in phosphate-buffered saline, pH 7.2, containing 40% glycerol and 0.02% sodium azide
Other Notes
Corresponding Antigen APREST71282
Legal Information
Prestige Antibodies is a registered trademark of Merck KGaA, Darmstadt, Germany
未找到合适的产品?
试试我们的产品选型工具.
存储类别
10 - Combustible liquids
wgk
WGK 1
flash_point_f
Not applicable
flash_point_c
Not applicable
ppe
Eyeshields, Gloves, multi-purpose combination respirator cartridge (US)
法规信息
新产品
此项目有
K Scotlandi et al.
Annals of oncology : official journal of the European Society for Medical Oncology, 3 Suppl 2, S29-S31 (1992-04-01)
A new cell line (SARG) was established from a human radiation-induced osteosarcoma (OSA). It showed an epithelial-like morphology with polymorphous and sometimes bizarre nuclei. SARG had an osteoblastic differentiation pattern: almost 100% of the cells were positive for alkaline phosphatase
Karine Steketee et al.
Journal of molecular endocrinology, 33(2), 477-491 (2004-11-05)
We characterized the specifically androgen-regulated gene (SARG), which is expressed in the androgen receptor (AR) and glucocorticoid receptor (GR) positive cell line lymph node carcinoma of the prostate-1F5 (LNCaP-1F5). SARG mRNA expression can be up-regulated by androgens, but not by
我们的科学家团队拥有各种研究领域经验,包括生命科学、材料科学、化学合成、色谱、分析及许多其他领域.
联系客户支持