biological source
rabbit
conjugate
unconjugated
antibody form
affinity isolated antibody
antibody product type
primary antibodies
clone
polyclonal
product line
Prestige Antibodies® Powered by Atlas Antibodies
form
buffered aqueous glycerol solution
species reactivity
human
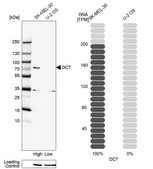
enhanced validation
independent
orthogonal RNAseq
recombinant expression
Learn more about Antibody Enhanced Validation
technique(s)
immunoblotting: 0.04-0.4 μg/mL, immunohistochemistry: 1:200-1:500
immunogen sequence
NECDVCTDQLFGAARPDDPTLISRNSRFSSWETVCDSLDDYNHLVTLCNGTYEGLLRRNQMGRNSMKLPTLKDIRDCLSLQKFDNPPFFQNSTFSFRNALEGFDKADGTLDSQVMSLHNLVHSFLNGTNALPHSAANDPIFVVLHSFTDA
UniProt accession no.
shipped in
wet ice
storage temp.
−20°C
target post-translational modification
unmodified
Quality Level
Gene Information
human ... DCT(1638)
正在寻找类似产品? 访问 产品对比指南
General description
DCT (dopachrome tautomerase) belongs to melanocyte/melanoma differentiation antigens (MDA) family. It is a melanoma associated antigen. It contains 519 amino acids and has five isoforms in humans, due to alternative splicing. It contains a putative transmembrane domain, encoded by exon 8, which is essential for its activity. TRP (tyrosinase-related protein)-LT and TRP-2-6b isoforms of DCT are localized to the membrane of melanosomes, and possess dopachrome tautomerase activity. TRP-2-INT2 isoform is a shorter protein with only 237 amino acids. TRP- 2-8b isoform does not contain the transmembrane domain, and hence is devoid of dopachrome tautomerase activity. This gene is located on human chromosome 13q32.
Immunogen
L-dopachrome tautomerase precursor recombinant protein epitope signature tag (PrEST)
Application
All Prestige Antibodies Powered by Atlas Antibodies are developed and validated by the Human Protein Atlas (HPA) project and as a result, are supported by the most extensive characterization in the industry.
The Human Protein Atlas project can be subdivided into three efforts: Human Tissue Atlas, Cancer Atlas, and Human Cell Atlas. The antibodies that have been generated in support of the Tissue and Cancer Atlas projects have been tested by immunohistochemistry against hundreds of normal and disease tissues and through the recent efforts of the Human Cell Atlas project, many have been characterized by immunofluorescence to map the human proteome not only at the tissue level but now at the subcellular level. These images and the collection of this vast data set can be viewed on the Human Protein Atlas (HPA) site by clicking on the Image Gallery link. We also provide Prestige Antibodies® protocols and other useful information.
The Human Protein Atlas project can be subdivided into three efforts: Human Tissue Atlas, Cancer Atlas, and Human Cell Atlas. The antibodies that have been generated in support of the Tissue and Cancer Atlas projects have been tested by immunohistochemistry against hundreds of normal and disease tissues and through the recent efforts of the Human Cell Atlas project, many have been characterized by immunofluorescence to map the human proteome not only at the tissue level but now at the subcellular level. These images and the collection of this vast data set can be viewed on the Human Protein Atlas (HPA) site by clicking on the Image Gallery link. We also provide Prestige Antibodies® protocols and other useful information.
Biochem/physiol Actions
DCT (dopachrome tautomerase) acts as an antigen to cytotoxic T-cell responses, in melanoma. It also acts as an antigen to cytotoxic T-cells in malignant glioma. Thus, it has potential as a target antigen for developing immunotherapies for glioma patients. Polymorphisms in this gene are linked to increased susceptibility to degenerative disc disease, in Chinese Han population. DCT is absent in the peripheral blood mononuclear cells (PBMC) of vitiligo patients, but is present in low levels in healthy individuals. This lack of DCT in PBMC of vitiligo patients might be responsible for peripheral intolerance in vitiligo. It also prevents dopamine and hydroquinone-induced toxicity in human embryonic kidney (HEK) cells.
Features and Benefits
Prestige Antibodies® are highly characterized and extensively validated antibodies with the added benefit of all available characterization data for each target being accessible via the Human Protein Atlas portal linked just below the product name at the top of this page. The uniqueness and low cross-reactivity of the Prestige Antibodies® to other proteins are due to a thorough selection of antigen regions, affinity purification, and stringent selection. Prestige antigen controls are available for every corresponding Prestige Antibody and can be found in the linkage section.
Every Prestige Antibody is tested in the following ways:
Every Prestige Antibody is tested in the following ways:
- IHC tissue array of 44 normal human tissues and 20 of the most common cancer type tissues.
- Protein array of 364 human recombinant protein fragments.
Physical form
Solution in phosphate-buffered saline, pH 7.2, containing 40% glycerol and 0.02% sodium azide
Other Notes
Corresponding Antigen APREST71670
Legal Information
Prestige Antibodies is a registered trademark of Merck KGaA, Darmstadt, Germany
Disclaimer
Unless otherwise stated in our catalog or other company documentation accompanying the product(s), our products are intended for research use only and are not to be used for any other purpose, which includes but is not limited to, unauthorized commercial uses, in vitro diagnostic uses, ex vivo or in vivo therapeutic uses or any type of consumption or application to humans or animals.
未找到合适的产品?
试试我们的产品选型工具.
存储类别
10 - Combustible liquids
wgk
WGK 1
flash_point_f
Not applicable
flash_point_c
Not applicable
ppe
Eyeshields, Gloves, multi-purpose combination respirator cartridge (US)
法规信息
新产品
此项目有
Richard A Sturm et al.
Pigment cell & melanoma research, 22(5), 544-562 (2009-07-22)
The presence of melanin pigment within the iris is responsible for the visual impression of human eye colouration with complex patterns also evident in this tissue, including Fuchs' crypts, nevi, Wolfflin nodules and contraction furrows. The genetic basis underlying the
Gentao Liu et al.
Journal of immunotherapy (Hagerstown, Md. : 1997), 26(4), 301-312 (2003-07-05)
Tyrosinase-related protein (TRP)-2 is an immunogenic antigen in melanoma. The authors sought to investigate whether TRP-2 could be a potential target for patients with malignant glioma. RT-PCR analysis demonstrated that TRP-2 was present in 51.2% of primary tumor cell lines
Hai-feng Song et al.
Zhonghua yi xue za zhi, 90(3), 148-152 (2010-04-02)
To investigate the association between Trp2 allele polymorphism with degenerative disc disease (DDD) in a Chinese Han population. A total of 125 DDD patients (58 males and 67 females, 51.8 +/- 7.6 years old), and 125 controls matched in sex
Q Michard et al.
Free radical biology & medicine, 45(7), 1002-1010 (2008-08-05)
We previously reported that melanogenic enzyme TRP-2 (or DCT for DOPAchrome tautomerase) expression in WM35 melanoma cells resulted in increased intracellular GSH levels, reduction in DNA damage induced by free radicals, and decreased cell sensitivity to oxidative stress. These effects
Annette Paschen et al.
International journal of cancer, 116(6), 944-948 (2005-04-28)
Tyrosinase-related protein-2 (TRP-2) is a known target antigen of spontaneous cytotoxic T cell responses in melanoma patients. Its frequent expression in metastatic tumors suggests that it might be an ideal candidate antigen for T cell-based immunotherapy. To provide knowledge about
我们的科学家团队拥有各种研究领域经验,包括生命科学、材料科学、化学合成、色谱、分析及许多其他领域.
联系客户支持