生物来源
rabbit
质量水平
偶联物
unconjugated
抗体形式
affinity isolated antibody
抗体产品类型
primary antibodies
克隆
polyclonal
产品线
Prestige Antibodies® Powered by Atlas Antibodies
表单
buffered aqueous glycerol solution
种属反应性
human
增强验证
orthogonal RNAseq
independent
Learn more about Antibody Enhanced Validation
技术
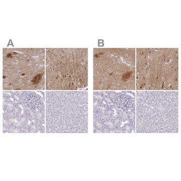
immunohistochemistry: 1:1000- 1:2500
UniProt登记号
运输
wet ice
储存温度
−20°C
靶向翻译后修饰
unmodified
基因信息
human ... OMG(4974)
免疫原
Oligodendrocyte-myelin glycoprotein precursor recombinant protein epitope signature tag (PrEST)
Sequence
VDTINSLSVVTQPKVTKIPKQYRTKETTFGATLSKDTTFTSTDKAFVPYPEDTSTETINSHEAAAATLTIHLQDGMVTNTSLTSSTKSSPTPMTLSITSGMPNNFSEMPQQSTTLNLWREETTTNVKTPLPSVANAWKVNA
Sequence
VDTINSLSVVTQPKVTKIPKQYRTKETTFGATLSKDTTFTSTDKAFVPYPEDTSTETINSHEAAAATLTIHLQDGMVTNTSLTSSTKSSPTPMTLSITSGMPNNFSEMPQQSTTLNLWREETTTNVKTPLPSVANAWKVNA
应用
All Prestige Antibodies Powered by Atlas Antibodies are developed and validated by the Human Protein Atlas (HPA) project and as a result, are supported by the most extensive characterization in the industry.
The Human Protein Atlas project can be subdivided into three efforts: Human Tissue Atlas, Cancer Atlas, and Human Cell Atlas. The antibodies that have been generated in support of the Tissue and Cancer Atlas projects have been tested by immunohistochemistry against hundreds of normal and disease tissues and through the recent efforts of the Human Cell Atlas project, many have been characterized by immunofluorescence to map the human proteome not only at the tissue level but now at the subcellular level. These images and the collection of this vast data set can be viewed on the Human Protein Atlas (HPA) site by clicking on the Image Gallery link. We also provide Prestige Antibodies® protocols and other useful information.
The Human Protein Atlas project can be subdivided into three efforts: Human Tissue Atlas, Cancer Atlas, and Human Cell Atlas. The antibodies that have been generated in support of the Tissue and Cancer Atlas projects have been tested by immunohistochemistry against hundreds of normal and disease tissues and through the recent efforts of the Human Cell Atlas project, many have been characterized by immunofluorescence to map the human proteome not only at the tissue level but now at the subcellular level. These images and the collection of this vast data set can be viewed on the Human Protein Atlas (HPA) site by clicking on the Image Gallery link. We also provide Prestige Antibodies® protocols and other useful information.
生化/生理作用
Oligodendrocyte-myelin glycoprotein (OMG) is involved in cell growth regulation, inhibits neurite outgrowth and prevents axonal regeneration after brain injury. Along with two other proteins, Nogo and myelin-associated glycoprotein (MAG), it binds to the Nogo-66 receptor (NgR) to activate the Ras homolog gene family member A (RhoA) pathway and thus inhibits axonal growth.
特点和优势
Prestige Antibodies® are highly characterized and extensively validated antibodies with the added benefit of all available characterization data for each target being accessible via the Human Protein Atlas portal linked just below the product name at the top of this page. The uniqueness and low cross-reactivity of the Prestige Antibodies® to other proteins are due to a thorough selection of antigen regions, affinity purification, and stringent selection. Prestige antigen controls are available for every corresponding Prestige Antibody and can be found in the linkage section.
Every Prestige Antibody is tested in the following ways:
Every Prestige Antibody is tested in the following ways:
- IHC tissue array of 44 normal human tissues and 20 of the most common cancer type tissues.
- Protein array of 364 human recombinant protein fragments.
外形
Solution in phosphate-buffered saline, pH 7.2, containing 40% glycerol and 0.02% sodium azide
其他说明
Corresponding Antigen APREST71571
法律信息
Prestige Antibodies is a registered trademark of Merck KGaA, Darmstadt, Germany
未找到合适的产品?
试试我们的产品选型工具.
储存分类代码
10 - Combustible liquids
WGK
WGK 1
闪点(°F)
Not applicable
闪点(°C)
Not applicable
个人防护装备
Eyeshields, Gloves, multi-purpose combination respirator cartridge (US)
法规信息
新产品
此项目有
Shuxin Li et al.
The Journal of neuroscience : the official journal of the Society for Neuroscience, 24(46), 10511-10520 (2004-11-19)
The growth of injured axons in the adult mammalian CNS is limited after injury. Three myelin proteins, Nogo, MAG (myelin-associated glycoprotein), and OMgp (oligodendrocyte myelin glycoprotein), bind to the Nogo-66 receptor (NgR) and inhibit axonal growth in vitro. Transgenic or
Patrick Vourc'h et al.
Journal of neurochemistry, 85(4), 889-897 (2003-04-30)
The oligodendrocyte myelin glycoprotein (OMgp) inhibits neurite outgrowth and axonal regeneration after brain injury, but its normal function remains unknown. Several observations suggest its implication in cell growth regulation. Here we report an analysis of the domain requirement in OMgp
我们的科学家团队拥有各种研究领域经验,包括生命科学、材料科学、化学合成、色谱、分析及许多其他领域.
联系客户支持