跳转至内容
Merck
CN

HPA003323

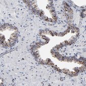
Anti-TXNRD2 antibody produced in rabbit

Prestige Antibodies® Powered by Atlas Antibodies, affinity isolated antibody, buffered aqueous glycerol solution

别名:

Anti-SelZ antibody produced in rabbit, Anti-Selenoprotein Z antibody produced in rabbit, Anti-TR-β antibody produced in rabbit, Anti-TR3 antibody produced in rabbit, Anti-Thioredoxin reductase 2, mitochondrial precursor antibody produced in rabbit

登录 查看组织和合同定价。

选择尺寸


关于此项目

UNSPSC Code:
12352203
NACRES:
NA.43
Human Protein Atlas Number:
Conjugate:
unconjugated
Clone:
polyclonal
Application:
IHC
Citations:
8
技术服务
需要帮助?我们经验丰富的科学家团队随时乐意为您服务。
让我们为您提供帮助
技术服务
需要帮助?我们经验丰富的科学家团队随时乐意为您服务。
让我们为您提供帮助

biological source

rabbit

conjugate

unconjugated

antibody form

affinity isolated antibody

antibody product type

primary antibodies

clone

polyclonal

product line

Prestige Antibodies® Powered by Atlas Antibodies

form

buffered aqueous glycerol solution

species reactivity

human

technique(s)

immunoblotting: 0.04-0.4 μg/mL, immunohistochemistry: 1:50-1:200

immunogen sequence

CAGFLTGIGLDTTIMMRSIPLRGFDQQMSSMVIEHMASHGTRFLRGCAPSRVRRLPDGQLQVTWEDSTTGKEDTGTFDTVLWAIGRVPDTRSLNLEKAGVDTSPDTQKILVDSREATSVPHIYAIGDVVEGRPELTPTAIMAGRLLVQRLF

UniProt accession no.

shipped in

wet ice

storage temp.

−20°C

target post-translational modification

unmodified

Quality Level

Gene Information

human ... TXNRD2(10587)

Immunogen

Thioredoxin reductase 2, mitochondrial precursor recombinant protein epitope signature tag (PrEST)

Application

Anti-TXNRD2 antibody produced in rabbit, a Prestige Antibody, is developed and validated by the Human Protein Atlas (HPA) project . Each antibody is tested by immunohistochemistry against hundreds of normal and disease tissues. These images can be viewed on the Human Protein Atlas (HPA) site by clicking on the Image Gallery link. The antibodies are also tested using immunofluorescence and western blotting. To view these protocols and other useful information about Prestige Antibodies and the HPA, visit sigma.com/prestige.

Biochem/physiol Actions

TXNRD2 (thioredoxin reductase 2) gene encodes a protein belonging to the class I pyridine nucleotide-disulfide oxidoreductase family. It is a selenocysteine-containing enzyme that functions in scavenging of mitochondrial oxygen radicals. Mutations in this gene may cause dilated cardiomyopathy. Excessive generation or accumulation of oxygen radicals can cause tissue injury and functional deterioration after myocardial ischemia/reperfusion. These radicals are scavenged by thioredoxin reductase 2, thus protecting against myocardial ischemia/reperfusion injury.

Features and Benefits

Prestige Antibodies® are highly characterized and extensively validated antibodies with the added benefit of all available characterization data for each target being accessible via the Human Protein Atlas portal linked just below the product name at the top of this page. The uniqueness and low cross-reactivity of the Prestige Antibodies® to other proteins are due to a thorough selection of antigen regions, affinity purification, and stringent selection. Prestige antigen controls are available for every corresponding Prestige Antibody and can be found in the linkage section.

Every Prestige Antibody is tested in the following ways:
  • IHC tissue array of 44 normal human tissues and 20 of the most common cancer type tissues.
  • Protein array of 364 human recombinant protein fragments.

Physical form

Solution in phosphate-buffered saline, pH 7.2, containing 40% glycerol and 0.02% sodium azide

Other Notes

Corresponding Antigen APREST73389

Legal Information

Prestige Antibodies is a registered trademark of Merck KGaA, Darmstadt, Germany

Disclaimer

Unless otherwise stated in our catalog or other company documentation accompanying the product(s), our products are intended for research use only and are not to be used for any other purpose, which includes but is not limited to, unauthorized commercial uses, in vitro diagnostic uses, ex vivo or in vivo therapeutic uses or any type of consumption or application to humans or animals.

未找到合适的产品?  

试试我们的产品选型工具.

存储类别

10 - Combustible liquids

wgk

WGK 1

flash_point_f

Not applicable

flash_point_c

Not applicable

ppe

Eyeshields, Gloves, multi-purpose combination respirator cartridge (US)

法规信息

新产品
此项目有

历史批次信息供参考:

分析证书(COA)

Lot/Batch Number

没有发现合适的版本?

如果您需要特殊版本,可通过批号或批次号查找具体证书。

已有该产品?

在文件库中查找您最近购买产品的文档。

访问文档库

Elizabeth Singer et al.
PloS one, 8(6), e60562-e60562 (2013-06-14)
Histological staining of reactive stroma has been shown to be a predictor of biochemical recurrence in prostate cancer, however, molecular markers of the stromal response to prostate cancer have not yet been fully delineated. The objective of this study was
Jan Horstkotte et al.
Circulation, 124(25), 2892-2902 (2011-12-07)
Excessive formation of reactive oxygen species contributes to tissue injury and functional deterioration after myocardial ischemia/reperfusion. Especially, mitochondrial reactive oxygen species are capable of opening the mitochondrial permeability transition pore, a harmful event in cardiac ischemia/reperfusion. Thioredoxins are key players
Elizabeth M Singer et al.
Nanomedicine (London, England), 6(4), 659-668 (2011-07-02)
Since many biomarkers of both the tumor and its microenvironment are expected to involve differential expression of divalent proteins capable of protein or peptide ligand interaction, we are developing multivalent nanodevices for the identification of biomarkers in prostate cancer. We
Dirk Sibbing et al.
European heart journal, 32(9), 1121-1133 (2011-01-21)
Cardiac energy requirement is met to a large extent by oxidative phosphorylation in mitochondria that are highly abundant in cardiac myocytes. Human mitochondrial thioredoxin reductase (TXNRD2) is a selenocysteine-containing enzyme essential for mitochondrial oxygen radical scavenging. Cardiac-specific deletion of Txnrd2
Zahia Touat-Hamici et al.
Biochimica et biophysica acta. General subjects, 1862(11), 2493-2505 (2018-04-17)
Selenoproteins (25 genes in human) co-translationally incorporate selenocysteine using a UGA codon, normally used as a stop signal. The human selenoproteome is primarily regulated by selenium bioavailability with a tissue-specific hierarchy. We investigated the hierarchy of selenoprotein expression in response

相关内容

Prestige Antibodies Immunofluorescence Procedure

我们的科学家团队拥有各种研究领域经验,包括生命科学、材料科学、化学合成、色谱、分析及许多其他领域.

联系客户支持