跳转至内容
Merck
CN

HPA002651

Anti-RPL30 antibody produced in rabbit

Prestige Antibodies® Powered by Atlas Antibodies, affinity isolated antibody, buffered aqueous glycerol solution

别名:

Anti-60S ribosomal protein L30 antibody produced in rabbit

登录 查看组织和合同定价。

选择尺寸


关于此项目

UNSPSC Code:
12352203
NACRES:
NA.43
Human Protein Atlas Number:
Conjugate:
unconjugated
Clone:
polyclonal
Application:
IF, IHC
Citations:
2
技术服务
需要帮助?我们经验丰富的科学家团队随时乐意为您服务。
让我们为您提供帮助
技术服务
需要帮助?我们经验丰富的科学家团队随时乐意为您服务。
让我们为您提供帮助

biological source

rabbit

conjugate

unconjugated

antibody form

affinity isolated antibody

antibody product type

primary antibodies

clone

polyclonal

product line

Prestige Antibodies® Powered by Atlas Antibodies

form

buffered aqueous glycerol solution

species reactivity

human

technique(s)

immunoblotting: 0.04-0.4 μg/mL, immunofluorescence: 0.25-2 μg/mL, immunohistochemistry: 1:200-1:500

immunogen sequence

INSRLQLVMKSGKYVLGYKQTLKMIRQGKAKLVILANNCPALRKSEIEYYAMLAKTGVHHYSGNNIELGTACGKYYRVCTLAIIDPGDSDIIRSMPEQTGEK

UniProt accession no.

shipped in

wet ice

storage temp.

−20°C

target post-translational modification

unmodified

Quality Level

Gene Information

human ... RPL30(6156)

正在寻找类似产品? 访问 产品对比指南

Immunogen

60S ribosomal protein L30 recombinant protein epitope signature tag (PrEST)

Application

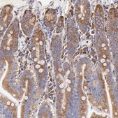
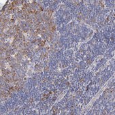
Anti-RPL30 antibody produced in rabbit, a Prestige Antibody, is developed and validated by the Human Protein Atlas (HPA) project . Each antibody is tested by immunohistochemistry against hundreds of normal and disease tissues. These images can be viewed on the Human Protein Atlas (HPA) site by clicking on the Image Gallery link. The antibodies are also tested using immunofluorescence and western blotting. To view these protocols and other useful information about Prestige Antibodies and the HPA, visit sigma.com/prestige.

Biochem/physiol Actions

Ribosomal protein L30 (RPL30) is a component of the ribosomal large subunit (60S). It plays a vital role in the cellular metabolism and ribosome synthesis. In Saccharomyces cerevisiae, RPL30 binds to the purine-rich internal loop in pre-mRNA and mRNA region to autoregulates its own expression.

Features and Benefits

Prestige Antibodies® are highly characterized and extensively validated antibodies with the added benefit of all available characterization data for each target being accessible via the Human Protein Atlas portal linked just below the product name at the top of this page. The uniqueness and low cross-reactivity of the Prestige Antibodies® to other proteins are due to a thorough selection of antigen regions, affinity purification, and stringent selection. Prestige antigen controls are available for every corresponding Prestige Antibody and can be found in the linkage section.

Every Prestige Antibody is tested in the following ways:
  • IHC tissue array of 44 normal human tissues and 20 of the most common cancer type tissues.
  • Protein array of 364 human recombinant protein fragments.

Physical form

Solution in phosphate-buffered saline, pH 7.2, containing 40% glycerol and 0.02% sodium azide

Other Notes

Corresponding Antigen APREST86601

Legal Information

Prestige Antibodies is a registered trademark of Merck KGaA, Darmstadt, Germany

Disclaimer

Unless otherwise stated in our catalog or other company documentation accompanying the product(s), our products are intended for research use only and are not to be used for any other purpose, which includes but is not limited to, unauthorized commercial uses, in vitro diagnostic uses, ex vivo or in vivo therapeutic uses or any type of consumption or application to humans or animals.

未找到合适的产品?  

试试我们的产品选型工具.

存储类别

10 - Combustible liquids

wgk

WGK 1

flash_point_f

Not applicable

flash_point_c

Not applicable

ppe

Eyeshields, Gloves, multi-purpose combination respirator cartridge (US)

法规信息

新产品
此项目有

历史批次信息供参考:

分析证书(COA)

Lot/Batch Number

没有发现合适的版本?

如果您需要特殊版本,可通过批号或批次号查找具体证书。

已有该产品?

在文件库中查找您最近购买产品的文档。

访问文档库

Jeffrey A Chao et al.
Journal of molecular biology, 326(4), 999-1004 (2003-02-19)
The Saccharomyces cerevisiae ribosomal protein L30 autoregulates its own expression by binding to a purine-rich internal loop in its pre-mRNA and mRNA. NMR studies of L30 and its RNA complex showed that both the internal loop of the RNA as
Jitendra Badhai et al.
FEBS letters, 583(12), 2049-2053 (2009-05-21)
Ribosomal protein S19 (RPS19) is mutated in patients with Diamond-Blackfan anemia (DBA). We hypothesized that decreased levels of RPS19 lead to a coordinated down-regulation of other ribosomal (r-)proteins at the subunit level. We show that small interfering RNA (siRNA) knock-down

相关内容

Prestige Antibodies Immunofluorescence Procedure

我们的科学家团队拥有各种研究领域经验,包括生命科学、材料科学、化学合成、色谱、分析及许多其他领域.

联系客户支持