biological source
rabbit
conjugate
unconjugated
antibody form
affinity isolated antibody
antibody product type
primary antibodies
clone
polyclonal
product line
Prestige Antibodies® Powered by Atlas Antibodies
form
buffered aqueous glycerol solution
species reactivity
human
enhanced validation
orthogonal RNAseq
Learn more about Antibody Enhanced Validation
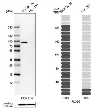
technique(s)
immunoblotting: 0.04-0.4 μg/mL, immunohistochemistry: 1:50-1:200
immunogen sequence
FDRNRVRIRNVAYDTLPIVVHGNGPTKLQLNYLGNYVPNGWTPEGGCGFCNQDRRTLPGGQPPPRVFLAVFVEQPTPFLPRFLQRLLLLDYPPDRVTLFLHNNEVFHEPHIADSWPQLQDHFSAVKLVGPEEAL
UniProt accession no.
shipped in
wet ice
storage temp.
−20°C
target post-translational modification
unmodified
Quality Level
Gene Information
human ... PLOD3(8985)
正在寻找类似产品? 访问 产品对比指南
Immunogen
Procollagen-lysine,2-oxoglutarate 5-dioxygenase 3 Precursor recombinant protein epitope signature tag (PrEST)
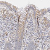
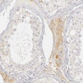
Application
All Prestige Antibodies Powered by Atlas Antibodies are developed and validated by the Human Protein Atlas (HPA) project and as a result, are supported by the most extensive characterization in the industry.
The Human Protein Atlas project can be subdivided into three efforts: Human Tissue Atlas, Cancer Atlas, and Human Cell Atlas. The antibodies that have been generated in support of the Tissue and Cancer Atlas projects have been tested by immunohistochemistry against hundreds of normal and disease tissues and through the recent efforts of the Human Cell Atlas project, many have been characterized by immunofluorescence to map the human proteome not only at the tissue level but now at the subcellular level. These images and the collection of this vast data set can be viewed on the Human Protein Atlas (HPA) site by clicking on the Image Gallery link. We also provide Prestige Antibodies® protocols and other useful information.
The Human Protein Atlas project can be subdivided into three efforts: Human Tissue Atlas, Cancer Atlas, and Human Cell Atlas. The antibodies that have been generated in support of the Tissue and Cancer Atlas projects have been tested by immunohistochemistry against hundreds of normal and disease tissues and through the recent efforts of the Human Cell Atlas project, many have been characterized by immunofluorescence to map the human proteome not only at the tissue level but now at the subcellular level. These images and the collection of this vast data set can be viewed on the Human Protein Atlas (HPA) site by clicking on the Image Gallery link. We also provide Prestige Antibodies® protocols and other useful information.
Biochem/physiol Actions
PLOD3 (procollagen-lysine, 2-oxoglutarate 5-dioxygenase 3) encodes a membrane-bound homodimeric enzyme that catalyzes the hydroxylation of lysyl residues and O-glycosylation of hydroxylysyl residues in collagen-like peptides. The hydroxylysyl groups of these hydroxylysines act as sites of attachment for carbohydrate units and stabilize intermolecular collagen cross-links. The enzyme is localized to the cisternae of the rough endoplasmic reticulum. The gene is mapped to human chromosome 7q36. Deficiency of lysyl hydroxylase activity is observed in some patients with Ehlers-Danlos syndrome type VIB.
Features and Benefits
Prestige Antibodies® are highly characterized and extensively validated antibodies with the added benefit of all available characterization data for each target being accessible via the Human Protein Atlas portal linked just below the product name at the top of this page. The uniqueness and low cross-reactivity of the Prestige Antibodies® to other proteins are due to a thorough selection of antigen regions, affinity purification, and stringent selection. Prestige antigen controls are available for every corresponding Prestige Antibody and can be found in the linkage section.
Every Prestige Antibody is tested in the following ways:
Every Prestige Antibody is tested in the following ways:
- IHC tissue array of 44 normal human tissues and 20 of the most common cancer type tissues.
- Protein array of 364 human recombinant protein fragments.
Physical form
Solution in phosphate-buffered saline, pH 7.2, containing 40% glycerol and 0.02% sodium azide
Other Notes
Corresponding Antigen APREST77472
Legal Information
Prestige Antibodies is a registered trademark of Merck KGaA, Darmstadt, Germany
Disclaimer
Unless otherwise stated in our catalog or other company documentation accompanying the product(s), our products are intended for research use only and are not to be used for any other purpose, which includes but is not limited to, unauthorized commercial uses, in vitro diagnostic uses, ex vivo or in vivo therapeutic uses or any type of consumption or application to humans or animals.
未找到合适的产品?
试试我们的产品选型工具.
存储类别
10 - Combustible liquids
wgk
WGK 1
flash_point_f
Not applicable
flash_point_c
Not applicable
法规信息
新产品
此项目有
Ugljesa Djuric et al.
Molecular & cellular proteomics : MCP, 18(10), 2029-2043 (2019-07-30)
Molecular characterization of diffuse gliomas has thus far largely focused on genomic and transcriptomic interrogations. Here, we utilized mass spectrometry and overlay protein-level information onto genomically defined cohorts of diffuse gliomas to improve our downstream molecular understanding of these lethal
K Passoja et al.
Proceedings of the National Academy of Sciences of the United States of America, 95(18), 10482-10486 (1998-09-02)
Lysyl hydroxylase (EC 1.14.11.4), a homodimer, catalyzes the formation of hydroxylysine in collagens. Recently, an isoenzyme termed lysyl hydroxylase 2 has been cloned from human sources [M. Valtavaara, H. Papponen, A.-M. Pirttilä, K. Hiltunen, H. Helander and R. Myllylä (1997)
Antti M Salo et al.
American journal of human genetics, 83(4), 495-503 (2008-10-07)
Lysyl hydroxylase 3 (LH3, encoded by PLOD3) is a multifunctional enzyme capable of catalyzing hydroxylation of lysyl residues and O-glycosylation of hydroxylysyl residues producing either monosaccharide (Gal) or disaccharide (Glc-Gal) derivatives, reactions that form part of the many posttranslational modifications
K Rautavuoma et al.
Matrix biology : journal of the International Society for Matrix Biology, 19(1), 73-79 (2000-02-25)
Lysyl hydroxylase (LH) catalyzes the formation of hydroxylysine in collagens and related proteins by the hydroxylation of lysine residues in peptide linkages. Three isoenzymes of LH have so far been characterized. We report here that the human LH3 gene is
M Valtavaara et al.
The Journal of biological chemistry, 273(21), 12881-12886 (1998-05-28)
We report characterization of a novel isoform of lysyl hydroxylase (lysyl hydroxylase 3, LH3). The cDNA clones encode a polypeptide of 738 amino acids, including a signal peptide. The amino acid sequence has a high overall identity with LH1 and
我们的科学家团队拥有各种研究领域经验,包括生命科学、材料科学、化学合成、色谱、分析及许多其他领域.
联系客户支持